• Tel: 858.663.9055
  • SeparatorEmail: info@nsjbio.com
  • Tel: 858.663.9055
  • Email: info@nsjbio.com
Home >> Antibodies >> Monoamine Oxidase A Antibody

Monoamine Oxidase A Antibody (R30732)

  Catalog No Formulation Size Price (USD)  
Image R30732 0.5mg/ml if reconstituted with 0.2ml sterile DI water 100 ug 449
Bulk quote request
Western blot testing of Monoamine Oxidase A antibody and human placenta lysate. Predicted molecular weight: ~60 kDa.
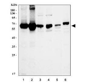
Western blot testing of 1) human RT4, 2) human placenta, 3) rat heart, 4) rat liver, 5) rat kidney and 6) mouse kidney lysate with Monoamine Oxidase A antibody. Predicted molecular weight: ~60 kDa.
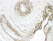
IHC-P: Monoamine Oxidase A antibody testing of human placenta tissue.
Availability 1-3 business days
Species Reactivity Human, Mouse, Rat
Format Antigen affinity purified
Host Rabbit
Clonality Polyclonal (rabbit origin)
Isotype Rabbit IgG
Purity Antigen affinity
Buffer Lyophilized from 1X PBS with 2.5% BSA and 0.025% sodium azide/thimerosal
UniProt P21397
Applications Western Blot : 0.5-1ug/ml
Immunohistochemistry (FFPE) : 0.5-1ug/ml
Limitations This Monoamine Oxidase A antibody is available for research use only.
Review this product on BioCompare and get a $20 Amazon gift card

Related Products

Description

Monoamine oxidase A is an enzyme that in humans is encoded by the MAOA gene. It is an isozyme of monoamine oxidase which is also mapped on Xp11.3. MAOA degrades amine neurotransmitters, such as dopamine, norepinephrine, and serotonin. The protein localizes to the outer mitochondrial membrane. Mutation in MAOA results in monoamine oxidase deficiency, or Brunner syndrome. In humans, there is a 30-base repeat sequence repeated in one of several different numbers of times in the promoter region of the gene coding for MAOA. MAOA levels in the brain as measured using positron emission tomography are elevated by an average of 34% in patients with major depressive disorder. Inhibition of the protein prevented apoptosis, and serum starvation of cortical brain cells from Maoa-deficient mice resulted in reduced apoptosis compared with wildtype mice.

Application Notes

The stated application concentrations are suggested starting amounts. Titration of the Monoamine Oxidase A antibody may be required due to differences in protocols and secondary/substrate sensitivity.

Immunogen

An amino acid sequence from the N-terminus of human Monoamine Oxidase A (RTYTIRNEHVDYVDVGGAY) was used as the immunogen for this Monoamine Oxidase A antibody.

Storage

After reconstitution, the Monoamine Oxidase A antibody can be stored for up to one month at 4oC. For long-term, aliquot and store at -20oC. Avoid repeated freezing and thawing.

Cross
Bulk Quote Request Form
Name*:
Organization*:
Email*:
Phone Number*:
Catalog No.*:
Comments and Specifics(amount, formulation, etc.)*:
Validation code: Captchapackage Image


Can't read the image? click here to refresh.
    *required field

Your bulk quote request has been submitted successfully!

Please contact us if you have any questions.