• Tel: 858.663.9055
  • SeparatorEmail: info@nsjbio.com
  • Tel: 858.663.9055
  • Email: info@nsjbio.com
Home >> Antibodies >> MPIF-1 Antibody / CCL23 / Myeloid Progenitor Inhibitory Factor 1

MPIF-1 Antibody / CCL23 / Myeloid Progenitor Inhibitory Factor 1 [clone CCL23/4036] (V4467)

  Catalog No Formulation Size Price (USD)  
Image V4467-100UG 0.2 mg/ml in 1X PBS with 0.1 mg/ml BSA (US sourced), 0.05% sodium azide 100 ug 559
Image
V4467-20UG 0.2 mg/ml in 1X PBS with 0.1 mg/ml BSA (US sourced), 0.05% sodium azide 20 ug 259
Image
V4467SAF-100UG 1 mg/ml in 1X PBS; BSA free, sodium azide free 100 ug 559
Microvalidated
Bulk quote request
Analysis of a HuProt(TM) microarray containing more than 19,000 full-length human proteins using MPIF-1 antibody (clone CCL23/4036). Z- and S- Score: The Z-score represents the strength of a signal that a monoclonal antibody (in combination with a fluorescently-tagged anti-IgG secondary antibody) produces when binding to a particular protein on the HuProt(TM) array. Z-scores are described in units of standard deviations (SD's) above the mean value of all signals generated on that array. If targets on HuProt(TM) are arranged in descending order of the Z-score, the S-score is the difference (also in units of SD's) between the Z-score. S-score therefore represents the relative target specificity of a mAb to its intended target. A mAb is considered to specific to its intended target, if the mAb has an S-score of at least 2.5. For example, if a mAb binds to protein X with a Z-score of 43 and to protein Y with a Z-score of 14, then the S-score for the binding of that mAb to protein X is equal to 29.
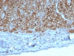
IHC staining of FFPE human adrenal gland tissue with MPIF-1 antibody (clone CCL23/4036). HIER: boil tissue sections in pH 9 10mM Tris with 1mM EDTA for 20 min and allow to cool before testing.
SDS-PAGE analysis of purified, BSA-free MPIF-1 antibody (clone CCL23/4036) as confirmation of integrity and purity.
Availability 1-3 business days
Species Reactivity Human
Format Purified
Host Mouse
Clonality Monoclonal (mouse origin)
Isotype Mouse IgG2c, kappa
Clone Name CCL23/4036
Purity Protein A/G affinity
UniProt P55773
Localization Secreted
Applications Immunohistochemistry (FFPE) : 1-2ug/ml for 30 minutes at RT
Limitations This MPIF-1 antibody is available for research use only.
Review this product on BioCompare and get a $20 Amazon gift card

Related Products

Description

Small inducible cytokine A23 precursor (CCL23), also called CK-b-8 and Myeloid Progenitor Inhibitory Factor 1 (MPIF-1), is a chemokine that binds to the receptor CCR1. It is involved in the immune response and inhibits production of polymorphonuclear leukocytes (PMNs) and monocytes in bone marrow.

Application Notes

Optimal dilution of the MPIF-1 antibody should be determined by the researcher.

Immunogen

A recombinant partial protein sequence (within amino acids 1-120) from the human protein was used as the immunogen for the MPIF-1 antibody.

Storage

Aliquot the MPIF-1 antibody and store frozen at -20oC or colder. Avoid repeated freeze-thaw cycles.

Cross
Bulk Quote Request Form
Name*:
Organization*:
Email*:
Phone Number*:
Catalog No.*:
Comments and Specifics(amount, formulation, etc.)*:
Validation code: Captchapackage Image


Can't read the image? click here to refresh.
    *required field

Your bulk quote request has been submitted successfully!

Please contact us if you have any questions.