• Tel: 858.663.9055
  • SeparatorEmail: info@nsjbio.com
  • Tel: 858.663.9055
  • Email: info@nsjbio.com
Home >> Antibodies >> MUC16 Antibody / Cancer antigen 125

MUC16 Antibody / Cancer antigen 125 [clone CA125/9923R] (V6041)

  Catalog No Formulation Size Price (USD)  
Image V6041-100UG 0.2 mg/ml in 1X PBS with 0.05% BSA, 0.05% sodium azide 100 ug 559
Image
V6041-20UG 0.2 mg/ml in 1X PBS with 0.05% BSA, 0.05% sodium azide 20 ug 259
Image
V6041SAF-100UG 1 mg/ml in 1X PBS; BSA free, sodium azide free 100 ug 559
Microvalidated Recrabbitmono
Bulk quote request
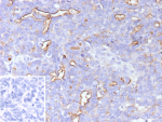
Formalin-fixed, paraffin-embedded human colon carcinoma stained with MUC16 Recombinant Rabbit Monoclonal Antibody (CA125/9923R). Inset: PBS instead of primary antibody; secondary only negative control.
SDS-PAGE Analysis of Purified MUC16 Recombinant Rabbit Monoclonal Antibody (CA125/9923R). Confirmation of Purity and Integrity of Antibody.
Formalin-fixed, paraffin-embedded human ovarian carcinoma stained with MUC16 Recombinant Rabbit Monoclonal Antibody (CA125/9923R). Inset: PBS instead of primary antibody; secondary only negative control.
Species Reactivity Human
Format Purified
Host Rabbit
Clonality Recombinant Rabbit Monoclonal
Isotype Rabbit IgG, kappa
Clone Name CA125/9923R
UniProt Q8WXI7
Localization Cell membrane, Extracellular space, Secreted
Applications ELISA :
Immunohistochemistry (FFPE) : 1-2ug/ml
Limitations This MUC16/Cancer antigen 125 antibody is available for research use only.
Review this product on BioCompare and get a $20 Amazon gift card

Related Products

Application Notes

Optimal dilution of the MUC16/Cancer antigen 125 antibody should be determined by the researcher.

Immunogen

Recombinant human MUC16 protein was used as the immuongen for the MUC16/Cancer antigen 125 antibody.

Storage

MUC16/Cancer antigen 125 antibody with sodium azide - store at 2 to 8oC; antibody without sodium azide - store at -20 to -80oC.

Cross
Bulk Quote Request Form
Name*:
Organization*:
Email*:
Phone Number*:
Catalog No.*:
Comments and Specifics(amount, formulation, etc.)*:
Validation code: Captchapackage Image


Can't read the image? click here to refresh.
    *required field

Your bulk quote request has been submitted successfully!

Please contact us if you have any questions.