• Tel: 858.663.9055
  • SeparatorEmail: info@nsjbio.com
  • Tel: 858.663.9055
  • Email: info@nsjbio.com
Home >> Antibodies >> MUC16 Antibody / Mucin 16

MUC16 Antibody / Mucin 16 [clone CA125/8894] (V6039)

  Catalog No Formulation Size Price (USD)  
Image V6039-100UG 0.2 mg/ml in 1X PBS with 0.05% BSA, 0.05% sodium azide 100 ug 559
Image
V6039-20UG 0.2 mg/ml in 1X PBS with 0.05% BSA, 0.05% sodium azide 20 ug 259
Image
V6039SAF-100UG 1 mg/ml in 1X PBS; BSA free, sodium azide free 100 ug 559
Bulk quote request
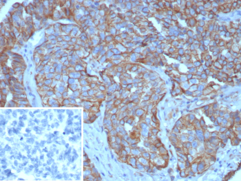
Formalin-fixed, paraffin-embedded human ovarian carcinoma stained with MUC16 Mouse Monoclonal Antibody (CA125/8894). Inset: PBS instead of primary antibody; secondary only negative control.
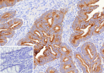
Formalin-fixed, paraffin-embedded human colon carcinoma stained with MUC16 Mouse Monoclonal Antibody (CA125/8894). HIER: Tris/EDTA, pH9.0, 45min. 2¬?: HRP-polymer, 30min. DAB, 5min. Inset: PBS instead of primary antibody; secondary only negative control.
SDS-PAGE Analysis of Purified MUC16 Mouse Monoclonal Antibody (CA125/8894). Confirmation of Purity and Integrity of Antibody.
Species Reactivity Human
Format Purified
Host Mouse
Clonality Monoclonal (mouse origin)
Isotype Mouse IgG2b, kappa
Clone Name CA125/8894
UniProt Q8WXI7
Localization Cell membrane, Extracellular space, Secreted
Applications Immunohistochemistry (FFPE) : 1-2ug/ml
Limitations This MUC16/Mucin 16 antibody is available for research use only.
Review this product on BioCompare and get a $20 Amazon gift card

Related Products

Application Notes

Optimal dilution of the MUC16/Mucin 16 antibody should be determined by the researcher.

Immunogen

A recombinant fragment (around amino acids 1700-2000) of human MUC16 protein (exact sequence is proprietary) was used as the immuongen for the MUC16/Mucin 16 antibody.

Storage

MUC16/Mucin 16 antibody with sodium azide - store at 2 to 8oC; antibody without sodium azide - store at -20 to -80oC.

Cross
Bulk Quote Request Form
Name*:
Organization*:
Email*:
Phone Number*:
Catalog No.*:
Comments and Specifics(amount, formulation, etc.)*:
Validation code: Captchapackage Image


Can't read the image? click here to refresh.
    *required field

Your bulk quote request has been submitted successfully!

Please contact us if you have any questions.