• Tel: 858.663.9055
  • SeparatorEmail: info@nsjbio.com
  • Tel: 858.663.9055
  • Email: info@nsjbio.com
Home >> Antibodies >> MTCO1 Antibody

MTCO1 Antibody (R30376)

  Catalog No Formulation Size Price (USD)  
Image R30376 0.5mg/ml if reconstituted with 0.2ml sterile DI water 100 ug 449
Bulk quote request
Western blot testing of human 1) SMMC-7721, 2) MCF-7, 3) Raji and 4) SW620 cell lysate with MTCO1 antibody. Predicted molecular weight ~57 kDa, also observed at ~40 kDa (ref. 1).
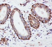
IHC-P: MTCO1 antibody testing of human breast cancer tissue
ICC testing of rat C6 cells with MTCO1 antibody.
Western blot testing of 1) human HeLa mitochondrial enriched fraction (20ug/lane), 2) human HeLa whole cell lysate (20ug/lane), 3) human Caco-2 whole cell lysate (50ug/lane), 4) rat heart whole cell lysate and 5) mouse heart whole cell lysate with MTCO1 antibody. Predicted molecular weight ~57 kDa, also observed at ~40 kDa (ref. 1).
Availability 1-3 business days
Species Reactivity Human, Mouse, Rat
Format Antigen affinity purified
Host Rabbit
Clonality Polyclonal (rabbit origin)
Isotype Rabbit IgG
Purity Antigen affinity
Buffer Lyophilized from 1X PBS with 2.5% BSA and 0.025% sodium azide/thimerosal
UniProt P00395
Localization Cytoplasmic (mitochondrial)
Applications Western Blot : 0.5-1ug/ml
IHC (FFPE) : 0.5-1ug/ml
Immunocytochemistry : 0.5-1ug/ml
Limitations This MTCO1 antibody is available for research use only.
Review this product on BioCompare and get a $20 Amazon gift card

Related Products

Description

Cytochrome c oxidase subunit I (also called CO1, COX1, COXI and MTCO1) is 1 of 3 mitochondrial DNA (mtDNA) encoded subunits (MTCO1, MTCO2, MTCO3) of respiratory Complex IV. Complex IV is located within the mitochondrial inner membrane and is the third and final enzyme of the electron transport chain of mitochondrial oxidative phosphorylation. It is composed of 13 polypeptides. Subunits I, II, and III (MTCO1, MTCO2, MTCO3) are encoded by mtDNA while subunits IV, Va, Vb, VIa, VIb, VIc, VIIa, VIIb, VIIc, and VIII are nuclear encoded. The cytochrome c oxidase family of enzymes have 4 redox centers, 2 hemes and 2 copper centers. In mitochondrial Complex IV, the 2 hemes are a and a3 and the 2 coppers are CuA and CuB. The 2 hemes and CuB are bound to subunit I. Acin-Perez et al.(2003) identified a cell line containing single and double missense mutations in the cytochrome c oxidase(COX) subunit I gene of mouse mitochondrial DNA. And they hypothesized that deleterious mutations can arise and become predominant; cultured cells can maintain several mtDNA haplotypes at stable frequencies; the respiratory chain has little spare COX capacity; and that the size of a cavity in the vicinity of val421 in MTCO1I of animal COX may affect the function of the enzyme.

Application Notes

The stated application concentrations are suggested starting amounts. Titration of the MTCO1 antibody may be required due to differences in protocols and secondary/substrate sensitivity.

Immunogen

An amino acid sequence from the C-terminus of the human protein (PYHTFEEPVYMKS) was used as the immunogen for this MTCO1 antibody.

Storage

After reconstitution, the MTCO1 antibody can be stored for up to one month at 4oC. For long-term, aliquot and store at -20oC. Avoid repeated freezing and thawing.

Cross
Bulk Quote Request Form
Name*:
Organization*:
Email*:
Phone Number*:
Catalog No.*:
Comments and Specifics(amount, formulation, etc.)*:
Validation code: Captchapackage Image


Can't read the image? click here to refresh.
    *required field

Your bulk quote request has been submitted successfully!

Please contact us if you have any questions.