• Tel: 858.663.9055
  • SeparatorEmail: info@nsjbio.com
  • Tel: 858.663.9055
  • Email: info@nsjbio.com
Home >> Antibodies >> mTOR Antibody

mTOR Antibody (RQ5343)

  Catalog No Formulation Size Price (USD)  
Image RQ5343 0.5mg/ml if reconstituted with 0.2ml sterile DI water 100 ug 449
Bulk quote request
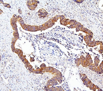
IHC staining of FFPE human colon carcinoma with mTOR antibody. HIER: boil tissue sections in pH6 citrate buffer for 20 min and allow to cool before testing.
Western blot testing of 1) human K562, 2) human HEK293, 3) human HeLa, 4) monkey COS-7, 5) human A431 and 6) human Jurkat lysate with mTOR antibody. Predicted molecular weight ~280 kDa, also observed at ~220 kDa.
Availability 1-3 business days
Species Reactivity Human, Monkey
Format Antigen affinity purified
Host Rabbit
Clonality Polyclonal (rabbit origin)
Isotype Rabbit IgG
Purity Affinity purified
Buffer Lyophilized from 1X PBS with 2% Trehalose and 0.025% sodium azide
UniProt P42345
Applications Western Blot : 0.5-1ug/ml
Immunohistochemistry (FFPE) : 1-2ug/ml
Direct ELISA : 0.1-0.5ug/ml
Limitations This mTOR antibody is available for research use only.
Review this product on BioCompare and get a $20 Amazon gift card

Related Products

  • Applications : WB, IHC
    Reactivity : Human
    Pred. Reactivity : Mouse, Rat
    Recrabbitmono
  • Applications : WB, IHC-P
    Reactivity : Human
    Recrabbitmono
  • Applications : WB
    Reactivity : Human, Mouse, Rat
    Recrabbitmono
  • Applications : WB, IHC, IF, ELISA
    Reactivity : Human
    Pred. Reactivity : Mouse, Rat

Description

The mammalian target of rapamycin (mTOR), also known as the mechanistic target of rapamycin and FK506-binding protein 12-rapamycin-associated protein 1 (FRAP1), is a kinase that in humans is encoded by the MTOR gene. The protein encoded by this gene belongs to a family of phosphatidylinositol kinase-related kinases. These kinases mediate cellular responses to stresses such as DNA damage and nutrient deprivation. This protein acts as the target for the cell-cycle arrest and immunosuppressive effects of the FKBP12-rapamycin complex. The ANGPTL7 gene is located in an intron of this gene.

Application Notes

Optimal dilution of the mTOR antibody should be determined by the researcher.

Immunogen

Amino acids N2093-N2537 from the human protein were used as the immunogen for the mTOR antibody.

Storage

Store the mTOR antibody at -20oC.

Cross
Bulk Quote Request Form
Name*:
Organization*:
Email*:
Phone Number*:
Catalog No.*:
Comments and Specifics(amount, formulation, etc.)*:
Validation code: Captchapackage Image


Can't read the image? click here to refresh.
    *required field

Your bulk quote request has been submitted successfully!

Please contact us if you have any questions.