- Tel: 858.663.9055
- 
									 Email: info@nsjbio.com Email: info@nsjbio.com
- Tel: 858.663.9055
- Email: info@nsjbio.com
 Email: info@nsjbio.com
Email: info@nsjbio.com
								Related Products
| 
 | 
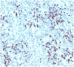
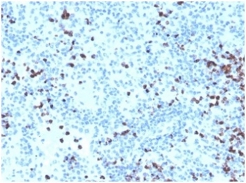
The heme protein myeloperoxidase (MPO) is a major component of azurophilicgranules of neutrophils and polymorphonuclear leukocytes. Optimal oxygen-dependent microbiocidal activity depends on MPO as the critical enzyme forthe generation of hypochlorous acid and other toxic oxygen products. TheMPO precursor is synthesized during the promyelocytic stage of myeloid dif-ferentiation and is subsequently processed and transported intracellularly tothe lysosomes. The precursor undergoes cotranslational N-linked glycosyla-tion to produce a glycoprotein. Glucosidases in the endoplasmic reticulum(ER) or early cisGolgi convert the pro-MPO to a form which is sorted into aprelysosomal compartment, which undergoes final proteolytic maturation tonative MPO, a pair of heavy-light protomers. In normal neutrophils, MPO isexpressed as a dimer. Calreticulin, a calcium-binding protein residing in theER, interacts specifically with fully glycosylated apopro-MPO. iMPO mRNA isabundant in human promyelocytic HL-60 and mouse myeloid leukemia NFS-60cells. MPO is expressed at high levels in circulating neutrophils and mono-cytes but is not detectable in microglia, brain-specific macrophages or normalbrain tissue.MPO, which has a molecular weight of approximately 140 kD, is homodimer that can be split into two halves that still have enzymatic activity. These hemi-MPOmonomersconsist of a 59-kD alpha chainand a 13.5-kD beta chain.
Optimal dilution of the Myeloperoxidase antibody should be determined by the researcher.
A portion of amino acids 150-250 of human Myeloperoxidase protein was used as the immunogen for the Myeloperoxidase antibody.
Aliquot the Myeloperoxidase antibody and store frozen at -20oC or colder. Avoid repeated freeze-thaw cycles.
 
Your bulk quote request has been submitted successfully!
Please contact us if you have any questions.