• Tel: 858.663.9055
  • SeparatorEmail: info@nsjbio.com
  • Tel: 858.663.9055
  • Email: info@nsjbio.com
Home >> Antibodies >> MS4A4E Antibody / Membrane-spanning 4-domains subfamily A member 4E

MS4A4E Antibody / Membrane-spanning 4-domains subfamily A member 4E (FY12466)

  Catalog No Formulation Size Price (USD)  
Image FY12466 Adding 0.2 ml of distilled water will yield a concentration of 500 ug/ml 100 ug 449
Bulk quote request
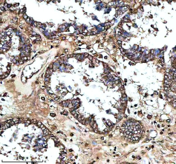
Immunohistochemical staining of MS4A4E using anti-MS4A4E antibody. MS4A4E was detected in a paraffin-embedded section of human ovarian cancer tissue. Heat mediated antigen retrieval was performed in EDTA buffer (pH 8.0, epitope retrieval solution). The tissue section was blocked with 10% goat serum. The tissue section was then incubated with 2 ug/ml rabbit anti-MS4A4E antibody overnight at 4oC. Peroxidase Conjugated Goat Anti-rabbit IgG was used as secondary antibody and incubated for 30 minutes at 37oC. The tissue section was developed using an HRP secondary and DAB substrate.
Western blot analysis of MS4A4E using anti-MS4A4E antibody. Electrophoresis was performed on a 12% SDS-PAGE gel at 80V (Stacking gel) / 120V (Resolving gel) for 2 hours. Lane 1: human U251 whole cell lysates, Lane 2: human U2OS whole cell lysates, Lane 3: rat stomach tissue lysates, Lane 4: mouse stomach tissue lysates, Lane 5: mouse small intestine tissue lysates. After electrophoresis, proteins were transferred to a nitrocellulose membrane at 150 mA for 50-90 minutes. Blocked the membrane with 5% non-fat milk/TBS for 1.5 hour at RT. The membrane was incubated with rabbit anti-MS4A4E antibody at 0.5 ug/ml overnight at 4oC, then washed with TBS-0.1%Tween 3 times with 5 minutes each and probed with a goat anti-rabbit IgG-HRP secondary antibody at a dilution of 1:5000 for 1.5 hour at RT. The signal was developed using an ECL Plus Western Blotting Substrate. MS4A4E (~15 kDa predicted) was detected as a single band near the expected molecular weight in lysates from human and mouse tissues.
Immunohistochemical staining of MS4A4E using anti-MS4A4E antibody. MS4A4E was detected in a paraffin-embedded section of human prostate cancer tissue. Heat mediated antigen retrieval was performed in EDTA buffer (pH 8.0, epitope retrieval solution). The tissue section was blocked with 10% goat serum. The tissue section was then incubated with 2 ug/ml rabbit anti-MS4A4E antibody overnight at 4oC. Peroxidase Conjugated Goat Anti-rabbit IgG was used as secondary antibody and incubated for 30 minutes at 37oC. The tissue section was developed using an HRP secondary and DAB substrate.
Availability 1-2 days
Species Reactivity Human, Mouse
Format Lyophilized
Host Rabbit
Clonality Polyclonal (rabbit origin)
Isotype Rabbit IgG
Purity Immunogen affinity purified
Buffer Each vial contains 4 mg Trehalose, 0.9 mg NaCl, 0.2 mg Na2HPO4.
UniProt Q96PG1
Applications Western Blot : 0.25-0.5ug/ml
Immunohistochemistry : 2-5ug/ml
Limitations This MS4A4E antibody is available for research use only.
Review this product on BioCompare and get a $20 Amazon gift card

Description

MS4A4E antibody detects Membrane-spanning 4-domains subfamily A member 4E, a member of the MS4A gene family involved in cell signaling, membrane organization, and immune cell communication. Proteins in this family share a conserved topology with four transmembrane helices and cytoplasmic N- and C-termini. MS4A4E, like other MS4A proteins, is thought to participate in the assembly of receptor complexes and in modulating calcium fluxes across cellular membranes. The MS4A4E antibody is widely used for studying membrane microdomain organization, immune function, and the signaling mechanisms that govern inflammatory and neurodegenerative processes.

MS4A4E is encoded by the MS4A4E gene located on human chromosome 11q12.2, within a gene cluster that includes MS4A1 (CD20), MS4A2 (Fc epsilon R1 beta), and several related family members. These proteins are often expressed in immune and epithelial tissues and are implicated in signal transduction pathways associated with receptor activation. MS4A4E is particularly abundant in microglia and macrophages, where it may modulate inflammatory responses and phagocytosis. Studies suggest that it could also play a role in neuronal-glial communication, making it a candidate gene of interest in neuroimmunology and Alzheimer's disease research.

The MS4A4E antibody is useful for western blotting, immunohistochemistry, and flow cytometry applications. Immunostaining shows membrane localization with enrichment at lipid raft domains, consistent with its predicted role in membrane signaling complexes. Research indicates that MS4A4E may interact with adaptor proteins and kinases, forming multi-protein assemblies that regulate signal amplification following receptor engagement. Dysregulation of MS4A4E expression has been reported in inflammatory conditions and neurodegenerative disease models, underscoring its functional relevance in immune signaling and brain homeostasis.

Beyond immunological contexts, MS4A4E is also implicated in epithelial barrier integrity and intercellular adhesion. Variants in MS4A4E have been linked through genome-wide association studies to altered risk of late-onset Alzheimer's disease, likely due to its regulatory relationship with MS4A6A and TREM2 pathways involved in microglial activation. Functional studies continue to explore whether MS4A4E influences receptor trafficking or calcium mobilization during immune activation. NSJ Bioreagents provides a validated MS4A4E antibody optimized for western blot, immunofluorescence, and tissue staining applications, supporting researchers studying membrane signaling, immune modulation, and neuroinflammation.

Application Notes

Optimal dilution of the MS4A4E antibody should be determined by the researcher.

Immunogen

A synthetic peptide corresponding to a sequence at the C-terminus of human MS4A4E was used as the immunogen for the MS4A4E antibody.

Storage

After reconstitution, the MS4A4E antibody can be stored for up to one month at 4oC. For long-term, aliquot and store at -20oC. Avoid repeated freezing and thawing.

Cross
Bulk Quote Request Form
Name*:
Organization*:
Email*:
Phone Number*:
Catalog No.*:
Comments and Specifics(amount, formulation, etc.)*:
Validation code: Captchapackage Image


Can't read the image? click here to refresh.
    *required field

Your bulk quote request has been submitted successfully!

Please contact us if you have any questions.