• Tel: 858.663.9055
  • SeparatorEmail: info@nsjbio.com
  • Tel: 858.663.9055
  • Email: info@nsjbio.com
Home >> Antibodies >> MOCS1 Antibody / Molybdenum cofactor biosynthesis protein 1

MOCS1 Antibody / Molybdenum cofactor biosynthesis protein 1 (RQ8360)

  Catalog No Formulation Size Price (USD)  
Image RQ8360 0.5mg/ml if reconstituted with 0.2ml sterile DI water 100 ug 449
Bulk quote request
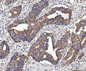
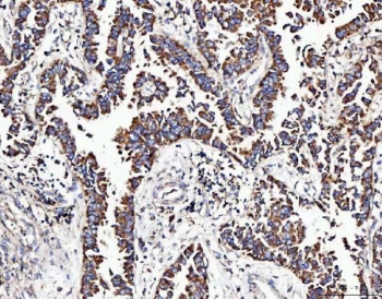
IHC staining of FFPE human breast cancer tissue with MOCS1 antibody. HIER: boil tissue sections in pH8 EDTA for 20 min and allow to cool before testing.
IHC staining of FFPE human colorectal adenocarcinoma tissue with MOCS1 antibody. HIER: boil tissue sections in pH8 EDTA for 20 min and allow to cool before testing.
IHC staining of FFPE human liver cancer tissue with MOCS1 antibody. HIER: boil tissue sections in pH8 EDTA for 20 min and allow to cool before testing.
IHC staining of FFPE human testicular germ cell tumor tissue with MOCS1 antibody. HIER: boil tissue sections in pH8 EDTA for 20 min and allow to cool before testing.
Immunofluorescent staining of FFPE human HepG2 cells with MOCS1 antibody (red) and DAPI nuclear stain (blue). HIER: steam section in pH6 citrate buffer for 20 min.
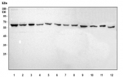
Western blot testing of 1) human HepG2, 2) human Jurkat, 3) human Caco-2, 4) human K562, 5) human U-2 OS, 6) human 293T, 7) human SH-SY5Y, 8) human RT4, 9) rat liver, 10) rat PC-12, 11) mouse liver and 12) mouse RAW264.7 cell lysate with MOCS1 antibody. Predicted molecular weight ~70 kDa.
Flow cytometry testing of fixed and permeabilized human K562 cells with MOCS1 antibody at 1ug/million cells (blocked with goat sera); Red=cells alone, Green=isotype control, Blue= MOCS1 antibody.
Availability 1-3 business days
Species Reactivity Human, Mouse, Rat
Format Antigen affinity purified
Host Rabbit
Clonality Polyclonal (rabbit origin)
Isotype Rabbit IgG
Purity Antigen affinity purified
Buffer Lyophilized from 1X PBS with 2% Trehalose
UniProt Q9NZB8
Localization Cytoplasmic, nuclear
Applications Western Blot : 0.5-1ug/ml
Immunohistochemistry (FFPE) : 2-5ug/ml
Immunofluorescence : 5ug/ml
Flow Cytometry : 1-3ug/million cells
ELISA : 0.1-0.5ug/ml
Limitations This MOCS1 antibody is available for research use only.
Review this product on BioCompare and get a $20 Amazon gift card

Related Products

Description

Molybdenum cofactor biosynthesis protein 1 is a protein that in humans and other animals, fungi, and cellular slime molds, is encoded by the MOCS1 gene. Molybdenum cofactor biosynthesis is a conserved pathway leading to the biological activation of molybdenum. The protein encoded by this gene is involved in this pathway. This gene was originally thought to produce a bicistronic mRNA with the potential to produce two proteins (MOCS1A and MOCS1B) from adjacent open reading frames. However, only the first open reading frame (MOCS1A) has been found to encode a protein from the putative bicistronic mRNA, whereas additional splice variants are likely to produce a fusion between the two open reading frames. This gene is defective in patients with molybdenum cofactor deficiency, type A. A related pseudogene has been identified on chromosome 16.

Application Notes

Optimal dilution of the MOCS1 antibody should be determined by the researcher.

Immunogen

An E.coli-derived human recombinant protein (E52-R84) was used as the immunogen for the MOCS1 antibody.

Storage

After reconstitution, the MOCS1 antibody can be stored for up to one month at 4oC. For long-term, aliquot and store at -20oC. Avoid repeated freezing and thawing.

Cross
Bulk Quote Request Form
Name*:
Organization*:
Email*:
Phone Number*:
Catalog No.*:
Comments and Specifics(amount, formulation, etc.)*:
Validation code: Captchapackage Image


Can't read the image? click here to refresh.
    *required field

Your bulk quote request has been submitted successfully!

Please contact us if you have any questions.