• Tel: 858.663.9055
  • SeparatorEmail: info@nsjbio.com
  • Tel: 858.663.9055
  • Email: info@nsjbio.com
Home >> Antibodies >> Modulator of apoptosis 1 Antibody / MOAP1 / MAP-1

Modulator of apoptosis 1 Antibody / MOAP1 / MAP-1 (RQ8366)

  Catalog No Formulation Size Price (USD)  
Image RQ8366 0.5mg/ml if reconstituted with 0.2ml sterile DI water 100 ug 449
Bulk quote request
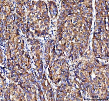
IHC staining of FFPE human liver cancer tissue with Modulator of apoptosis 1 antibody. HIER: boil tissue sections in pH8 EDTA for 20 min and allow to cool before testing.
IHC staining of FFPE human glioma tissue with Modulator of apoptosis 1 antibody. HIER: boil tissue sections in pH8 EDTA for 20 min and allow to cool before testing.
Western blot testing of human RT4 cell lysate with Modulator of apoptosis 1 antibody. Predicted molecular weight ~40 kDa, commonly observed at 35-40 kDa.
Flow cytometry testing of fixed and permeabilized human U-251 cells with Modulator of apoptosis 1 antibody at 1ug/million cells (blocked with goat sera); Red=cells alone, Green=isotype control, Blue= Modulator of apoptosis 1 antibody.
Availability 1-3 business days
Species Reactivity Human
Format Antigen affinity purified
Host Rabbit
Clonality Polyclonal (rabbit origin)
Isotype Rabbit IgG
Purity Antigen affinity purified
Buffer Lyophilized from 1X PBS with 2% Trehalose
UniProt Q96BY2
Localization Cytoplasm
Applications Western Blot : 0.5-1ug/ml
Immunohistochemistry (FFPE) : 2-5ug/ml
Flow Cytometry : 1-3ug/million cells
ELISA : 0.1-0.5ug/ml
Limitations This Modulator of apoptosis 1 antibody is available for research use only.
Review this product on BioCompare and get a $20 Amazon gift card

Description

Modulator of apoptosis 1 is a protein that in humans is encoded by the MOAP1 gene. The protein encoded by this gene was identified by its interaction with apoptosis regulator BAX protein. This protein contains a Bcl-2 homology 3 (BH3)-like motif, which is required for the association with BAX. When overexpressed, this gene has been shown to mediate caspase-dependent apoptosis.

Application Notes

Optimal dilution of the Modulator of apoptosis 1 antibody should be determined by the researcher.

Immunogen

An E.coli-derived human recombinant protein (R18-L341) was used as the immunogen for the Modulator of apoptosis 1 antibody.

Storage

After reconstitution, the Modulator of apoptosis 1 antibody can be stored for up to one month at 4oC. For long-term, aliquot and store at -20oC. Avoid repeated freezing and thawing.

Cross
Bulk Quote Request Form
Name*:
Organization*:
Email*:
Phone Number*:
Catalog No.*:
Comments and Specifics(amount, formulation, etc.)*:
Validation code: Captchapackage Image


Can't read the image? click here to refresh.
    *required field

Your bulk quote request has been submitted successfully!

Please contact us if you have any questions.