• Tel: 858.663.9055
  • SeparatorEmail: info@nsjbio.com
  • Tel: 858.663.9055
  • Email: info@nsjbio.com
Home >> Antibodies >> MOX-2 Antibody / MEOX2

MOX-2 Antibody / MEOX2 (F54721)

  Catalog No Formulation Size Price (USD)  
Image F54721-0.4ML In 1X PBS, pH 7.4, with 0.09% sodium azide 0.4 ml 439
Image
F54721-0.08ML In 1X PBS, pH 7.4, with 0.09% sodium azide 0.08 ml 205
Bulk quote request
Western blot testing of human MCF7 cell lysate with MOX-2 antibody. Predicted molecular weight ~34 kDa.
IHC testing of FFPE human uterus tissue with MOX-2 antibody. HIER: steam section in pH9 EDTA for 20 min and allow to cool prior to staining.
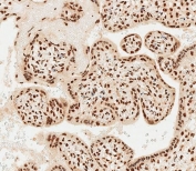
IHC testing of FFPE human placenta tissue with MOX-2 antibody. HIER: steam section in pH9 EDTA for 20 min and allow to cool prior to staining.
Immunofluorescent staining of fixed and permeabilized mouse NIH 3T3 cells with MOX-2 antibody (green) and anti-Actin (red).
Availability 1-3 business days
Species Reactivity Human
Format Purified
Host Rabbit
Clonality Polyclonal (rabbit origin)
Isotype Rabbit Ig
Purity Antigen affinity purified
UniProt P50222
Localization Nuclear
Applications Immunohistochemistry (FFPE) : 1:25
Immunofluorescence : 1:25
Western Blot : 1:500-1:2000
Limitations This MOX-2 antibody is available for research use only.
Review this product on BioCompare and get a $20 Amazon gift card

Description

The MEOX2 gene encodes a member of a subfamily of non-clustered, diverged, antennapedia-like homeobox-containing genes. The encoded protein may play a role in the regulation of vertebrate limb myogenesis. Mutations in the related mouse protein may be associated with craniofacial and/or skeletal abnormalities, in addition to neurovascular dysfunction observed in Alzheimer's disease.

Application Notes

The stated application concentrations are suggested starting points. Titration of the MOX-2 antibody may be required due to differences in protocols and secondary/substrate sensitivity.

Immunogen

A portion of amino acids 164-192 from the human protein was used as the immunogen for the MOX-2 antibody.

Storage

Aliquot the MOX-2 antibody and store frozen at -20oC or colder. Avoid repeated freeze-thaw cycles.

Cross
Bulk Quote Request Form
Name*:
Organization*:
Email*:
Phone Number*:
Catalog No.*:
Comments and Specifics(amount, formulation, etc.)*:
Validation code: Captchapackage Image


Can't read the image? click here to refresh.
    *required field

Your bulk quote request has been submitted successfully!

Please contact us if you have any questions.