• Tel: 858.663.9055
  • SeparatorEmail: info@nsjbio.com
  • Tel: 858.663.9055
  • Email: info@nsjbio.com
Home >> Antibodies >> MOB kinase activator 1A Antibody / MOB1A / MOBKL1B

MOB kinase activator 1A Antibody / MOB1A / MOBKL1B (F54922)

  Catalog No Formulation Size Price (USD)  
Image F54922-0.4ML In 1X PBS, pH 7.4, with 0.09% sodium azide 0.4 ml 439
Image
F54922-0.08ML In 1X PBS, pH 7.4, with 0.09% sodium azide 0.08 ml 205
Bulk quote request
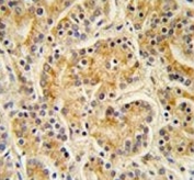
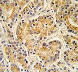
IHC testing of FFPE human prostate carcinoma tissue with MOB kinase activator 1A antibody. HIER: steam section in pH6 citrate buffer for 20 min and allow to cool prior to staining.
Western blot testing of human A2058 cell lysate with MOB kinase activator 1A antibody. Predicted molecular weight ~25 kDa.
Western blot testing of 1) non-transfected and 2) transfected 293 cell lysate with MOB kinase activator 1A antibody.
Flow cytometry testing of human A2058 cells with MOB kinase activator 1A antibody; Blue=isotype control, Green= MOB kinase activator 1A antibody.
Availability 1-3 business days
Species Reactivity Human
Format Purified
Host Rabbit
Clonality Polyclonal (rabbit origin)
Isotype Rabbit Ig
Purity Purified
UniProt Q9H8S9
Localization Cytoplasmic, nuclear, extracellular
Applications Flow Cytometry : 1:10-1:50 (1x10e6 cells)
Western Blot : 1:500-1:1000
Immunohistochemistry (FFPE) : 1:50-1:100
Limitations This MOB kinase activator 1A antibody is available for research use only.
Review this product on BioCompare and get a $20 Amazon gift card

Description

MOB1A / MOBKL1B stimulates the kinase activity of STK38 and STK38L.

Application Notes

The stated application concentrations are suggested starting points. Titration of the MOB kinase activator 1A antibody may be required due to differences in protocols and secondary/substrate sensitivity.

Immunogen

A portion of amino acids 188-216 from the human protein was used as the immunogen for the MOB kinase activator 1A antibody.

Storage

Aliquot the MOB kinase activator 1A antibody and store frozen at -20oC or colder. Avoid repeated freeze-thaw cycles.

Cross
Bulk Quote Request Form
Name*:
Organization*:
Email*:
Phone Number*:
Catalog No.*:
Comments and Specifics(amount, formulation, etc.)*:
Validation code: Captchapackage Image


Can't read the image? click here to refresh.
    *required field

Your bulk quote request has been submitted successfully!

Please contact us if you have any questions.