• Tel: 858.663.9055
  • SeparatorEmail: info@nsjbio.com
  • Tel: 858.663.9055
  • Email: info@nsjbio.com
Home >> Antibodies >> MUC5AC Antibody / Mucin 5AC

MUC5AC Antibody / Mucin 5AC [clone MUC5AC/8340R] (V4161)

  Catalog No Formulation Size Price (USD)  
Image V4161-100UG 0.2 mg/ml in 1X PBS with 0.1 mg/ml BSA (US sourced), 0.05% sodium azide 100 ug 559
Image
V4161-20UG 0.2 mg/ml in 1X PBS with 0.1 mg/ml BSA (US sourced), 0.05% sodium azide 20 ug 259
Image
V4161SAF-100UG 1 mg/ml in 1X PBS; BSA free, sodium azide free 100 ug 559
Microvalidated Recrabbitmono
Bulk quote request
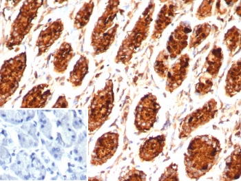
Immunohistochemistry analysis of MUC5AC / Mucin 5AC antibody (clone MUC5AC/7798R) in human stomach tissue. FFPE human stomach section shows strong cytoplasmic brown chromogenic staining in gastric foveolar epithelial cells lining glandular structures, consistent with MUC5AC expression, while surrounding stromal cells show minimal staining and nuclei appear blue. The inset shows PBS used in place of primary antibody as a negative control with no specific staining observed. Heat-induced epitope retrieval was performed by boiling tissue sections in pH 9 10 mM Tris with 1 mM EDTA for 20 minutes followed by cooling prior to staining.
SDS-PAGE analysis of purified, BSA-free MUC5AC antibody (clone MUC5AC/7798R) as confirmation of integrity and purity.
Availability 1-3 business days
Species Reactivity Human
Format Purified
Host Rabbit
Clonality Recombinant Rabbit Monoclonal
Isotype Rabbit IgG, kappa
Clone Name MUC5AC/8340R
Purity Protein A/G affinity
UniProt P98088
Localization Cytoplasm
Applications Immunohistochemistry (FFPE) : 1-2ug/ml
Limitations This MUC5AC antibody is available for research use only.
Review this product on BioCompare and get a $20 Amazon gift card

Related Products

Description

MUC5AC antibody targets Mucin 5AC, a secreted gel-forming mucin encoded by the human MUC5AC gene and a member of the secreted mucin family. Mucin 5AC, also widely referred to as MUC5AC in the literature, is primarily expressed in gastric foveolar epithelium and mucus-secreting epithelial cells of the respiratory tract. MUC5AC antibody is commonly used in studies of gastric differentiation, mucosal biology, and tumor pathology because Mucin 5AC is a key component of the protective mucus barrier in the stomach and is frequently dysregulated in gastrointestinal and pulmonary diseases.

MUC5AC is synthesized as a large secreted glycoprotein characterized by extensive O-glycosylation and polymerization into high molecular weight mucin gels. In normal gastric tissue, Mucin 5AC is localized to the apical cytoplasm and secretory granules of surface foveolar cells, contributing to formation of the viscoelastic mucus layer that protects the epithelium from acid and enzymatic injury. In pathological conditions, including chronic gastritis, intestinal metaplasia, and gastric carcinoma, MUC5AC expression patterns may become altered. MUC5AC antibody is therefore valuable for evaluating gastric epithelial differentiation and mucin phenotype shifts in disease.

Beyond the stomach, aberrant Mucin 5AC expression has been reported in pancreatic, ovarian, lung, and colorectal carcinomas, where it may serve as a marker of mucinous differentiation. Elevated MUC5AC expression has also been observed in airway inflammatory conditions such as asthma and chronic obstructive pulmonary disease, reflecting its role in mucus hypersecretion.

Structurally, Mucin 5AC contains large tandem repeat domains rich in serine and threonine residues that support extensive glycosylation, as well as cysteine-rich domains that mediate mucin polymerization. A MUC5AC antibody is suitable for detecting Mucin 5AC expression in gastric epithelium, respiratory mucosa, and mucinous tumors in research applications.

Application Notes

Optimal dilution of the MUC5AC antibody should be determined by the researcher.

Immunogen

Recombinant full-length human MUC5AC protein was used as the immunogen for the MUC5AC antibody.

Storage

Aliquot the MUC5AC antibody and store frozen at -20oC or colder. Avoid repeated freeze-thaw cycles.

Cross
Bulk Quote Request Form
Name*:
Organization*:
Email*:
Phone Number*:
Catalog No.*:
Comments and Specifics(amount, formulation, etc.)*:
Validation code: Captchapackage Image


Can't read the image? click here to refresh.
    *required field

Your bulk quote request has been submitted successfully!

Please contact us if you have any questions.