• Tel: 858.663.9055
  • SeparatorEmail: info@nsjbio.com
  • Tel: 858.663.9055
  • Email: info@nsjbio.com
Home >> Antibodies >> MSH6 Antibody Mouse Monoclonal MTS6-1

MSH6 Antibody Mouse Monoclonal MTS6-1 [clone MTS6-1] (V7430)

  Catalog No Formulation Size Price (USD)  
Image V7430-100UG 0.2 mg/ml in 1X PBS with 0.1 mg/ml BSA (US sourced) and 0.05% sodium azide 100 ug 559
Image
V7430-20UG 0.2 mg/ml in 1X PBS with 0.1 mg/ml BSA (US sourced) and 0.05% sodium azide 20 ug 259
Image
V7430SAF-100UG 1 mg/ml in 1X PBS; BSA free, sodium azide free 100 ug 559
Image
V7430IHC-7ML Prediluted in 1X PBS with 0.1 mg/ml BSA (US sourced) and 0.05% sodium azide; *For IHC use only* 7 ml 559
Bulk quote request
Western blot testing of human HeLa lysate with MSH6 antibody (clone MTS6-1). Expected molecular weight: 120-160 kDa depending on phosphorylation level.
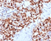
Immunohistochemistry analysis of MSH6 antibody in human colon carcinoma tissue. MSH6 Antibody Mouse Monoclonal MTS6-1 was used for immunohistochemistry on FFPE human colon carcinoma tissue. Prominent HRP-DAB brown nuclear staining is observed in malignant epithelial cells, consistent with the nuclear localization of MutS homolog 6 (MSH6), a DNA mismatch repair protein that recognizes replication-associated base mismatches. Tumor cell nuclei show strong positive labeling across gland-forming carcinoma regions, while surrounding stromal cells demonstrate comparatively weaker staining. Heat-induced epitope retrieval was performed by boiling tissue sections in pH 9 10mM Tris with 1mM EDTA for 10-20 min followed by cooling prior to immunostaining.
Immunofluorescent staining of permeabilized human MCF7 cells with mouse monoclonal MSH6 antibody (green, clone MTS6-1) and Phalloidin (red).
Availability 1-3 business days
Species Reactivity Human
Format Purified
Host Mouse
Clonality Monoclonal (mouse origin)
Isotype Mouse IgG2b, kappa
Clone Name MTS6-1
Purity Protein G affinity chromatography
UniProt P52701
Localization Nuclear
Applications Flow Cytometry : 1-2ug/10^6 cells
Western Blot : 1-2ug/ml
Immunohistochemistry (FFPE) : 1-2ug/ml
Prediluted IHC Only Format : incubate for 30 min at RT (1)
Limitations This MSH6 antibody is available for research use only.
Review this product on BioCompare and get a $20 Amazon gift card

Related Products

Description

MutS homolog 6 (MSH6), encoded by the MSH6 gene, is a nuclear DNA mismatch repair protein that plays a critical role in maintaining genomic stability during DNA replication. MSH6 Antibody Mouse Monoclonal MTS6-1 recognizes this essential DNA repair factor, which is widely referred to in the literature as MutS homolog 6, GTBP, or G/T mismatch-binding protein. MSH6 functions as part of the MutSalpha heterodimer formed with MutS homolog 2 (MSH2), a complex responsible for detecting base-base mismatches and small insertion-deletion loops that arise during DNA replication. By identifying these replication errors, the MutSalpha complex initiates the DNA mismatch repair pathway, helping preserve genome integrity in proliferating cells.

Within the mismatch repair system, MSH6 serves as the primary mismatch recognition component of the MutSalpha complex. After binding to mismatched nucleotides, the complex recruits downstream repair proteins including MLH1 and PMS2, which coordinate removal of the incorrect DNA strand followed by synthesis of the corrected sequence. This repair mechanism is highly conserved across eukaryotes and is essential for preventing the accumulation of mutations during cell division.

The MSH6 gene is located on chromosome 2p16 and encodes a member of the MutS family of DNA repair proteins. The protein is localized predominantly within the cell nucleus where DNA replication and repair processes occur. Detection of MSH6 expression in tissue-based studies typically reveals nuclear staining in proliferating epithelial cells and lymphoid populations that undergo active DNA replication. This nuclear localization reflects the functional role of MSH6 in recognizing mismatched nucleotides and initiating DNA repair processes.

Alterations in mismatch repair genes can lead to genomic instability and increased susceptibility to tumor development. Loss of MSH6 expression contributes to mismatch repair deficiency and microsatellite instability, molecular features frequently investigated in colorectal carcinoma, endometrial carcinoma, and other malignancies. Mutations in the MSH6 gene have also been associated with hereditary cancer syndromes including Lynch syndrome. Consequently, detection of MSH6 protein expression is widely used in research examining DNA repair pathways, genomic instability, and tumor biology.

Several well-established literature synonyms exist for this mismatch repair protein, including MutS homolog 6, GTBP, and G/T mismatch-binding protein. These alternate names reflect the protein's role in recognizing G/T mismatches generated during DNA replication. A mouse monoclonal antibody such as clone MTS6-1 enables reliable detection of nuclear MSH6 expression in research applications investigating DNA mismatch repair mechanisms and genomic stability.

Application Notes

The stated application concentrations are suggested starting points. Titration of the MSH6 antibody may be required due to differences in protocols and secondary/substrate sensitivity.

1. The prediluted format is supplied in a dropper bottle and is optimized for use in IHC. After epitope retrieval step (if required), drip mAb solution onto the tissue section and incubate at RT for 30 min.

Immunogen

A portion of amino acids 374-540 from the human protein were used as the immunogen for this MSH6 antibody.

Storage

Store the MSH6 antibody at 2-8oC (with azide) or aliquot and store at -20oC or colder (without azide).

Cross
Bulk Quote Request Form
Name*:
Organization*:
Email*:
Phone Number*:
Catalog No.*:
Comments and Specifics(amount, formulation, etc.)*:
Validation code: Captchapackage Image


Can't read the image? click here to refresh.
    *required field

Your bulk quote request has been submitted successfully!

Please contact us if you have any questions.