• Tel: 858.663.9055
  • SeparatorEmail: info@nsjbio.com
  • Tel: 858.663.9055
  • Email: info@nsjbio.com
Home >> Antibodies >> MSTO1 Antibody / Misato homolog 1

MSTO1 Antibody / Misato homolog 1 (FY13060)

  Catalog No Formulation Size Price (USD)  
Image FY13060 Adding 0.2 ml of distilled water will yield a concentration of 500 ug/ml 100 ug 439
Bulk quote request
Immunofluorescent staining of MSTO1 using anti-MSTO1 antibody (red). MSTO1 was detected in a paraffin-embedded section of human liver cancer tissue. Heat mediated antigen retrieval was performed in EDTA buffer (pH 8.0, epitope retrieval solution). The tissue section was blocked with 10% goat serum. The tissue section was then incubated with 5 ug/ml rabbit anti-MSTO1 antibody overnight at 4oC. Cy3 Conjugated Goat Anti-Rabbit IgG was used as secondary antibody at 1:500 dilution and incubated for 30 minutes at 37oC. The section was counterstained with DAPI nuclear stain (blue). Visualize using a fluorescence microscope and filter sets appropriate for the label used.
Western blot analysis of MSTO1 using anti-MSTO1 antibody. Electrophoresis was performed on a 10% SDS-PAGE gel at 80V (Stacking gel) / 120V (Resolving gel) for 2 hours. Lane 1: human Hela whole cell lysates, Lane 2: human HepG2 whole cell lysates, Lane 3: human 293T whole cell lysates. After electrophoresis, proteins were transferred to a nitrocellulose membrane at 150 mA for 50-90 minutes. Blocked the membrane with 5% non-fat milk/TBS for 1.5 hour at RT. The membrane was incubated with rabbit anti-MSTO1 antibody at 0.5 ug/ml overnight at 4oC, then washed with TBS-0.1%Tween 3 times with 5 minutes each and probed with a goat anti-rabbit IgG-HRP secondary antibody at a dilution of 1:5000 for 1.5 hour at RT. The signal was developed using an ECL Plus Western Blotting Substrate. A doublet is detected at approximately 62 kDa, matching the predicted molecular weight of MSTO1. The appearance of two closely spaced bands is consistent with co-existing isoforms or phosphorylation states of MSTO1, a mitochondrial outer membrane–associated protein involved in mitochondrial fusion and morphology. Both bands correspond to known full-length forms of MSTO1 commonly reported in human cells.
Immunohistochemical staining of MSTO1 using anti-MSTO1 antibody. MSTO1 was detected in a paraffin-embedded section of human liver tissue. Heat mediated antigen retrieval was performed in EDTA buffer (pH 8.0, epitope retrieval solution). The tissue section was blocked with 10% goat serum. The tissue section was then incubated with 2 ug/ml rabbit anti-MSTO1 antibody overnight at 4oC. Peroxidase Conjugated Goat Anti-rabbit IgG was used as secondary antibody and incubated for 30 minutes at 37oC. The tissue section was developed using an HRP secondary and DAB substrate.
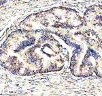
Immunohistochemical staining of MSTO1 using anti-MSTO1 antibody. MSTO1 was detected in a paraffin-embedded section of human prostate cancer tissue. Heat mediated antigen retrieval was performed in EDTA buffer (pH 8.0, epitope retrieval solution). The tissue section was blocked with 10% goat serum. The tissue section was then incubated with 2 ug/ml rabbit anti-MSTO1 antibody overnight at 4oC. Peroxidase Conjugated Goat Anti-rabbit IgG was used as secondary antibody and incubated for 30 minutes at 37oC. The tissue section was developed using an HRP secondary and DAB substrate.
Immunohistochemical staining of MSTO1 using anti-MSTO1 antibody. MSTO1 was detected in a paraffin-embedded section of human prostate cancer tissue. Heat mediated antigen retrieval was performed in EDTA buffer (pH 8.0, epitope retrieval solution). The tissue section was blocked with 10% goat serum. The tissue section was then incubated with 2 ug/ml rabbit anti-MSTO1 antibody overnight at 4oC. Peroxidase Conjugated Goat Anti-rabbit IgG was used as secondary antibody and incubated for 30 minutes at 37oC. The tissue section was developed using an HRP secondary and DAB substrate.
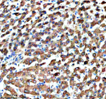
Immunohistochemical staining of MSTO1 using anti-MSTO1 antibody. MSTO1 was detected in a paraffin-embedded section of human liver cancer tissue. Heat mediated antigen retrieval was performed in EDTA buffer (pH 8.0, epitope retrieval solution). The tissue section was blocked with 10% goat serum. The tissue section was then incubated with 2 ug/ml rabbit anti-MSTO1 antibody overnight at 4oC. Peroxidase Conjugated Goat Anti-rabbit IgG was used as secondary antibody and incubated for 30 minutes at 37oC. The tissue section was developed using an HRP secondary and DAB substrate.
Flow Cytometry analysis of 293T cells using anti-MSTO1 antibody. Overlay histogram showing 293T cells stained with (Blue line). To facilitate intracellular staining, cells were fixed with 4% paraformaldehyde and permeabilized with permeabilization buffer. The cells were blocked with 10% normal goat serum. And then incubated with rabbit anti-MSTO1 antibody (1 ug/million cells) for 30 min at 20oC. DyLight 488 conjugated goat anti-rabbit IgG (5-10 ug/million cells) was used as secondary antibody for 30 minutes at 20oC. Isotype control antibody (Green line) was rabbit IgG (1 ug/million cells) used under the same conditions. Unlabelled sample without incubation with primary antibody and secondary antibody (Red line) was used as a blank control.
Availability 1-2 days
Species Reactivity Human
Format Lyophilized
Clonality Polyclonal (rabbit origin)
Isotype Rabbit IgG
Purity Immunogen affinity purified
Buffer Each vial contains 4 mg Trehalose, 0.9 mg NaCl, 0.2 mg Na2HPO4.
UniProt Q9BUK6
Localization Cytoplasm, Mitochondria
Applications Western Blot : 0.25-0.5ug/ml
Immunohistochemistry : 2-5ug/ml
Immunofluorescence : 5ug/ml
Flow Cytometry : 1-3ug/million cells
ELISA : 0.1-0.5ug/ml
Limitations This MSTO1 antibody is available for research use only.
Review this product on BioCompare and get a $20 Amazon gift card

Description

MSTO1 antibody detects Misato homolog 1, a cytoplasmic protein involved in mitochondrial morphology, fusion, and intracellular distribution. The UniProt recommended name is Misato homolog 1 (MSTO1). This evolutionarily conserved protein plays a critical role in maintaining mitochondrial network integrity and energy homeostasis, particularly in tissues with high metabolic demand.

Functionally, MSTO1 antibody identifies a 570-amino-acid cytoplasmic protein that promotes mitochondrial fusion by regulating the dynamics of the mitochondrial outer and inner membranes. MSTO1 interacts with components of the mitochondrial fusion machinery, including mitofusins (MFN1 and MFN2) and OPA1, coordinating mitochondrial elongation and connectivity. By promoting mitochondrial network formation, MSTO1 supports oxidative phosphorylation, calcium buffering, and apoptotic resistance.

The MSTO1 gene is located on chromosome 1q22 and encodes a protein expressed in muscle, liver, brain, and fibroblasts. MSTO1 is partially localized to the cytosol and associates dynamically with mitochondrial membranes. Its loss-of-function mutations cause mitochondrial fragmentation, reduced ATP production, and increased reactive oxygen species, leading to neurodegeneration and myopathy. MSTO1 deficiency has been linked to a rare inherited condition characterized by developmental delay, muscle weakness, and optic atrophy.

In cellular metabolism, MSTO1 contributes to the maintenance of mitochondrial homeostasis during cell division and stress. It facilitates mitochondrial fusion after fission events, ensuring the proper distribution of mitochondrial DNA and metabolic components. Overexpression of MSTO1 enhances mitochondrial interconnectivity, while depletion disrupts network morphology and compromises cell viability. These effects highlight MSTO1 as a key regulator of mitochondrial quality control.

MSTO1 antibody is widely used in mitochondrial biology, metabolic research, and neuromuscular disease studies. It is suitable for western blotting, immunocytochemistry, and fluorescence microscopy to detect MSTO1 localization and expression. This antibody supports studies of mitochondrial dynamics, fusion-fission balance, and bioenergetic regulation. In translational research, MSTO1 serves as a molecular marker of mitochondrial health and metabolic adaptation.

Structurally, MSTO1 contains coiled-coil and helical domains that facilitate protein-protein interaction and oligomerization. It functions as a cytoplasmic tether promoting mitochondrial membrane juxtaposition. NSJ Bioreagents provides MSTO1 antibody reagents validated for use in mitochondrial dynamics, fusion regulation, and energy metabolism research.

Application Notes

Optimal dilution of the MSTO1 antibody should be determined by the researcher.

Immunogen

E.coli-derived human MSTO1 recombinant protein (Position: E44-Q518) was used as the immunogen for the MSTO1 antibody.

Storage

After reconstitution, the MSTO1 antibody can be stored for up to one month at 4oC. For long-term, aliquot and store at -20oC. Avoid repeated freezing and thawing.

Cross
Bulk Quote Request Form
Name*:
Organization*:
Email*:
Phone Number*:
Catalog No.*:
Comments and Specifics(amount, formulation, etc.)*:
Validation code: Captchapackage Image


Can't read the image? click here to refresh.
    *required field

Your bulk quote request has been submitted successfully!

Please contact us if you have any questions.