• Tel: 858.663.9055
  • SeparatorEmail: info@nsjbio.com
  • Tel: 858.663.9055
  • Email: info@nsjbio.com
Home >> Antibodies >> MPS1 Antibody / Metallopan-stimulin 1

MPS1 Antibody / Metallopan-stimulin 1 (R32561)

  Catalog No Formulation Size Price (USD)  
Image R32561 0.5mg/ml if reconstituted with 0.2ml sterile DI water 100 ug 449
Bulk quote request
Western blot testing of 1) rat spleen, 2) mouse liver and 3) human HeLa lysate with MPS1 antibody at 0.5ug/ml. Predicted/observed molecular weight ~10 kDa.
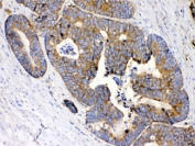
IHC testing of FFPE human intestine cancer tissue with MPS1 antibody at 1ug/ml. HIER: steam section in pH6 citrate buffer for 20 min.
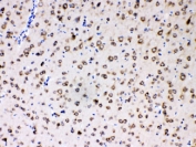
IHC testing of FFPE mouse brain with MPS1 antibody at 1ug/ml. HIER: steam section in pH6 citrate buffer for 20 min.
IHC testing of FFPE rat brain with MPS1 antibody at 1ug/ml. HIER: steam section in pH6 citrate buffer for 20 min.
Immunofluorescent staining of FFPE human U-2 OS cells with MPS1 antibody (green) at 2ug/ml and DAPI nuclear stain (blue). HIER: steam section in pH6 citrate buffer for 20 min.
Immunofluorescent staining of FFPE human ovarian cancer tissue with MPS1 antibody (red) at 1ug/ml and DAPI nuclear stain (blue). HIER: steam section in pH6 citrate buffer for 20 min.
Flow cytometry testing of human HeLa cells with MPS1 antibody at 1ug/10^6 cells (blocked with goat sera); Red=cells alone, Green=isotype control, Blue= MPS1 antibody.
Availability 1-3 business days
Species Reactivity Human, Mouse, Rat
Format Antigen affinity purified
Host Rabbit
Clonality Polyclonal (rabbit origin)
Isotype Rabbit IgG
Purity Antigen affinity
Buffer Lyophilized from 1X PBS with 2.5% BSA and 0.025% sodium azide
UniProt P42677
Localization Cytoplasmic, membranous
Applications Western Blot : 0.5-1ug/ml
Immunohistochemistry (FFPE) : 1-2ug/ml
Immunofluorescence : 1-3ug/ml
Immunocytochemistry : 1-3ug/ml
Flow Cytometry : 1-3ug/10^6 cells
Limitations This MPS1 antibody is available for research use only.
Review this product on BioCompare and get a $20 Amazon gift card

Related Products

Description

40S ribosomal protein S27, also known as Metallopan-stimulin 1 or MPS-1, is a protein that in humans is encoded by the RPS27 gene. Ribosomes, the organelles that catalyze protein synthesis, consist of a small 40S subunit and a large 60S subunit. Together these subunits are composed of 4 RNA species and approximately 80 structurally distinct proteins. This gene encodes a ribosomal protein that is a component of the 40S subunit. The protein belongs to the S27E family of ribosomal proteins. It contains a C4-type zinc finger domain that can bind to zinc. The encoded protein has been shown to be able to bind to nucleic acid. It is located in the cytoplasm as a ribosomal component, but it has also been detected in the nucleus. Studies in rat indicate that ribosomal protein S27 is located near ribosomal protein S18 in the 40S subunit and is covalently linked to translation initiation factor eIF3. As is typical for genes encoding ribosomal proteins, there are multiple processed pseudogenes of this gene dispersed through the genome.

Application Notes

Differences in protocols and secondary/substrate sensitivity may require the MPS1 antibody to be titrated for optimal performance.

Immunogen

Amino acids P2-H84 from the human protein were used as the immunogen for the MPS1 antibody.

Storage

After reconstitution, the MPS1 antibody can be stored for up to one month at 4oC. For long-term, aliquot and store at -20oC. Avoid repeated freezing and thawing.

Cross
Bulk Quote Request Form
Name*:
Organization*:
Email*:
Phone Number*:
Catalog No.*:
Comments and Specifics(amount, formulation, etc.)*:
Validation code: Captchapackage Image


Can't read the image? click here to refresh.
    *required field

Your bulk quote request has been submitted successfully!

Please contact us if you have any questions.