• Tel: 858.663.9055
  • SeparatorEmail: info@nsjbio.com
  • Tel: 858.663.9055
  • Email: info@nsjbio.com
Home >> Antibodies >> MNAT1 Antibody

MNAT1 Antibody (R32131)

  Catalog No Formulation Size Price (USD)  
Image R32131 0.5mg/ml if reconstituted with 0.2ml sterile DI water 100 ug 449
Bulk quote request
Immunofluorescent staining of FFPE human A431 cells with MNAT1 antibody (green) and DAPI nuclear stain (blue). HIER: steam section in pH6 citrate buffer for 20 min.
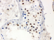
IHC testing of FFPE human testis with MNAT1 antibody. HIER: Boil the paraffin sections in pH 6, 10mM citrate buffer for 20 minutes and allow to cool prior to staining.
IHC testing of FFPE mouse testis with MNAT1 antibody. HIER: Boil the paraffin sections in pH 6, 10mM citrate buffer for 20 minutes and allow to cool prior to staining.
IHC testing of FFPE rat testis with MNAT1 antibody. HIER: Boil the paraffin sections in pH 6, 10mM citrate buffer for 20 minutes and allow to cool prior to staining.
Western blot testing of 1) human HeLa, 2) human A431, 3) human A375, 4) human MCF7, 5) rat testis, 6) rat L6, 7) mouse testis and 8) mouse NIH 3T3 cell lysate with MNAT1 antibody. Expected molecular weight ~36 kDa.
Flow cytometry testing of human A431 cells with MNAT1 antibody at 1ug/million cells (blocked with goat sera); Red=cells alone, Green=isotype control, Blue= MNAT1 antibody.
Availability 1-3 business days
Species Reactivity Human, Mouse, Rat
Format Antigen affinity purified
Host Rabbit
Clonality Polyclonal (rabbit origin)
Isotype Rabbit IgG
Purity Antigen affinity
Buffer Lyophilized from 1X PBS with 2.5% BSA and 0.025% sodium azide
UniProt P51948
Localization Nuclear
Applications Western Blot : 0.5-1ug/ml
Immunohistochemistry (FFPE) : 1-2ug/ml
Immunofluorescence (FFPE) : 5ug/ml
Flow Cytometry : 1-3ug/million cells
Limitations This MNAT1 antibody is available for research use only.
Review this product on BioCompare and get a $20 Amazon gift card

Related Products

Description

CDK-activating kinase assembly factor MAT1 is an enzyme that in humans is encoded by the MNAT1 gene. The protein encoded by this gene, along with cyclin H and CDK7, forms the CDK-activating kinase (CAK) enzymatic complex. This complex activates several cyclin-associated kinases and can also associate with TFIIH to activate transcription by RNA polymerase II. Two transcript variants encoding different isoforms have been found for this gene.

Application Notes

Optimal dilution of the MNAT1 antibody should be determined by the researcher.

Immunogen

Amino acids 92-278 of human MNAT1 were used as the immunogen for the MNAT1 antibody.

Storage

After reconstitution, the MNAT1 antibody can be stored for up to one month at 4oC. For long-term, aliquot and store at -20oC. Avoid repeated freezing and thawing.

Cross
Bulk Quote Request Form
Name*:
Organization*:
Email*:
Phone Number*:
Catalog No.*:
Comments and Specifics(amount, formulation, etc.)*:
Validation code: Captchapackage Image


Can't read the image? click here to refresh.
    *required field

Your bulk quote request has been submitted successfully!

Please contact us if you have any questions.