• Tel: 858.663.9055
  • SeparatorEmail: info@nsjbio.com
  • Tel: 858.663.9055
  • Email: info@nsjbio.com
Home >> Antibodies >> MTMR3 Antibody / Myotubularin-related protein 3

MTMR3 Antibody / Myotubularin-related protein 3 (FY13000)

  Catalog No Formulation Size Price (USD)  
Image FY13000 Adding 0.2 ml of distilled water will yield a concentration of 500 ug/ml 100 ug 439
Bulk quote request
Immunofluorescent staining of MTMR3 using anti-MTMR3 antibody (red). MTMR3 was detected in a paraffin-embedded section of human breast cancer tissue. Heat mediated antigen retrieval was performed in EDTA buffer (pH 8.0, epitope retrieval solution). The tissue section was blocked with 10% goat serum. The tissue section was then incubated with 5 ug/ml rabbit anti-MTMR3 antibody overnight at 4oC. Cy3 Conjugated Goat Anti-Rabbit IgG was used as secondary antibody at 1:500 dilution and incubated for 30 minutes at 37oC. The section was counterstained with DAPI nuclear stain (blue). Visualize using a fluorescence microscope and filter sets appropriate for the label used.
Western blot analysis of MTMR3 using anti-MTMR3 antibody. Electrophoresis was performed on a 8% SDS-PAGE gel at 80V (Stacking gel) / 120V (Resolving gel) for 2 hours. Lane 1: human RT4 whole cell lysates, Lane 2: human HEL whole cell lysates. After electrophoresis, proteins were transferred to a nitrocellulose membrane at 150 mA for 50-90 minutes. Blocked the membrane with 5% non-fat milk/TBS for 1.5 hour at RT. The membrane was incubated with rabbit anti-MTMR3 antibody at 0.5 ug/ml overnight at 4oC, then washed with TBS-0.1%Tween 3 times with 5 minutes each and probed with a goat anti-rabbit IgG-HRP secondary antibody at a dilution of 1:5000 for 1.5 hour at RT. The signal was developed using an ECL Plus Western Blotting Substrate. Western blot of MTMR3 shows a predominant doublet at ~150-160 kDa. The higher-than-predicted migration and split band are consistent with multi-site phosphorylation of MTMR3, which produces slower-migrating, hyperphosphorylated species on SDS-PAGE.
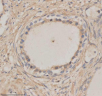
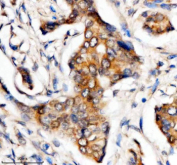
Immunohistochemical staining of MTMR3 using anti-MTMR3 antibody. MTMR3 was detected in a paraffin-embedded section of human prostate cancer tissue. Heat mediated antigen retrieval was performed in EDTA buffer (pH 8.0, epitope retrieval solution). The tissue section was blocked with 10% goat serum. The tissue section was then incubated with 2 ug/ml rabbit anti-MTMR3 antibody overnight at 4oC. Peroxidase Conjugated Goat Anti-rabbit IgG was used as secondary antibody and incubated for 30 minutes at 37oC. The tissue section was developed using an HRP secondary and DAB substrate.
Immunohistochemical staining of MTMR3 using anti-MTMR3 antibody. MTMR3 was detected in a paraffin-embedded section of human prostate cancer tissue. Heat mediated antigen retrieval was performed in EDTA buffer (pH 8.0, epitope retrieval solution). The tissue section was blocked with 10% goat serum. The tissue section was then incubated with 2 ug/ml rabbit anti-MTMR3 antibody overnight at 4oC. Peroxidase Conjugated Goat Anti-rabbit IgG was used as secondary antibody and incubated for 30 minutes at 37oC. The tissue section was developed using an HRP secondary and DAB substrate.
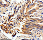
Immunohistochemical staining of MTMR3 using anti-MTMR3 antibody. MTMR3 was detected in a paraffin-embedded section of human breast cancer tissue. Heat mediated antigen retrieval was performed in EDTA buffer (pH 8.0, epitope retrieval solution). The tissue section was blocked with 10% goat serum. The tissue section was then incubated with 2 ug/ml rabbit anti-MTMR3 antibody overnight at 4oC. Peroxidase Conjugated Goat Anti-rabbit IgG was used as secondary antibody and incubated for 30 minutes at 37oC. The tissue section was developed using an HRP secondary and DAB substrate.
Immunofluorescent staining of MTMR3 using anti-MTMR3 antibody (green) and anti-Beta Tubulin antibody (red). MTMR3 was detected in an immunocytochemical section of SIHA cells. Enzyme antigen retrieval was performed using IHC enzyme antigen retrieval reagent for 15 mins. The cells were blocked with 10% goat serum. And then incubated with 5 ug/ml rabbit anti-MTMR3 antibody and mouse anti-Beta Tubulin antibody overnight at 4oC. DyLight 488 Conjugated Goat Anti-Rabbit IgG and Cy3 Conjugated Goat Anti-Mouse IgG were used as secondary antibody at 1:500 dilution and incubated for 30 minutes at 37oC. Visualize using a fluorescence microscope and filter sets appropriate for the label used.
Flow Cytometry analysis of RT4 cells using anti-MTMR3 antibody. Overlay histogram showing RT4 cells stained with (Blue line). The cells were fixed with 4% paraformaldehyde and blocked with 10% normal goat serum. And then incubated with rabbit anti-MTMR3 antibody (1 ug/million cells) for 30 min at 20oC. DyLight 488 conjugated goat anti-rabbit IgG (5-10 ug/million cells) was used as secondary antibody for 30 minutes at 20oC. Isotype control antibody (Green line) was rabbit IgG (1 ug/million cells) used under the same conditions. Unlabelled sample without incubation with primary antibody and secondary antibody (Red line) was used as a blank control.
Availability 1-2 days
Species Reactivity Human
Format Lyophilized
Clonality Polyclonal (rabbit origin)
Isotype Rabbit IgG
Purity Immunogen affinity purified
Buffer Each vial contains 4 mg Trehalose, 0.9 mg NaCl, 0.2 mg Na2HPO4.
UniProt Q13615
Localization Cytoplasmic, Nuclear
Applications Western Blot : 0.25-0.5ug/ml
Immunohistochemistry : 2-5ug/ml
Immunofluorescence : 5ug/ml
Immunocytochemistry/Immunofluorescence : 5ug/ml
Flow Cytometry : 1-3ug/million cells
ELISA : 0.1-0.5ug/ml
Limitations This MTMR3 antibody is available for research use only.
Review this product on BioCompare and get a $20 Amazon gift card

Description

MTMR3 antibody detects Myotubularin-related protein 3, a phosphatidylinositol phosphatase involved in autophagy, endosomal trafficking, and phosphoinositide metabolism. The UniProt recommended name is Myotubularin-related protein 3 (MTMR3). This enzyme belongs to the myotubularin family of dual-specificity phosphatases that dephosphorylate phosphatidylinositol 3-phosphate (PI3P) and phosphatidylinositol 3,5-bisphosphate [PI(3,5)P2], key regulators of endosomal dynamics and membrane trafficking.

Functionally, MTMR3 antibody identifies a 911-amino-acid cytoplasmic protein containing a PH-GRAM lipid-binding domain, a catalytic phosphatase domain, and a coiled-coil region responsible for dimerization. MTMR3 acts as a negative regulator of autophagy by dephosphorylating PI3P, thereby modulating membrane dynamics at autophagosome formation sites. It also regulates endosomal sorting and vesicle trafficking between endosomes and the trans-Golgi network.

The MTMR3 gene is located on chromosome 22q12.2 and is expressed in a broad range of tissues, including muscle, brain, and kidney. Its activity ensures proper membrane identity and turnover of signaling lipids within endocytic and autophagic pathways. Dysregulation of MTMR3 expression leads to aberrant phosphoinositide signaling, contributing to impaired autophagy, vesicle accumulation, and neurodegeneration.

In cellular signaling, MTMR3 integrates nutrient and stress signals to balance autophagy and cell survival. It interacts with mTORC1 and ULK1 complexes, coordinating lipid metabolism with autophagic flux. Loss or inhibition of MTMR3 enhances autophagy initiation, while overexpression suppresses it. In cancer, MTMR3 acts context-dependently, functioning as either a tumor suppressor or survival factor depending on cell type and metabolic state.

MTMR3 antibody is widely used in autophagy, membrane trafficking, and phosphoinositide signaling research. It is suitable for western blotting, immunofluorescence, and lipid signaling assays to detect MTMR3 expression and localization to endosomal membranes. In neurobiology, this antibody aids in studying lysosomal and endocytic dysfunction associated with neurodegenerative diseases. In cancer studies, MTMR3 detection contributes to understanding metabolic regulation and cell stress adaptation.

Structurally, MTMR3 contains a catalytic Cys-X5-Arg motif typical of the protein tyrosine phosphatase superfamily, with substrate specificity directed toward phosphatidylinositol derivatives. The PH-GRAM domain mediates lipid recognition, while the coiled-coil region enables dimer formation with other myotubularin family members. NSJ Bioreagents provides MTMR3 antibody reagents validated for use in autophagy, lipid metabolism, and membrane trafficking studies.

Application Notes

Optimal dilution of the MTMR3 antibody should be determined by the researcher.

Immunogen

E.coli-derived human MTMR3 recombinant protein (Position: M1-E1074) was used as the immunogen for the MTMR3 antibody.

Storage

After reconstitution, the MTMR3 antibody can be stored for up to one month at 4oC. For long-term, aliquot and store at -20oC. Avoid repeated freezing and thawing.

Cross
Bulk Quote Request Form
Name*:
Organization*:
Email*:
Phone Number*:
Catalog No.*:
Comments and Specifics(amount, formulation, etc.)*:
Validation code: Captchapackage Image


Can't read the image? click here to refresh.
    *required field

Your bulk quote request has been submitted successfully!

Please contact us if you have any questions.