• Tel: 858.663.9055
  • SeparatorEmail: info@nsjbio.com
  • Tel: 858.663.9055
  • Email: info@nsjbio.com
Home >> Antibodies >> MMS19 Antibody

MMS19 Antibody (RQ8332)

  Catalog No Formulation Size Price (USD)  
Image RQ8332 0.5mg/ml if reconstituted with 0.2ml sterile DI water 100 ug 449
Bulk quote request
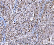
IHC staining of FFPE human colorectal adenocarcinoma tissue with MMS19 antibody. HIER: boil tissue sections in pH8 EDTA for 20 min and allow to cool before testing.
IHC staining of FFPE human bladder urothelial carcinoma tissue with MMS19 antibody. HIER: boil tissue sections in pH8 EDTA for 20 min and allow to cool before testing.
IHC staining of FFPE human placental tissue with MMS19 antibody. HIER: boil tissue sections in pH8 EDTA for 20 min and allow to cool before testing.
Immunofluorescent staining of FFPE human HeLa cells with MMS19 antibody (red). HIER: steam section in pH6 citrate buffer for 20 min.
Western blot testing of 1) human Caco-2 and 2) mouse brain tissue lysate with MMS19 antibody. Predicted molecular weight ~113 kDa (multiple isoforms).
Flow cytometry testing of fixed and permeabilized human HeLa cells with MMS19 antibody at 1ug/million cells (blocked with goat sera); Red=cells alone, Green=isotype control, Blue= MMS19 antibody.
Availability 1-3 business days
Species Reactivity Human, Mouse
Format Antigen affinity purified
Host Rabbit
Clonality Polyclonal (rabbit origin)
Isotype Rabbit IgG
Purity Antigen affinity purified
Buffer Lyophilized from 1X PBS with 2% Trehalose
UniProt Q96T76
Localization Nuclear, cytoplasmic
Applications Western Blot : 0.5-1ug/ml
Immunohistochemistry (FFPE) : 2-5ug/ml
Immunofluorescence : 5ug/ml
Flow Cytometry : 1-3ug/million cells
ELISA : 0.1-0.5ug/ml
Limitations This MMS19 antibody is available for research use only.
Review this product on BioCompare and get a $20 Amazon gift card

Description

MMS19 nucleotide excision repair protein homolog is a protein that in humans is encoded by the MMS19 gene. MMS19 (MMS19 nucleotide excision repair homolog), also known as MET18, is a 1,030 amino acid nuclear protein containing seven HEAT repeats that belongs to the MET18/MMS19 family. Via its interactions with TFIIH p80 and TFIIH p89 helicases, MMS19 plays a role in nucleotide excision repair (NER) and RNA polymerase II (Pol II) transcription. MMS19 may also function as a transcriptional coactivator of estrogen receptor. While ubiquitously expressed, highest levels of MMS19 have been found in testis. At least five distinct MMS19 protein isoforms exist, which are produced by alternative splicing events.

Application Notes

Optimal dilution of the MMS19 antibody should be determined by the researcher.

Immunogen

An E.coli-derived human recombinant protein (E239-R998) was used as the immunogen for the MMS19 antibody.

Storage

After reconstitution, the MMS19 antibody can be stored for up to one month at 4oC. For long-term, aliquot and store at -20oC. Avoid repeated freezing and thawing.

Cross
Bulk Quote Request Form
Name*:
Organization*:
Email*:
Phone Number*:
Catalog No.*:
Comments and Specifics(amount, formulation, etc.)*:
Validation code: Captchapackage Image


Can't read the image? click here to refresh.
    *required field

Your bulk quote request has been submitted successfully!

Please contact us if you have any questions.