• Tel: 858.663.9055
  • SeparatorEmail: info@nsjbio.com
  • Tel: 858.663.9055
  • Email: info@nsjbio.com
Home >> Antibodies >> MTCL1 Antibody / Microtubule cross-linking factor 1 / KIAA0802

MTCL1 Antibody / Microtubule cross-linking factor 1 / KIAA0802 (RQ8420)

  Catalog No Formulation Size Price (USD)  
Image RQ8420 0.5mg/ml if reconstituted with 0.2ml sterile DI water 100 ug 449
Bulk quote request
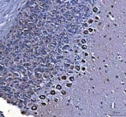
IHC staining of FFPE mouse cerebellum tissue with MTCL1 antibody. HIER: boil tissue sections in pH8 EDTA for 20 min and allow to cool before testing.
IHC staining of FFPE rat cerebellum tissue with MTCL1 antibody. HIER: boil tissue sections in pH8 EDTA for 20 min and allow to cool before testing.
IHC staining of FFPE human colorectal adenocarcinoma tissue with MTCL1 antibody. HIER: boil tissue sections in pH8 EDTA for 20 min and allow to cool before testing.
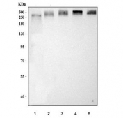
Western blot testing of 1) human RT4, 2) rat lung, 3) rat ovary, 4) mouse lung and 5) mouse ovary tissue with MTCL1 antibody. Predicted molecular weight ~210 kDa.
Flow cytometry testing of fixed and permeabilized human U-2 OS cells with MTCL1 antibody at 1ug/million cells (blocked with goat sera); Red=cells alone, Green=isotype control, Blue= MTCL1 antibody.
Availability 1-3 business days
Species Reactivity Human, Mouse, Rat
Format Antigen affinity purified
Host Rabbit
Clonality Polyclonal (rabbit origin)
Isotype Rabbit IgG
Purity Antigen affinity purified
Buffer Lyophilized from 1X PBS with 2% Trehalose
UniProt Q9Y4B5
Localization Cell membrane, cytoplasm, cytoskeleton
Applications Western Blot : 0.5-1ug/ml
Immunohistochemistry (FFPE) : 2-5ug/ml
Flow Cytometry : 1-3ug/million cells
ELISA : 0.1-0.5ug/ml
Limitations This MTCL1 antibody is available for research use only.
Review this product on BioCompare and get a $20 Amazon gift card

Description

MTCL1 (microtubule cross-linking factor 1), also known as CCDC165 (Coiledcoil domain-containing protein 165), SOGA2 or MTCL1, is a 1,905 amino acid protein that localizes to the cell membrane, cytoplasm and cytoskeleton. MTCL1 is a microtubule-associated factor that plays a role in regulating polarization and microtubule dynamics as well as the development and maintenance of non-centrosomal microtubule bundles. MTCL1 is encoded by a gene that maps to chromosome 18 and is expressed as four isoforms due to alternative splicing events. Chromosome 18 encodes over 300 genes and contains about 76 million bases. Trisomy 18, or Edwards syndrome, is the second most common trisomy after Downs syndrome. Symptoms of Edwards syndrome include low birth weight, a variety of physical development defects, heart deformations and breathing difficulty. Translocation between chromosome 18 and 14 is the most common translocation in cancers, and occurs in follicular lymphomas. Niemann-Pick disease, hereditary hemorrhagic telangiectasia and erythropoietic protoporphyria are associated with chromosome 18. The TGF? modulators, Smad2, Smad4 and Smad7 are encoded by chromosome 18.

Application Notes

Optimal dilution of the MTCL1 antibody should be determined by the researcher.

Immunogen

An E.coli-derived human recombinant protein (K884-D1522) was used as the immunogen for the MTCL1 antibody.

Storage

After reconstitution, the MTCL1 antibody can be stored for up to one month at 4oC. For long-term, aliquot and store at -20oC. Avoid repeated freezing and thawing.

Cross
Bulk Quote Request Form
Name*:
Organization*:
Email*:
Phone Number*:
Catalog No.*:
Comments and Specifics(amount, formulation, etc.)*:
Validation code: Captchapackage Image


Can't read the image? click here to refresh.
    *required field

Your bulk quote request has been submitted successfully!

Please contact us if you have any questions.