• Tel: 858.663.9055
  • SeparatorEmail: info@nsjbio.com
  • Tel: 858.663.9055
  • Email: info@nsjbio.com
Home >> Antibodies >> mRNA-capping enzyme Antibody / RNGTT / HCE

mRNA-capping enzyme Antibody / RNGTT / HCE (RQ7845)

  Catalog No Formulation Size Price (USD)  
Image RQ7845 0.5mg/ml if reconstituted with 0.2ml sterile DI water 100 ug 449
Bulk quote request
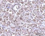
IHC staining of FFPE human intestine diffuse large B-cell lymphoma tissue with mRNA-capping enzyme antibody. HIER: boil tissue sections in pH8 EDTA for 20 min and allow to cool before testing.
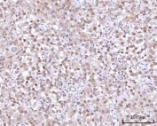
IHC staining of FFPE human testicular seminoma tissue with mRNA-capping enzyme antibody. HIER: boil tissue sections in pH8 EDTA for 20 min and allow to cool before testing.
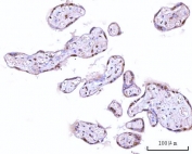
IHC staining of FFPE human placental tissue with mRNA-capping enzyme antibody. HIER: boil tissue sections in pH8 EDTA for 20 min and allow to cool before testing.
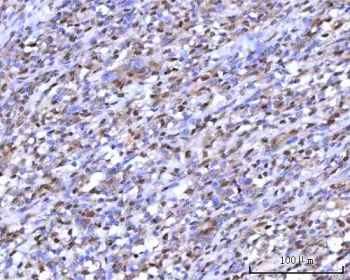
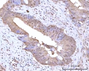
IHC staining of FFPE human rectum adenocarcinoma tissue with mRNA-capping enzyme antibody. HIER: boil tissue sections in pH8 EDTA for 20 min and allow to cool before testing.
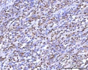
IHC staining of FFPE human lung adenocarcinoma tissue with mRNA-capping enzyme antibody. HIER: boil tissue sections in pH8 EDTA for 20 min and allow to cool before testing.
Immunofluorescent staining of FFPE human colon cancer tissue with mRNA-capping enzyme antibody (red). HIER: steam section in pH8 EDTA buffer for 20 min.
Immunofluorescent staining of FFPE human SiHa cells with mRNA-capping enzyme antibody (red) and Beta Tubulin mAb (green). HIER: steam section in pH6 citrate buffer for 20 min.
Flow cytometry testing of human SiHa cells with mRNA-capping enzyme antibody at 1ug/million cells (blocked with goat sera); Red=cells alone, Green=isotype control, Blue= mRNA-capping enzyme antibody.
Availability 1-3 business days
Species Reactivity Human
Format Antigen affinity purified
Host Rabbit
Clonality Polyclonal (rabbit origin)
Isotype Rabbit IgG
Purity Antigen affinity purified
Buffer Lyophilized from 1X PBS with 2% Trehalose
UniProt O60942
Localization Nuclear
Applications Western Blot : 0.5-1ug/ml
Immunohistochemistry (FFPE) : 2-5ug/ml
Immunofluorescence : 5ug/ml
Flow Cytometry : 1-3ug/million cells
Direct ELISA : 0.1-0.5ug/ml
Limitations This mRNA-capping enzyme antibody is available for research use only.
Review this product on BioCompare and get a $20 Amazon gift card

Description

mRNA-capping enzyme is a protein that in humans is encoded by the RNGTT gene. Enables mRNA guanylyltransferase activity and triphosphatase activity. Involved in 7-methylguanosine mRNA capping. Predicted to be located in nucleoplasm.

Application Notes

Optimal dilution of the mRNA-capping enzyme antibody should be determined by the researcher.

Immunogen

E. coli-derived recombinant human protein (amino acids L11-D438) was used as the immunogen for the mRNA-capping enzyme antibody.

Storage

After reconstitution, the mRNA-capping enzyme antibody can be stored for up to one month at 4oC. For long-term, aliquot and store at -20oC. Avoid repeated freezing and thawing.

Cross
Bulk Quote Request Form
Name*:
Organization*:
Email*:
Phone Number*:
Catalog No.*:
Comments and Specifics(amount, formulation, etc.)*:
Validation code: Captchapackage Image


Can't read the image? click here to refresh.
    *required field

Your bulk quote request has been submitted successfully!

Please contact us if you have any questions.