• Tel: 858.663.9055
  • SeparatorEmail: info@nsjbio.com
  • Tel: 858.663.9055
  • Email: info@nsjbio.com
Home >> Antibodies >> MUC20 Antibody

MUC20 Antibody (F40164)

  Catalog No Formulation Size Price (USD)  
Image F40164-0.4ML In 1X PBS, pH 7.4, with 0.09% sodium azide 0.4 ml 439
Image
F40164-0.08ML In 1X PBS, pH 7.4, with 0.09% sodium azide 0.08 ml 205
Bulk quote request
MUC20 antibody western blot analysis in WiDr lysate.
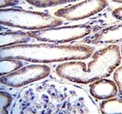
MUC20 antibody immunohistochemistry analysis in formalin fixed and paraffin embedded human kidney tissue.
Confocal immunofluorescent analysis of MUC20 antibody with WiDr cells followed by Alexa Fluor 488-conjugated goat anti-rabbit lgG (green). Actin filaments have been labeled with Alexa Fluor 555 Phalloidin (red). DAPI was used as a nuclear counterstain (blue).
MUC20 antibody flow cytometric analysis of WiDr cells (right histogram) compared to a negative control cell (left histogram). FITC-conjugated goat-anti-rabbit secondary Ab was used for the analysis.
Availability 1-3 business days
Species Reactivity Human
Format Antigen affinity purified
Host Rabbit
Clonality Polyclonal (rabbit origin)
Isotype Rabbit Ig
Purity Antigen affinity
UniProt Q8N307
Applications Western Blot : 1:1000
IHC (Paraffin) : 1:10-1:50
Immunofluorescence : 1:10-1:50
Flow Cytometry : 1:10-1:50
Limitations This MUC20 antibody is available for research use only.
Review this product on BioCompare and get a $20 Amazon gift card

Related Products

  • Applications : WB, IF, ELISA
    Reactivity : Human

Description

This gene encodes a member of the mucin protein family. Mucins are high molecular weight glycoproteins secreted by many epithelial tissues to form an insoluble mucous barrier. The shorter isoform expressed by this gene is localized to the plasma membrane, whereas the longer isoform might be secreted. The C terminus of this protein associates with the multifunctional docking site of the met proto-oncogene and suppresses activation of some downstream met signaling cascades. The protein features a tandem repeat domain that varies between 2 and 6 copies in different individuals. Multiple transcript variants encoding different isoforms have been found for this gene.

Application Notes

Titration of the MUC20 antibody may be required due to differences in protocols and secondary/substrate sensitivity.

Immunogen

A portion of amino acids 654-684 from the human protein was used as the immunogen for this MUC20 antibody.

Storage

Aliquot the MUC20 antibody and store frozen at -20oC or colder. Avoid repeated freeze-thaw cycles.

Cross
Bulk Quote Request Form
Name*:
Organization*:
Email*:
Phone Number*:
Catalog No.*:
Comments and Specifics(amount, formulation, etc.)*:
Validation code: Captchapackage Image


Can't read the image? click here to refresh.
    *required field

Your bulk quote request has been submitted successfully!

Please contact us if you have any questions.