• Tel: 858.663.9055
  • SeparatorEmail: info@nsjbio.com
  • Tel: 858.663.9055
  • Email: info@nsjbio.com
Home >> Antibodies >> MUC1 Antibody / Mucin-1

MUC1 Antibody / Mucin-1 [clone MUC1/8109R] (V4747)

  Catalog No Formulation Size Price (USD)  
Image V4747-100UG 0.2 mg/ml in 1X PBS with 0.1 mg/ml BSA (US sourced), 0.05% sodium azide 100 ug 559
Image
V4747-20UG 0.2 mg/ml in 1X PBS with 0.1 mg/ml BSA (US sourced), 0.05% sodium azide 20 ug 259
Image
V4747SAF-100UG 1 mg/ml in 1X PBS; BSA free, sodium azide free 100 ug 559
Microvalidated Recrabbitmono
Bulk quote request
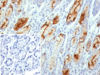
Immunohistochemistry analysis of MUC1 / Mucin-1 antibody (clone MUC1/8109R) in human stomach tissue. FFPE human stomach section shows strong membranous and apical cytoplasmic brown chromogenic staining in gastric epithelial cells lining glandular structures, consistent with MUC1 expression, while stromal cells exhibit minimal staining and nuclei appear blue. The inset shows PBS used in place of primary antibody as a negative control with no specific staining observed. Heat-induced epitope retrieval was performed by boiling tissue sections in pH 9 10 mM Tris with 1 mM EDTA for 20 minutes followed by cooling prior to staining.
Availability 1-3 business days
Species Reactivity Human
Format Purified
Host Rabbit
Clonality Recombinant Rabbit Monoclonal
Isotype Rabbit IgG, kappa
Clone Name MUC1/8109R
Purity Protein A/G affinity
UniProt P15941
Localization Cytoplasm, Cell surface
Applications Immunohistochemistry (FFPE) : 1-2ug/ml for 30 min at RT
Limitations This MUC1 antibody is available for research use only.
Review this product on BioCompare and get a $20 Amazon gift card

Related Products

Description

MUC1 antibody targets Mucin-1, a transmembrane glycoprotein encoded by the human MUC1 gene and a prominent member of the membrane-bound mucin family. Mucin-1, also widely referred to as MUC1 and epithelial membrane antigen in the literature, is primarily localized to the apical surface of epithelial cells where it contributes to barrier protection and cell signaling. MUC1 antibody is frequently used in studies of epithelial differentiation and carcinoma biology because Mucin-1 is characteristically overexpressed and aberrantly glycosylated in many epithelial malignancies.

MUC1 is synthesized as a large precursor that undergoes autocatalytic cleavage into two subunits that remain non-covalently associated at the cell surface. Its extracellular domain contains tandem repeat sequences that are extensively O-glycosylated, forming a protective mucin layer. In normal tissues, Mucin-1 expression is polarized to the apical membrane of glandular and ductal epithelial cells. In cancer, however, MUC1 often loses apical restriction, becomes diffusely expressed across the cell surface, and exhibits altered glycosylation patterns that expose core peptide epitopes. MUC1 antibody is therefore valuable for investigating tumor-associated antigen expression and epithelial transformation.

The cytoplasmic tail of Mucin-1 participates in intracellular signaling by interacting with beta-catenin and other regulatory proteins, influencing proliferation, apoptosis resistance, and metastatic potential. Elevated MUC1 expression has been documented in breast, ovarian, pancreatic, lung, and colorectal carcinomas, where it is frequently associated with aggressive disease. Because of its diagnostic and biological relevance, MUC1 antibody is widely applied in cancer research and tumor characterization studies.

Structurally, Mucin-1 consists of an extracellular mucin domain with variable number tandem repeats, a transmembrane region, and a short cytoplasmic tail involved in signal transduction. A MUC1 antibody is suitable for detecting Mucin-1 expression in epithelial tissues, carcinoma models, and tumor biology research applications.

Application Notes

Optimal dilution of the MUC1 antibody should be determined by the researcher.

Immunogen

Recombinant full-length human MUC1 protein was used as the immunogen for the MUC1 antibody.

Storage

Aliquot the MUC1 antibody and store frozen at -20oC or colder. Avoid repeated freeze-thaw cycles.

Cross
Bulk Quote Request Form
Name*:
Organization*:
Email*:
Phone Number*:
Catalog No.*:
Comments and Specifics(amount, formulation, etc.)*:
Validation code: Captchapackage Image


Can't read the image? click here to refresh.
    *required field

Your bulk quote request has been submitted successfully!

Please contact us if you have any questions.