• Tel: 858.663.9055
  • SeparatorEmail: info@nsjbio.com
  • Tel: 858.663.9055
  • Email: info@nsjbio.com
Home >> Antibodies >> MUC3A/B Antibody / Mucin 3

MUC3A/B Antibody / Mucin 3 (RQ8373)

  Catalog No Formulation Size Price (USD)  
Image RQ8373 0.5mg/ml if reconstituted with 0.2ml sterile DI water 100 ug 449
Bulk quote request
Immunofluorescent staining of FFPE human U-2 OS cells with MUC3A/B antibody (red) and DAPI nuclear stain (blue). HIER: steam section in pH6 citrate buffer for 20 min.
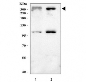
Western blot testing of human 1) SW620 and 2) U-2 OS cell lysate with MUC3A/B antibody. Predicted molecular weight ~345 kDa but may be observed at higher molecular weights due to glycosylation.
Availability 1-3 business days
Species Reactivity Human
Format Antigen affinity purified
Host Rabbit
Clonality Polyclonal (rabbit origin)
Isotype Rabbit IgG
Purity Antigen affinity purified
Buffer Lyophilized from 1X PBS with 2% Trehalose
UniProt Q02505 , Q9H195
Applications Western Blot : 0.5-1ug/ml
Immunofluorescence : 5ug/ml
ELISA : 0.1-0.5ug/ml
Limitations This MUC3A/B antibody is available for research use only.
Review this product on BioCompare and get a $20 Amazon gift card

Description

MUC3 consists of two genes, MUC3A and MUC3B, each encoding membrane-bound mucins possessing 2 epidermal growth factor-like domains. The MUC3 gene is mapped to chromosome 7. It was showed that synthetic peptide-mediated upregulation of MUC3 dramatically inhibited adherence of enteropathogenic E. coli or enterohemorrhage E. coli serotype O157:H7 to HT-29 human intestinal epithelial cells. Peptide stimulation altered expression of a number of transcription factors, including upregulation of SP1, CREB1, and CDX2. These transcription factors bound to consensus sites in the MUC3 promoter upon peptide stimulation and likely mediated MUC3 upregulation.

Application Notes

Optimal dilution of the MUC3A/B antibody should be determined by the researcher.

Immunogen

An E.coli-derived human recombinant protein (Q31-R3225) was used as the immunogen for the MUC3A/B antibody.

Storage

After reconstitution, the MUC3A/B antibody can be stored for up to one month at 4oC. For long-term, aliquot and store at -20oC. Avoid repeated freezing and thawing.

Cross
Bulk Quote Request Form
Name*:
Organization*:
Email*:
Phone Number*:
Catalog No.*:
Comments and Specifics(amount, formulation, etc.)*:
Validation code: Captchapackage Image


Can't read the image? click here to refresh.
    *required field

Your bulk quote request has been submitted successfully!

Please contact us if you have any questions.