• Tel: 858.663.9055
  • SeparatorEmail: info@nsjbio.com
  • Tel: 858.663.9055
  • Email: info@nsjbio.com
Home >> Antibodies >> MMP9 Antibody

MMP9 Antibody (R32092)

  Catalog No Formulation Size Price (USD)  
Image R32092 0.5mg/ml if reconstituted with 0.2ml sterile DI water 100 ug 449
Bulk quote request
Western blot testing of 1) rat NRK, 2) mouse ANA-1 and 3) mouse HEPA cell lysate with MMP9 antibody. Predicted molecular weight: 92/67-80 kDa (precursor/mature forms), observed here at ~78 kDa.
IHC testing of FFPE mouse kidney with MMP9 antibody. HIER: Boil the paraffin sections in pH 6, 10mM citrate buffer for 20 minutes and allow to cool prior to staining.
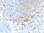
IHC testing of FFPE rat liver with MMP9 antibody. HIER: Boil the paraffin sections in pH 6, 10mM citrate buffer for 20 minutes and allow to cool prior to staining.
Availability 1-3 business days
Species Reactivity Mouse, Rat
Format Antigen affinity purified
Host Rabbit
Clonality Polyclonal (rabbit origin)
Isotype Rabbit IgG
Purity Antigen affinity
Buffer Lyophilized from 1X PBS with 2.5% BSA and 0.025% sodium azide
UniProt P41245
Localization Cytoplasmic, nuclear, secreted
Applications Western Blot : 0.1-0.5ug/ml
IHC (FFPE) : 0.5-1ug/ml
ELISA : 0.1-0.5ug/ml (mouse protein tested); request BSA-free format for coating
Limitations This MMP9 antibody is available for research use only.
Review this product on BioCompare and get a $20 Amazon gift card

Related Products

Description

Matrix metallopeptidase 9, or 92 kDa type IV collagenase, is part of a family of proteins involved in the breakdown of extracellular matrix in normal physiological processes. Most MMPs are secreted as inactive proproteins which are activated when cleaved by extracellular proteinases. MMP9 degrades type IV and V collagens.

Application Notes

Optimal dilution of the MMP9 antibody should be determined by the researcher.

Immunogen

Amino acids KALLFSKGRVWRFDLKSQKVDPQSVIRVDKEF of mouse MMP9 were used as the immunogen for the MMP9 antibody.

Storage

After reconstitution, the MMP9 antibody can be stored for up to one month at 4oC. For long-term, aliquot and store at -20oC. Avoid repeated freezing and thawing.

Cross
Bulk Quote Request Form
Name*:
Organization*:
Email*:
Phone Number*:
Catalog No.*:
Comments and Specifics(amount, formulation, etc.)*:
Validation code: Captchapackage Image


Can't read the image? click here to refresh.
    *required field

Your bulk quote request has been submitted successfully!

Please contact us if you have any questions.