• Tel: 858.663.9055
  • SeparatorEmail: info@nsjbio.com
  • Tel: 858.663.9055
  • Email: info@nsjbio.com
Home >> Antibodies >> Monofunctional C1-tetrahydrofolate synthase Antibody / MTHFD1L

Monofunctional C1-tetrahydrofolate synthase Antibody / MTHFD1L (RQ6778)

  Catalog No Formulation Size Price (USD)  
Image RQ6778 0.5mg/ml if reconstituted with 0.2ml sterile DI water 100 ug 449
Bulk quote request
Immunofluorescent staining of FFPE human U-2 OS cells with Monofunctional C1-tetrahydrofolate synthase antibody (green) and DAPI nuclear stain (blue). HIER: steam section in pH6 citrate buffer for 20 min.
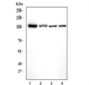
Western blot testing of 1) human HeLa, 2) human K562, 3) rat brain and 4) mouse brain tissue lysate with Monofunctional C1-tetrahydrofolate synthase antibody. Predicted molecular weight ~106 kDa.
Flow cytometry testing of fixed and permeabilized human HEL cells with Monofunctional C1-tetrahydrofolate synthase antibody at 1ug/million cells (blocked with goat sera); Red=cells alone, Green=isotype control, Blue= Monofunctional C1-tetrahydrofolate synthase antibody.
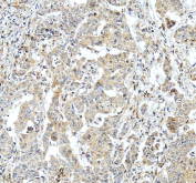
IHC staining of FFPE human liver cancer tissue with Monofunctional C1-tetrahydrofolate synthase antibody, HRP-secondary and DAB substrate. HIER: boil tissue sections in pH8 EDTA for 20 min and allow to cool before testing.
Availability 1-3 business days
Species Reactivity Human, Mouse, Rat
Format Antigen affinity purified
Host Rabbit
Clonality Polyclonal (rabbit origin)
Isotype Rabbit IgG
Purity Antigen affinity purified
Buffer Lyophilized from 1X PBS with 2% Trehalose
UniProt Q6UB35
Applications Western Blot : 1-2ug/ml
Immunofluorescence (FFPE) : 5ug/ml
Flow Cytometry : 1-3ug/million cells
Direct ELISA : 0.1-0.5ug/ml
Immunohistochemistry (FFPE) : 2-5ug/ml
Limitations This Monofunctional C1-tetrahydrofolate synthase antibody is available for research use only.
Review this product on BioCompare and get a $20 Amazon gift card

Related Products

  • Applications : WB, IHC-P, ELISA (peptide)
    Reactivity : Human, Mouse, Rat
    Pred. Reactivity : Cow

Description

MTHFD1L (Monofunctional C1-tetrahydrofolate synthase, mitochondrial) is an enzyme that plays a critical role in folate-mediated one-carbon metabolism. It catalyzes the ATP-dependent conversion of formate and tetrahydrofolate into 10-formyltetrahydrofolate, a key donor of one-carbon units used in purine nucleotide biosynthesis and formylation reactions. This function places MTHFD1L at the center of cellular growth and proliferation pathways. Researchers often use a Monofunctional C1-tetrahydrofolate synthase antibody to study mitochondrial folate metabolism, nucleotide biosynthesis, and metabolic regulation.

Monofunctional C1-tetrahydrofolate synthase is localized in mitochondria and is distinct from its cytoplasmic counterpart, MTHFD1. By contributing to the mitochondrial one-carbon cycle, MTHFD1L supports cellular nucleotide pools and energy metabolism. It is particularly important during embryonic development, where rapidly proliferating cells demand high levels of nucleotide synthesis. Employing a Monofunctional C1-tetrahydrofolate synthase antibody allows scientists to examine enzyme localization, regulation, and its role in developmental and metabolic contexts.

Genetic variants in the MTHFD1L gene have been associated with neural tube defects and other congenital abnormalities, highlighting its significance in developmental biology. Dysregulation of mitochondrial one-carbon metabolism has also been linked to cancer, cardiovascular disease, and metabolic syndromes. Studying Monofunctional C1-tetrahydrofolate synthase with a Monofunctional C1-tetrahydrofolate synthase antibody provides a valuable tool for exploring how alterations in folate metabolism contribute to human disease and for evaluating potential therapeutic interventions.

NSJ Bioreagents offers a high-quality Monofunctional C1-tetrahydrofolate synthase antibody validated for applications such as western blot, immunohistochemistry, and immunofluorescence. Choosing a Monofunctional C1-tetrahydrofolate synthase antibody from NSJ Bioreagents ensures reproducible detection and consistent performance in studies of one-carbon metabolism, nucleotide synthesis, and mitochondrial biology.

Application Notes

Optimal dilution of the Monofunctional C1-tetrahydrofolate synthase antibody should be determined by the researcher.

Immunogen

Recombinant human protein (amino acids R43-V833) was used as the immunogen for the Monofunctional C1-tetrahydrofolate synthase antibody.

Storage

After reconstitution, the Monofunctional C1-tetrahydrofolate synthase antibody can be stored for up to one month at 4oC. For long-term, aliquot and store at -20oC. Avoid repeated freezing and thawing.

Cross
Bulk Quote Request Form
Name*:
Organization*:
Email*:
Phone Number*:
Catalog No.*:
Comments and Specifics(amount, formulation, etc.)*:
Validation code: Captchapackage Image


Can't read the image? click here to refresh.
    *required field

Your bulk quote request has been submitted successfully!

Please contact us if you have any questions.