• Tel: 858.663.9055
  • SeparatorEmail: info@nsjbio.com
  • Tel: 858.663.9055
  • Email: info@nsjbio.com
Home >> Antibodies >> MPI Antibody / Mannose Phosphate Isomerase

MPI Antibody / Mannose Phosphate Isomerase (R32582)

  Catalog No Formulation Size Price (USD)  
Image R32582 0.5mg/ml if reconstituted with 0.2ml sterile DI water 100 ug 449
Bulk quote request
Western blot testing of 1) rat testis and 2) human HeLa lysate with MPI antibody at 0.5ug/ml. Predicted molecular weight ~47 kDa.
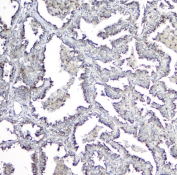
IHC staining of FFPE human intestinal cancer with MPI antibody at 1ug/ml. HIER: boil tissue sections in pH6, 10mM citrate buffer, for 10-20 min followed by cooling at RT for 20 min.
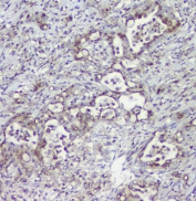
IHC staining of FFPE human lung cancer with MPI antibody at 1ug/ml. HIER: boil tissue sections in pH6, 10mM citrate buffer, for 10-20 min followed by cooling at RT for 20 min.
IHC staining of FFPE rat brain with MPI antibody at 1ug/ml. HIER: boil tissue sections in pH6, 10mM citrate buffer, for 10-20 min followed by cooling at RT for 20 min.
Western blot testing of 1) rat ovary and 2) mouse lung lysate with MPI antibody at 0.5ug/ml. Predicted molecular weight ~47 kDa.
Flow cytometry testing of human A549 cells with MPI antibody at 1ug/10^6 cells (blocked with goat sera); Red=cells alone, Green=isotype control, Blue= MPI antibody.
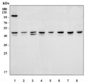
Western blot testing of 1) human HeLa, 2) human Caco-2, 3) human HEK293, 4) rat brain, 5) rat lung, 6) rat heart, 7) mouse brain and 8) mouse lung tissue lysate with MPI antibody at 0.5ug/ml. Predicted molecular weight ~47 kDa.
Availability 1-3 business days
Species Reactivity Human, Mouse, Rat
Format Antigen affinity purified
Host Rabbit
Clonality Polyclonal (rabbit origin)
Isotype Rabbit IgG
Purity Antigen affinity
Buffer Lyophilized from 1X PBS with 2% Trehalose and 0.025% sodium azide
UniProt P34949
Localization Cytoplasmic
Applications Western Blot : 0.5-1ug/ml
Immunohistochemistry (FFPE) : 1-2ug/ml
Flow Cytometry : 1-3ug/10^6 cells
Limitations This MPI antibody is available for research use only.
Review this product on BioCompare and get a $20 Amazon gift card

Related Products

Description

Mannose-6 phosphate isomerase (MPI), also called Phosphomannose isomerase (PMI), is an enzyme which facilitates the interconversion of fructose 6-phosphate (F6P) and mannose-6-phosphate (M6P). It also plays a critical role in maintaining the supply of D-mannose derivatives, which are required for most glycosylation reactions. Mutations in the MPI gene were found in patients with carbohydrate-deficient glycoprotein syndrome, type Ib. Alternative splicing results in multiple transcript variants. This MPI gene is mapped to 15q24.1.

Application Notes

Optimal dilution of the MPI antibody should be determined by the researcher.

Immunogen

A human recombinant protein corresponding to amino acids A2-K99 was used as the immunogen for the MPI antibody.

Storage

After reconstitution, the MPI antibody can be stored for up to one month at 4oC. For long-term, aliquot and store at -20oC. Avoid repeated freezing and thawing.

Cross
Bulk Quote Request Form
Name*:
Organization*:
Email*:
Phone Number*:
Catalog No.*:
Comments and Specifics(amount, formulation, etc.)*:
Validation code: Captchapackage Image


Can't read the image? click here to refresh.
    *required field

Your bulk quote request has been submitted successfully!

Please contact us if you have any questions.