• Tel: 858.663.9055
  • SeparatorEmail: info@nsjbio.com
  • Tel: 858.663.9055
  • Email: info@nsjbio.com
Home >> Antibodies >> Moesin Antibody

Moesin Antibody [clone MSN/492] (V2718)

  Catalog No Formulation Size Price (USD)  
Image V2718-100UG 0.2 mg/ml in 1X PBS with 0.1 mg/ml BSA (US sourced) and 0.05% sodium azide 100 ug 559
Image
V2718-20UG 0.2 mg/ml in 1X PBS with 0.1 mg/ml BSA (US sourced) and 0.05% sodium azide 20 ug 259
Image
V2718SAF-100UG 1 mg/ml in 1X PBS; BSA free, sodium azide free 100 ug 559
Image
V2718IHC-7ML Prediluted in 1X PBS with 0.1 mg/ml BSA (US sourced) and 0.05% sodium azide; *For IHC use only* 7 ml 559
Bulk quote request
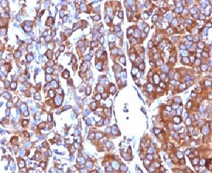
IHC: Formalin-fixed, paraffin-embedded human melanoma stained with Moesin antibody (MSN/492)
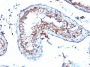
IHC: Formalin-fixed, paraffin-embedded human testicular carcinoma stained with Moesin antibody (MSN/492)
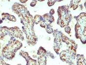
IHC: Formalin-fixed, paraffin-embedded human placenta stained with Moesin antibody (MSN/492)
Western blot testing of human Jurkat cell lysate with Moesin antibody (clone MSN/492). Predicted molecular weight ~68 kDa but routinely observed at 68-78 kDa.
Immunofluorescent staining of PFA-fixed human HeLa cells with Moesin antibody (clone MSN/492).
Flow cytometry testing of human K562 cells with Moesin antibody (clone MSN/492); Red=isotype control, Blue= Moesin antibody.
Western blot testing of human PC3 cell lysate with Moesin antibody (clone MSN/492). Predicted molecular weight ~68 kDa but routinely observed at 68-78 kDa.
SDS-PAGE analysis of purified, BSA-free Moesin antibody (clone MSN/492) as confirmation of integrity and purity.
Availability 1-3 business days
Species Reactivity Human
Format Purified
Host Mouse
Clonality Monoclonal (mouse origin)
Isotype Mouse IgG1, kappa
Clone Name MSN/492
Purity Protein G affinity chromatography
UniProt P26038
Localization Cytoplasmic & cell surface
Applications Flow Cytometry : 1-2ug/million cells
Immunofluorescence : 1-2ug/ml
Western Blot : 1-2ug/ml
Immunohistochemistry (FFPE) : 1-2ug/ml for 30 min at RT
Limitations This Moesin antibody is available for research use only.
Review this product on BioCompare and get a $20 Amazon gift card

Related Products

  • Applications : FACS, IF, WB, IHC-P
    Reactivity : Human
    Recmousemono
  • Applications : FACS, IF, WB, IHC-P
    Reactivity : Human
  • Applications : IHC-P, WB, IF
    Reactivity : Human
  • Applications : FACS, IF, IHC-P, WB
    Reactivity : Human
  • Applications : FACS, IF, WB, IHC-P
    Reactivity : Human, Rat
  • Applications : WB, ELISA (peptide)
    Reactivity : Human, Mouse
    Pred. Reactivity : Rat, Dog
  • Applications : WB, Direct ELISA
    Reactivity : Human, Mouse, Rat

Description

Recognizes 78kDa moesin protein. Moesin, a member of the talin-4.1 superfamily, is a linking protein of the sub-membranous actin cytoskeleton. It is expressed in variable amounts in cells of different phenotypes such as macrophages, lymphocytes, fibroblastic, endothelial, epithelial, and neuronal cell lines but not in blood cells. The ERM proteins, ezrin, radixin, and moesin are involved in a variety of cellular functions, such as cell adhesion, migration, and the organization of cell surface structures, and are highly homologous, both in protein sequence and in functional activity, with merlin/schwannomin, a neurofibromatosis-2-associated tumor-suppressor protein. Cell lines of epithelial and mesothelial origin contain both moesin and radixin whereas cells of endothelial and lymphoid origin express moesin.

Application Notes

Optimal dilution of the Moesin antibody should be determined by the researcher.

1. Staining of formalin-fixed tissues requires boiling tissue sections in 10mM Citrate buffer, pH 6.0, for 10-20 min followed by cooling at RT for 20 min
2. The prediluted format is supplied in a dropper bottle and is optimized for use in IHC. After epitope retrieval step (if required), drip mAb solution onto the tissue section and incubate at RT for 30 min.

Immunogen

Recombinant full-length human protein was used as the immunogen for the Moesin antibody.

Storage

Store the Moesin antibody at 2-8oC (with azide) or aliquot and store at -20oC or colder (without azide).

Cross
Bulk Quote Request Form
Name*:
Organization*:
Email*:
Phone Number*:
Catalog No.*:
Comments and Specifics(amount, formulation, etc.)*:
Validation code: Captchapackage Image


Can't read the image? click here to refresh.
    *required field

Your bulk quote request has been submitted successfully!

Please contact us if you have any questions.