• Tel: 858.663.9055
  • SeparatorEmail: info@nsjbio.com
  • Tel: 858.663.9055
  • Email: info@nsjbio.com
Home >> Antibodies >> MSH5 Antibody

MSH5 Antibody (R34074)

  Catalog No Formulation Size Price (USD)  
Image R34074-100UG 0.5 mg/ml in 1X TBS, pH7.3, with 0.5% BSA (US sourced) and 0.02% sodium azide 100 ug 475
Bulk quote request
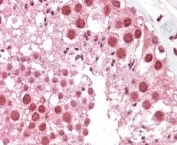
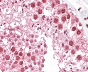
IHC testing of FFPE human testis with MSH5 antibody at 4ug/ml. HIER: steamed with pH6 citrate buffer, AP-staining.
Availability 1-3 business days
Species Reactivity Human
Predicted Reactivity Mouse, Rat
Format Antigen affinity purified
Host Goat
Clonality Polyclonal (goat origin)
Isotype Goat Ig
Purity Antigen affinity
Gene ID 4439
Applications Immunohistochemistry (FFPE) : 2.5-5ug/ml
ELISA (peptide) LOD : 1:64000
Limitations This MSH5 antibody is available for research use only.
Review this product on BioCompare and get a $20 Amazon gift card

Description

Additional name(s) for this target protein: MutS homolog 5

Application Notes

Optimal dilution of the MSH5 antibody should be determined by the researcher.

Immunogen

Amino acids GDLHCEIRDQET were used as the immunogen for this MSH5 antibody.

Storage

Aliquot and store the MSH5 antibody at -20oC.

Cross
Bulk Quote Request Form
Name*:
Organization*:
Email*:
Phone Number*:
Catalog No.*:
Comments and Specifics(amount, formulation, etc.)*:
Validation code: Captchapackage Image


Can't read the image? click here to refresh.
    *required field

Your bulk quote request has been submitted successfully!

Please contact us if you have any questions.