• Tel: 858.663.9055
  • SeparatorEmail: info@nsjbio.com
  • Tel: 858.663.9055
  • Email: info@nsjbio.com
Home >> Antibodies >> MRP2 Antibody / Multidrug resistance-associated protein 2 / ABCC2

MRP2 Antibody / Multidrug resistance-associated protein 2 / ABCC2 (RQ4941)

  Catalog No Formulation Size Price (USD)  
Image RQ4941 0.5mg/ml if reconstituted with 0.2ml sterile DI water 100 ug 449
Bulk quote request
Western blot testing of human Caco-2 lysate with MRP2 antibody at 0.5ug/ml. Predicted molecular weight: 174-250 kDa depending on degree of glycosylation.
Western blot testing of human HepG2 cell lysate with MRP2 antibody. Predicted molecular weight: 174-250 kDa depending on degree of glycosylation.
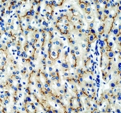
IHC staining of FFPE human liver cancer with MRP2 antibody. HIER: boil tissue sections in pH8 EDTA buffer for 10-20 min and allow to cool before testing.
IHC staining of FFPE human liver cancer with MRP2 antibody. HIER: boil tissue sections in pH8 EDTA buffer for 10-20 min and allow to cool before testing.
Availability 1-3 business days
Species Reactivity Human
Format Antigen affinity purified
Host Rabbit
Clonality Polyclonal (rabbit origin)
Isotype Rabbit IgG
Purity Antigen affinity purified
Buffer Lyophilized from 1X PBS with 2% Trehalose
UniProt Q92887
Localization Plasma membrane
Applications Western Blot : 0.5-1ug/ml
Immunohistochemistry (FFPE) : 2-5ug/ml
Limitations This MRP2 antibody is available for research use only.
Review this product on BioCompare and get a $20 Amazon gift card

Description

Multidrug resistance-associated protein 2 (MRP2), also called canalicular multispecific organic anion transporter 1 (cMOAT) or ATP-binding cassette sub-family C member 2 (ABCC2), is a protein that in humans is encoded by the ABCC2 gene. The protein encoded by this gene is a member of the superfamily of ATP-binding cassette (ABC) transporters. ABC proteins transport various molecules across extra- and intra-cellular membranes. ABC genes are divided into seven distinct subfamilies (ABC1, MDR/TAP, MRP, ALD, OABP, GCN20, White). This protein is a member of the MRP subfamily which is involved in multi-drug resistance. This protein is expressed in the canalicular (apical) part of the hepatocyte and functions in biliary transport. Substrates include anticancer drugs such as vinblastine; therefore, this protein appears to contribute to drug resistance in mammalian cells. Several different mutations in this gene have been observed in patients with Dubin-Johnson syndrome (DJS), an autosomal recessive disorder characterized by conjugated hyperbilirubinemia.

Application Notes

Optimal dilution of the MRP2 antibody should be determined by the researcher.

Immunogen

Amino acids AIRHDCNFDKAMQFSEASFTWEHDSEATVRDVNLD from the human protein were used as the immunogen for the MRP2 antibody.

Storage

After reconstitution, the MRP2 antibody can be stored for up to one month at 4oC. For long-term, aliquot and store at -20oC. Avoid repeated freezing and thawing.

Cross
Bulk Quote Request Form
Name*:
Organization*:
Email*:
Phone Number*:
Catalog No.*:
Comments and Specifics(amount, formulation, etc.)*:
Validation code: Captchapackage Image


Can't read the image? click here to refresh.
    *required field

Your bulk quote request has been submitted successfully!

Please contact us if you have any questions.