• Tel: 858.663.9055
  • SeparatorEmail: info@nsjbio.com
  • Tel: 858.663.9055
  • Email: info@nsjbio.com
Home >> Antibodies >> MUC4 Antibody / Mucin-4

MUC4 Antibody / Mucin-4 [clone MUC4/3105] (V7542)

  Catalog No Formulation Size Price (USD)  
Image V7542-100UG 0.2 mg/ml in 1X PBS with 0.1 mg/ml BSA (US sourced) and 0.05% sodium azide 100 ug 559
Image
V7542-20UG 0.2 mg/ml in 1X PBS with 0.1 mg/ml BSA (US sourced) and 0.05% sodium azide 20 ug 259
Image
V7542SAF-100UG 1 mg/ml in 1X PBS; BSA free, sodium azide free 100 ug 559
Image
V7542IHC-7ML Prediluted in 1X PBS with 0.1 mg/ml BSA (US sourced) and 0.05% sodium azide; *For IHC use only* 7 ml 559
Microvalidated
Bulk quote request
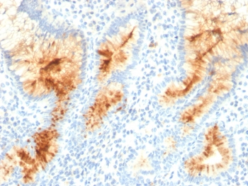
Immunohistochemistry analysis of MUC4 / Mucin-4 antibody (clone MUC4/3105) in human gastric carcinoma tissue. FFPE human gastric carcinoma section shows strong membranous and apical cytoplasmic brown chromogenic staining in malignant epithelial cells forming glandular structures, consistent with MUC4 expression, while surrounding stromal cells show minimal staining and nuclei appear blue. Heat-induced epitope retrieval was performed by steaming tissue sections in 10 mM citrate buffer, pH 6, for 10-20 minutes followed by cooling prior to staining.
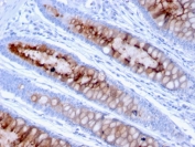
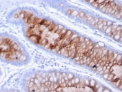
IHC testing of FFPE human colon carcinoma with MUC4 antibody (clone MUC4/3105). HIER: requires steaming of sections in 10mM citrate buffer, pH 6, for 10-20 min and allow to cool before testing.
IHC testing of FFPE human colon carcinoma with MUC4 antibody (clone MUC4/3105). HIER: requires steaming of sections in 10mM citrate buffer, pH 6, for 10-20 min and allow to cool before testing.
Analysis of HuProt(TM) microarray containing more than 19,000 full-length human proteins using MUC4 antibody (clone MUC4/3105). These results demonstrate the foremost specificity of the MUC4/3105 mAb.
Z- and S- score: The Z-score represents the strength of a signal that an antibody (in combination with a fluorescently-tagged anti-IgG secondary Ab) produces when binding to a particular protein on the HuProt(TM) array. Z-scores are described in units of standard deviations (SD's) above the mean value of all signals generated on that array. If the targets on the HuProt(TM) are arranged in descending order of the Z-score, the S-score is the difference (also in units of SD's) between the Z-scores. The S-score therefore represents the relative target specificity of an Ab to its intended target.
SDS-PAGE analysis of purified, BSA-free MUC4 antibody (clone MUC4/3105) as confirmation of integrity and purity.
Species Reactivity Human
Format Purified
Host Mouse
Clonality Monoclonal (mouse origin)
Isotype Mouse IgG2b, kappa
Clone Name MUC4/3105
Purity Protein G affinity chromatography
UniProt Q99102
Localization Cytoplasmic
Applications Immunohistochemistry (FFPE) : 1-2ug/ml for 30 min at RT
Limitations This MUC4 antibody is available for research use only.
Review this product on BioCompare and get a $20 Amazon gift card

Related Products

Description

MUC4 antibody targets Mucin-4, a large transmembrane glycoprotein encoded by the human MUC4 gene and a member of the membrane-bound mucin family. Mucin-4, also widely referred to as MUC4 in the literature, is primarily localized to the apical surface of epithelial cells where it contributes to mucosal barrier function and epithelial signaling. MUC4 antibody is commonly used in studies of epithelial differentiation and tumor biology because Mucin-4 is frequently overexpressed and dysregulated in a variety of carcinomas.

MUC4 is synthesized as a high molecular weight precursor that undergoes proteolytic processing into two subunits that remain associated at the cell surface. Its extracellular domain contains tandem repeat sequences that are heavily O-glycosylated, forming a protective mucin layer. In normal tissues, Mucin-4 expression is largely restricted to glandular and ductal epithelia, including respiratory and gastrointestinal mucosa. During malignant transformation, MUC4 expression often becomes upregulated and loses normal apical polarity, contributing to tumor progression, altered cell adhesion, and resistance to apoptosis. MUC4 antibody is therefore valuable for evaluating epithelial tumor differentiation and oncogenic signaling pathways.

Mucin-4 has been shown to interact with receptor tyrosine kinases such as ERBB2, enhancing downstream signaling involved in proliferation, survival, and metastatic behavior. Elevated MUC4 expression has been documented in pancreatic, breast, lung, ovarian, and colorectal carcinomas, where it may correlate with aggressive disease and poor clinical outcome. Because of its role in tumor biology, MUC4 antibody is frequently applied in cancer research and translational studies.

Structurally, Mucin-4 contains an extensive extracellular mucin domain with tandem repeats, epidermal growth factor-like domains, a transmembrane region, and a cytoplasmic tail involved in signal transduction. A MUC4 antibody is suitable for detecting Mucin-4 expression in epithelial tissues and carcinoma research applications.

Application Notes

The concentration stated for each application is a general starting point. Variations in protocols, secondaries and substrates may require the MUC4 antibody to be titered up or down for optimal performance.

1. The prediluted format is supplied in a dropper bottle and is optimized for use in IHC. After epitope retrieval step (if required), drip mAb solution onto the tissue section and incubate at RT for 30 min.

Immunogen

Amino acids 1730-1864 from the human protein were used as the immunogen for this MUC4 antibody.

Storage

Store the MUC4 antibody at 2-8oC (with azide) or aliquot and store at -20oC or colder (without azide).

Cross
Bulk Quote Request Form
Name*:
Organization*:
Email*:
Phone Number*:
Catalog No.*:
Comments and Specifics(amount, formulation, etc.)*:
Validation code: Captchapackage Image


Can't read the image? click here to refresh.
    *required field

Your bulk quote request has been submitted successfully!

Please contact us if you have any questions.