• Tel: 858.663.9055
  • SeparatorEmail: info@nsjbio.com
  • Tel: 858.663.9055
  • Email: info@nsjbio.com
Home >> Antibodies >> MRE11 Antibody / Meiotic recombination 11

MRE11 Antibody / Meiotic recombination 11 (RQ7189)

  Catalog No Formulation Size Price (USD)  
Image RQ7189 0.5mg/ml if reconstituted with 0.2ml sterile DI water 100 ug 449
Bulk quote request
Flow cytometry testing of human HL60 cells with MRE11 antibody at 1ug/million cells (blocked with goat sera); Red=cells alone, Green=isotype control, Blue= MRE11 antibody.
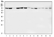
Western blot testing of 1) human A431, 2) human HeLa, 3) human Jurkat, 4) human K562, 5) human Daudi, 6) human HEL, 7) rat brain, 8) rat testis, 9) rat C6, 10) mouse brain, 11) mouse lung, 12) mouse testis and 13) mouse L929 cell lysate with MRE11 antibody. Predicted molecular weight ~81 kDa.
IHC staining of FFPE human tonsil tissue with MRE11 antibody. HIER: boil tissue sections in pH8 EDTA for 20 min and allow to cool before testing.
IHC staining of FFPE human thyroid cancer tissue with MRE11 antibody. HIER: boil tissue sections in pH8 EDTA for 20 min and allow to cool before testing.
IHC staining of FFPE human placental tissue with MRE11 antibody. HIER: boil tissue sections in pH8 EDTA for 20 min and allow to cool before testing.
IHC staining of FFPE human laryngeal squamous cell carcinoma tissue with MRE11 antibody. HIER: boil tissue sections in pH8 EDTA for 20 min and allow to cool before testing.
IHC staining of FFPE human rectal cancer tissue with MRE11 antibody. HIER: boil tissue sections in pH8 EDTA for 20 min and allow to cool before testing.
Availability 1-3 business days
Species Reactivity Human, Mouse, Rat
Format Antigen affinity purified
Host Rabbit
Clonality Polyclonal (rabbit origin)
Isotype Rabbit IgG
Purity Antigen affinity purified
Buffer Lyophilized from 1X PBS with 2% Trehalose
UniProt P49959
Localization Nuclear
Applications Western Blot : 0.5-1ug/ml
Immunohistochemistry (FFPE) : 2-5ug/ml
Flow Cytometry : 1-3ug/million cells
Direct ELISA : 0.1-0.5ug/ml
Limitations This MRE11 antibody is available for research use only.
Review this product on BioCompare and get a $20 Amazon gift card

Related Products

Description

The MRE11 gene encodes a nuclear protein involved in homologous recombination, telomere length maintenance, and DNA double-strand break repair.

Application Notes

Optimal dilution of the MRE11 antibody should be determined by the researcher.

Immunogen

Recombinant human protein (amino acids E278-D498) was used as the immunogen for the MRE11 antibody.

Storage

After reconstitution, the MRE11 antibody can be stored for up to one month at 4oC. For long-term, aliquot and store at -20oC. Avoid repeated freezing and thawing.

Cross
Bulk Quote Request Form
Name*:
Organization*:
Email*:
Phone Number*:
Catalog No.*:
Comments and Specifics(amount, formulation, etc.)*:
Validation code: Captchapackage Image


Can't read the image? click here to refresh.
    *required field

Your bulk quote request has been submitted successfully!

Please contact us if you have any questions.