• Tel: 858.663.9055
  • SeparatorEmail: info@nsjbio.com
  • Tel: 858.663.9055
  • Email: info@nsjbio.com
Home >> Antibodies >> MTSS1 Antibody / MIM / Missing in metastasis

MTSS1 Antibody / MIM / Missing in metastasis (RQ7190)

  Catalog No Formulation Size Price (USD)  
Image RQ7190 0.5mg/ml if reconstituted with 0.2ml sterile DI water 100 ug 449
Bulk quote request
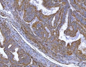
IHC staining of FFPE human endometrial cancer tissue with MTSS1 antibody. HIER: boil tissue sections in pH8 EDTA for 20 min and allow to cool before testing.
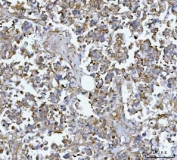
IHC staining of FFPE human lymphoma tissue with MTSS1 antibody. HIER: boil tissue sections in pH8 EDTA for 20 min and allow to cool before testing.
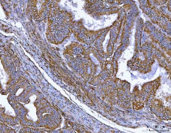
IHC staining of FFPE human gastric cancer tissue with MTSS1 antibody. HIER: boil tissue sections in pH8 EDTA for 20 min and allow to cool before testing.
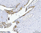
IHC staining of FFPE human placental tissue with MTSS1 antibody. HIER: boil tissue sections in pH8 EDTA for 20 min and allow to cool before testing.
Western blot testing of 1) human Jurkat, 2) human placenta, 3) rat spleen, 4) rat thymus and 5) mouse thymus tissue lysate with MTSS1 antibody. Predicted molecular weight ~82 kDa but can be observed at 90-115 kDa.
Flow cytometry testing of human RT4 cells with MTSS1 antibody at 1ug/million cells (blocked with goat sera); Red=cells alone, Green=isotype control, Blue= MTSS1 antibody.
Availability 1-3 business days
Species Reactivity Human, Mouse, Rat
Format Antigen affinity purified
Host Rabbit
Clonality Polyclonal (rabbit origin)
Isotype Rabbit IgG
Purity Antigen affinity purified
Buffer Lyophilized from 1X PBS with 2% Trehalose
UniProt O43312
Localization Cytoplasmic
Applications Western Blot : 0.5-1ug/ml
Immunohistochemistry (FFPE) : 2-5ug/ml
Flow Cytometry : 1-3ug/million cells
Direct ELISA : 0.1-0.5ug/ml
Limitations This MTSS1 antibody is available for research use only.
Review this product on BioCompare and get a $20 Amazon gift card

Description

Metastasis suppressor protein 1, also called MIM or Missing in metastasis, is a protein that in humans is encoded by the MTSS1 gene. Enables actin monomer binding activity; identical protein binding activity; and signaling receptor binding activity. Predicted to be involved in cellular response to fluid shear stress; negative regulation of epithelial cell proliferation; and urogenital system development. Predicted to act upstream of or within several processes, including actin filament polymerization; adherens junction maintenance; and magnesium ion homeostasis. Located in actin cytoskeleton.

Application Notes

Optimal dilution of the MTSS1 antibody should be determined by the researcher.

Immunogen

Recombinant human protein (amino acids Q17-E692) was used as the immunogen for the MTSS1 antibody.

Storage

After reconstitution, the MTSS1 antibody can be stored for up to one month at 4oC. For long-term, aliquot and store at -20oC. Avoid repeated freezing and thawing.

Cross
Bulk Quote Request Form
Name*:
Organization*:
Email*:
Phone Number*:
Catalog No.*:
Comments and Specifics(amount, formulation, etc.)*:
Validation code: Captchapackage Image


Can't read the image? click here to refresh.
    *required field

Your bulk quote request has been submitted successfully!

Please contact us if you have any questions.