• Tel: 858.663.9055
  • SeparatorEmail: info@nsjbio.com
  • Tel: 858.663.9055
  • Email: info@nsjbio.com
Home >> Antibodies >> MS4A1 Antibody / Membrane spanning 4-domains A1

MS4A1 Antibody / Membrane spanning 4-domains A1 [clone L26 + IGEL/773] (V6036)

  Catalog No Formulation Size Price (USD)  
Image V6036-100UG 0.2 mg/ml in 1X PBS with 0.05% BSA, 0.05% sodium azide 100 ug 559
Image
V6036-20UG 0.2 mg/ml in 1X PBS with 0.05% BSA, 0.05% sodium azide 20 ug 259
Bulk quote request
Immunofluorescence analysis of MS4A1 Antibody in human Raji cells. MS4A1/Membrane spanning 4-domains A1 antibody (clones L26 + IGEL/773) followed by goat anti-mouse IgG-CF488 demonstrates distinct green membranous staining outlining CD20-positive B cells, consistent with MS4A1 surface localization, while nuclei are counterstained with Reddot (red). The staining pattern highlights strong plasma membrane expression with minimal cytoplasmic background, supporting specific detection of CD20 in this B-cell derived line.
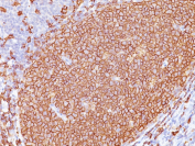
Immunohistochemistry analysis of MS4A1 Antibody / Membrane spanning 4-domains A1 in human lymphoma tissue. FFPE human lymphoma demonstrates diffuse membranous HRP-DAB brown staining in neoplastic B cells, consistent with strong CD20/MS4A1 surface expression, while background stromal elements show minimal staining. Detection was performed using mouse monoclonal antibodies (clones L26 + IGEL/773), highlighting robust B-cell lineage labeling in malignant lymphoid tissue. Antigen retrieval was performed by heating tissue sections in 10mM Tris with 1mM EDTA, pH 9.0, at 95oC for 45 minutes followed by cooling at room temperature for 20 minutes prior to incubation with CD20 antibody.
Flow Cytometric Analysis of Raji cells using MS4A1/Membrane spanning 4-domains A1 antibody (L26 + IGEL/773) followed by Goat anti-Mouse IgG-CF488 (Blue); Isotype Control (Red).
Immunohistochemistry analysis of MS4A1 Antibody / Membrane spanning 4-domains A1 in human tonsil tissue. FFPE human tonsil demonstrates strong, uniform membranous HRP-DAB brown staining in B lymphocytes within germinal centers, sharply delineating follicular architecture consistent with CD20/MS4A1 surface expression, while surrounding interfollicular regions show reduced staining. Antigen retrieval was performed by heating tissue sections in 10mM Tris with 1mM EDTA, pH 9.0, at 95oC for 45 minutes followed by cooling at room temperature for 20 minutes prior to incubation with mouse monoclonal antibodies (clones L26 + IGEL/773).
SDS-PAGE Analysis of Purified MS4A1/Membrane spanning 4-domains A1 antibody (L26 + IGEL/773). Confirmation of Purity and Integrity of Antibody.
Format Purified
Host Mouse
Clonality Monoclonal (mouse origin)
Isotype Mouse IgG2a, kappa
Clone Name L26 + IGEL/773
UniProt P11836
Localization Cell membrane
Applications Flow Cytometry : 1-2ug/million cells
Immunofluorescence : 1-3ug/ml
Immunohistochemistry (FFPE) : 1-2ug/ml
Limitations This MS4A1/Membrane spanning 4-domains A1 antibody is available for research use only.
Review this product on BioCompare and get a $20 Amazon gift card

Related Products

  • Applications : IF, FACS, IHC-P, WB
    Reactivity : Human
    Recmousemono
    Microvalidated
  • Applications : FACS, IHC-P
    Reactivity : Human
    Recrabbitmono
  • Applications : IHC-P, FACS
    Reactivity : Human
    Recrabbitmono
  • Applications : WB, IHC
    Reactivity : Human
    Recrabbitmono
  • Applications : Functional studies, FACS, IF
    Reactivity : Human
    Citation  Citations(5)
  • Applications : FACS, IF
    Reactivity : Human. Other species not known.
    Citation  Citations(5)
  • Applications : WB, ELISA
    Reactivity : Human
  • Applications : WB, ELISA
    Reactivity : Human
  • Applications : FACS, IF, IHC-P
    Reactivity : Human
  • Applications : Functional studies, FACS, IF
    Reactivity : Human
    Citation  Citations(6)
  • Applications : FACS, IF, IHC-P
    Reactivity : Human
  • Applications : FACS, IF, IHC-P
    Reactivity : Human
  • Applications : FACS, IF, IHC-P
    Reactivity : Human
  • Applications : WB, IHC-P, IF, FACS
    Reactivity : Human
  • Applications : WB, IHC, ELISA (peptide)
    Reactivity : Human
  • Applications : WB, IHC, ELISA (peptide)
    Reactivity : Human
  • Applications : IHC-P
    Reactivity : Human

Description

MS4A1 antibody recognizes Membrane spanning 4-domains subfamily A member 1, commonly known as CD20, a B-cell specific transmembrane phosphoprotein encoded by the MS4A1 gene. CD20 is localized to the plasma membrane of B lymphocytes, where it regulates B-cell activation, proliferation, and calcium signaling. MS4A1 Antibody / Membrane spanning 4-domains A1 is developed to support research in B-cell biology, lymphoma investigation, and immune cell profiling.

The MS4A1 gene is located on chromosome 11q12.2 and encodes a protein characterized by four transmembrane domains with short cytoplasmic N- and C-terminal regions. CD20 expression begins at the late pre-B-cell stage and persists through mature B cells but is absent on hematopoietic stem cells and terminally differentiated plasma cells. This restricted lineage expression makes CD20 one of the most widely used markers for identifying B-cell populations in lymphoid tissues such as tonsil, spleen, lymph node, and bone marrow.

Functionally, CD20 associates with the B-cell receptor signaling complex and contributes to calcium influx following antigen engagement. Although CD20 lacks a defined soluble ligand, it participates in membrane microdomains that regulate signal transduction and B-cell activation. Aberrant CD20 expression is characteristic of B-cell non-Hodgkin lymphoma, diffuse large B-cell lymphoma, follicular lymphoma, and chronic lymphocytic leukemia. MS4A1 antibody supports evaluation of CD20 distribution and density in both normal and malignant B-cell populations.

Clone L26 and clone IGEL/773 are mouse monoclonal antibodies developed to recognize epitopes on CD20 suitable for detection in research applications. CD20 remains a major therapeutic target in oncology and autoimmune disease, and assessment of CD20 expression is important in translational studies examining treatment response and antigen modulation.

By targeting a well-established B-cell lineage marker, MS4A1 Antibody / Membrane spanning 4-domains A1 provides a dependable tool for studies of lymphoma classification, immune regulation, and B-cell differentiation.

Application Notes

Optimal dilution of the MS4A1/Membrane spanning 4-domains A1 antibody should be determined by the researcher.

Immunogen

Human tonsil B cells (clone L26) and recombinant human MS4A1 protein (clone IGEL/773).

Storage

MS4A1/Membrane spanning 4-domains A1 antibody with sodium azide - store at 2 to 8oC; antibody without sodium azide - store at -20 to -80oC.

Cross
Bulk Quote Request Form
Name*:
Organization*:
Email*:
Phone Number*:
Catalog No.*:
Comments and Specifics(amount, formulation, etc.)*:
Validation code: Captchapackage Image


Can't read the image? click here to refresh.
    *required field

Your bulk quote request has been submitted successfully!

Please contact us if you have any questions.