• Tel: 858.663.9055
  • SeparatorEmail: info@nsjbio.com
  • Tel: 858.663.9055
  • Email: info@nsjbio.com
Home >> Antibodies >> MTCH2 Antibody / Mitochondrial carrier homolog 2

MTCH2 Antibody / Mitochondrial carrier homolog 2 (FY13035)

  Catalog No Formulation Size Price (USD)  
Image FY13035 Adding 0.2 ml of distilled water will yield a concentration of 500 ug/ml 100 ug 449
Bulk quote request
Immunofluorescent staining of MTCH2 using anti-MTCH2 antibody (green). MTCH2 was detected in an immunocytochemical section of HELA cells. Enzyme antigen retrieval was performed using IHC enzyme antigen retrieval reagent for 15 mins. The cells were blocked with 10% goat serum. And then incubated with 5 ug/ml rabbit anti-MTCH2 antibody overnight at 4oC. DyLight 488 Conjugated Goat Anti-Rabbit IgG was used as secondary antibody at 1:500 dilution and incubated for 30 minutes at 37oC. The section was counterstained with DAPI nuclear stain (blue). Visualize using a fluorescence microscope and filter sets appropriate for the label used.
Western blot analysis of MTCH2 using anti-MTCH2 antibody. Lane 1: human 293T whole cell lysates, Lane 2: human Hela whole cell lysates, Lane 3: human HepG2 whole cell lysates, Lane 4: human PC-3 whole cell lysates. After electrophoresis, proteins were transferred to a nitrocellulose membrane at 150 mA for 50-90 minutes. Blocked the membrane with 5% non-fat milk/TBS for 1.5 hour at RT. The membrane was incubated with rabbit anti-MTCH2 antibody at 0.5 ug/ml overnight at 4oC, then washed with TBS-0.1%Tween 3 times with 5 minutes each and probed with a goat anti-rabbit IgG-HRP secondary antibody at a dilution of 1:5000 for 1.5 hour at RT. The signal was developed using enhanced chemiluminescent. A specific band was detected for MTCH2 at approximately 33 kDa. The expected molecular weight of MTCH2 is ~33 kDa.
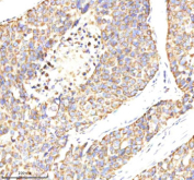
Immunohistochemical staining of MTCH2 using anti-MTCH2 antibody. MTCH2 was detected in a paraffin-embedded section of human thyroid cancer tissue. Heat mediated antigen retrieval was performed in EDTA buffer (pH 8.0, epitope retrieval solution). The tissue section was blocked with 10% goat serum. The tissue section was then incubated with 2 ug/ml rabbit anti-MTCH2 antibody overnight at 4oC. Peroxidase Conjugated Goat Anti-rabbit IgG was used as secondary antibody and incubated for 30 minutes at 37oC. The tissue section was developed using an HRP secondary and DAB substrate.
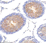
Immunohistochemical staining of MTCH2 using anti-MTCH2 antibody. MTCH2 was detected in a paraffin-embedded section of rat testis tissue. Heat mediated antigen retrieval was performed in EDTA buffer (pH 8.0, epitope retrieval solution). The tissue section was blocked with 10% goat serum. The tissue section was then incubated with 2 ug/ml rabbit anti-MTCH2 antibody overnight at 4oC. Peroxidase Conjugated Goat Anti-rabbit IgG was used as secondary antibody and incubated for 30 minutes at 37oC. The tissue section was developed using an HRP secondary and DAB substrate.
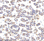
Immunohistochemical staining of MTCH2 using anti-MTCH2 antibody. MTCH2 was detected in a paraffin-embedded section of human liver cancer tissue. Heat mediated antigen retrieval was performed in EDTA buffer (pH 8.0, epitope retrieval solution). The tissue section was blocked with 10% goat serum. The tissue section was then incubated with 2 ug/ml rabbit anti-MTCH2 antibody overnight at 4oC. Peroxidase Conjugated Goat Anti-rabbit IgG was used as secondary antibody and incubated for 30 minutes at 37oC. The tissue section was developed using an HRP secondary and DAB substrate.
Immunoprecipitating MTCH2 in Hela whole cell lysate. Western blot analysis of MTCH2 using anti-MTCH2 antibody. Lane 1: Hela whole cell lysates (30ug) Lane 2: Rabbit control IgG instead of anti-MTCH2 antibody in Hela whole cell lysate. Lane 3: anti-MTCH2 antibody (2ug) + Hela whole cell lysate (500ug) After electrophoresis, proteins were transferred to a membrane. Then the membrane was incubated with rabbit anti-MTCH2 antibody at a dilution of 0.5 ug/ml and probed with a goat anti-rabbit IgG-HRP secondary antibody. The signal is developed using ECL Plus Western Blotting Substrate. A specific band was detected for MTCH2 at approximately 33 kDa. The expected molecular weight of MTCH2 is at 33 kDa.
Flow Cytometry analysis of PC-3 cells using anti-MTCH2 antibody. Overlay histogram showing PC-3 cells stained with (Blue line). To facilitate intracellular staining, cells were fixed with 4% paraformaldehyde and permeabilized with permeabilization buffer. The cells were blocked with 10% normal goat serum. And then incubated with rabbit anti-MTCH2 antibody (1 ug/million cells) for 30 min at 20oC. DyLight 488 conjugated goat anti-rabbit IgG (5-10 ug/million cells) was used as secondary antibody for 30 minutes at 20oC. Isotype control antibody (Green line) was rabbit IgG (1 ug/million cells) used under the same conditions. Unlabelled sample without incubation with primary antibody and secondary antibody (Red line) was used as a blank control.
Availability 1-2 days
Species Reactivity Human, Rat
Format Lyophilized
Host Rabbit
Clonality Polyclonal (rabbit origin)
Isotype Rabbit IgG
Purity Immunogen affinity purified
Buffer Each vial contains 4 mg Trehalose, 0.9 mg NaCl, 0.2 mg Na2HPO4.
UniProt Q9Y6C9
Localization Cytoplasm (Mitochondria)
Applications ELISA : 0.1-0.5ug/ml
Flow Cytometry : 1-3ug/million cells
Immunoprecipitation : 2-4ug/500ug of lysate
Immunofluorescence : 5ug/ml
Immunohistochemistry : 2-5ug/ml
Immunocytochemistry : 5ug/ml
Western Blot : 0.25-0.5ug/ml
Limitations This MTCH2 antibody is available for research use only.
Review this product on BioCompare and get a $20 Amazon gift card

Description

MTCH2 antibody detects Mitochondrial carrier homolog 2, a mitochondrial outer membrane protein involved in metabolism, apoptosis regulation, and mitochondrial dynamics. The UniProt recommended name is Mitochondrial carrier homolog 2 (MTCH2). Although originally classified as a putative solute carrier, MTCH2 primarily functions as a regulator of mitochondrial morphology and cell death signaling.

Functionally, MTCH2 antibody identifies a 305-amino-acid protein localized to the mitochondrial outer membrane. MTCH2 interacts with pro-apoptotic proteins such as BID and regulates mitochondrial outer membrane permeabilization (MOMP) during apoptosis. It modulates the recruitment and activation of truncated BID (tBID), a key step in BAX and BAK activation leading to cytochrome c release and caspase activation. Thus, MTCH2 serves as a checkpoint controlling apoptosis sensitivity.

The MTCH2 gene is located on chromosome 11p11.2 and encodes a protein expressed in metabolically active tissues including brain, liver, and skeletal muscle. MTCH2 contains six predicted transmembrane helices and shares limited homology with mitochondrial carrier family proteins, though it lacks classical solute transport function. Instead, it influences mitochondrial bioenergetics and lipid metabolism through protein-protein interactions at the outer membrane.

In addition to apoptosis, MTCH2 plays roles in energy metabolism and mitochondrial fission-fusion balance. It has been shown to interact with mitochondrial fission regulator DRP1 and influence cristae remodeling under metabolic stress. Genetic studies have associated MTCH2 variants with obesity and metabolic syndrome, suggesting that it contributes to energy balance by regulating mitochondrial efficiency and lipid oxidation.

In neuronal and immune systems, MTCH2 contributes to mitochondrial trafficking and immune cell activation. Overexpression of MTCH2 sensitizes cells to apoptotic stimuli, while its depletion can promote survival under stress conditions. Its dual role in metabolism and apoptosis underscores its function as a metabolic gatekeeper linking mitochondrial function to cell fate decisions.

MTCH2 antibody is widely used in mitochondrial biology, apoptosis, and metabolism research. It is suitable for western blotting, immunocytochemistry, and co-immunoprecipitation to study MTCH2 localization and interaction networks. This antibody supports studies of mitochondrial outer membrane regulation, lipid metabolism, and programmed cell death. In disease research, it assists in examining MTCH2's contribution to metabolic disorders and neurodegeneration.

Structurally, MTCH2 contains conserved hydrophobic transmembrane helices that form a scaffold for protein binding. It lacks the canonical carrier signature motifs found in other mitochondrial carriers, reflecting its specialized signaling function. NSJ Bioreagents provides MTCH2 antibody reagents validated for use in apoptosis, mitochondrial function, and metabolic regulation research.

Application Notes

Optimal dilution of the MTCH2 antibody should be determined by the researcher.

Immunogen

E.coli-derived human MTCH2 recombinant protein (Position: M1-I303) was used as the immunogen for the MTCH2 antibody.

Storage

After reconstitution, the MTCH2 antibody can be stored for up to one month at 4oC. For long-term, aliquot and store at -20oC. Avoid repeated freezing and thawing.

Cross
Bulk Quote Request Form
Name*:
Organization*:
Email*:
Phone Number*:
Catalog No.*:
Comments and Specifics(amount, formulation, etc.)*:
Validation code: Captchapackage Image


Can't read the image? click here to refresh.
    *required field

Your bulk quote request has been submitted successfully!

Please contact us if you have any questions.