• Tel: 858.663.9055
  • SeparatorEmail: info@nsjbio.com
  • Tel: 858.663.9055
  • Email: info@nsjbio.com
Home >> Antibodies >> Mt-nd2 Antibody / NADH2

Mt-nd2 Antibody / NADH2 (RQ5993)

  Catalog No Formulation Size Price (USD)  
Image RQ5993 0.5mg/ml if reconstituted with 0.2ml sterile DI water 100 ug 449
Bulk quote request
Flow cytometry testing of mouse ANA-1 cells with Mt-nd2 antibody at 1ug/million cells (blocked with goat sera); Red=cells alone, Green=isotype control, Blue= Mt-nd2 antibody.
Flow cytometry testing of rat NRK cells with Mt-nd2 antibody at 1ug/million cells (blocked with goat sera); Red=cells alone, Green=isotype control, Blue= Mt-nd2 antibody.
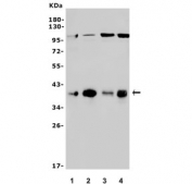
Western blot testing of 1) rat thymus, 2) rat spleen, 3) mouse thymus and 4) mouse HEPA1-6 lysate with Mt-nd2 antibody. Predicted molecular weight ~39 kDa.
Availability 1-3 business days
Species Reactivity Mouse, Rat
Format Antigen affinity purified
Host Rabbit
Clonality Polyclonal (rabbit origin)
Isotype Rabbit IgG
Purity Affinity purified
Buffer Lyophilized from 1X PBS with 2% Trehalose and 0.025% sodium azide
UniProt P03893
Applications Western Blot : 0.5-1ug/ml
Flow Cytometry : 1-3ug/million cells
Limitations This Mt-nd2 antibody is available for research use only.
Review this product on BioCompare and get a $20 Amazon gift card

Related Products

  • Applications : WB, FACS
    Reactivity : Mouse, Rat

Description

Mitochondrially encoded NADH dehydrogenase 2 is protein that in humans is encoded by the mitochondrial gene MT-ND2 gene. The ND2 protein is a subunit of NADH dehydrogenase (ubiquinone), which is located in the mitochondrial inner membrane and is the largest of the five complexes of the electron transport chain. Variants of MT-ND2 are associated with mitochondrial encephalomyopathy, lactic acidosis, and stroke-like episodes (MELAS), Leigh's syndrome (LS), Leber's hereditary optic neuropathy (LHON) and increases in adult BMI.

Application Notes

Optimal dilution of the Mt-nd2 antibody should be determined by the researcher.

Immunogen

Amino acids LEFSLLAIIPMLINKKNPRS from the mouse protein were used as the immunogen for the Mt-nd2 antibody.

Storage

After reconstitution, the Mt-nd2 antibody can be stored for up to one month at 4oC. For long-term, aliquot and store at -20oC. Avoid repeated freezing and thawing.

Cross
Bulk Quote Request Form
Name*:
Organization*:
Email*:
Phone Number*:
Catalog No.*:
Comments and Specifics(amount, formulation, etc.)*:
Validation code: Captchapackage Image


Can't read the image? click here to refresh.
    *required field

Your bulk quote request has been submitted successfully!

Please contact us if you have any questions.