• Tel: 858.663.9055
  • SeparatorEmail: info@nsjbio.com
  • Tel: 858.663.9055
  • Email: info@nsjbio.com
Home >> Antibodies >> MMP2 Antibody

MMP2 Antibody [clone MMP2/1501] (V3247)

  Catalog No Formulation Size Price (USD)  
Image V3247-100UG 0.2 mg/ml in 1X PBS with 0.1 mg/ml BSA (US sourced) and 0.05% sodium azide 100 ug 559
Image
V3247-20UG 0.2 mg/ml in 1X PBS with 0.1 mg/ml BSA (US sourced) and 0.05% sodium azide 20 ug 259
Image
V3247SAF-100UG 1 mg/ml in 1X PBS; BSA free, sodium azide free 100 ug 559
Bulk quote request
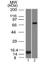
Western blot testing of 1) a partial recombinant protein and 2) human U87 cell lysate with MMP2 antibody (clone MMP2/1501). Expected molecular weight: ~72 kDa (pro form), ~63 kDa (cleaved form).
SDS-PAGE Analysis of Purified, BSA-Free MMP2 Antibody (clone MMP2/1501). Confirmation of Integrity and Purity of the Antibody.
Availability 1-3 business days
Species Reactivity Human
Format Purified
Host Mouse
Clonality Monoclonal (mouse origin)
Isotype Mouse IgG1, kappa
Clone Name MMP2/1501
Purity Protein G affinity chromatography
UniProt P08253
Localization Cytoplasmic, cell surface
Applications Western Blot : 0.5-1ug/ml
Limitations This MMP2 antibody is available for research use only.
Review this product on BioCompare and get a $20 Amazon gift card

Related Products

  • Applications : WB, IHC, ELISA
    Reactivity : Human
  • Applications : WB, ICC/IF
    Reactivity : Human, Rat
  • Applications : WB
    Reactivity : Human, Rat
    Rab Mono Image
  • Applications : IHC-P, WB
    Reactivity : Human, Rat
    Rab Mono Image
  • Applications : WB, IHC-P, IF
    Reactivity : Human
  • Applications : IHC-P
    Reactivity : Human
  • Applications : IHC-P
    Reactivity : Human
  • Applications : WB, ELISA
    Reactivity : Human
    Pred. Reactivity : Mouse, Rat, Chicken, Rabbit
  • Applications : WB, ELISA
    Reactivity : Human, Mouse, Rat
  • Applications : WB, IHC-P, FACS, Direct ELISA
    Reactivity : Human, Rat
  • Applications : WB, Direct ELISA
    Reactivity : Human

Description

It recognizes a protein of 72 kDa, which is identified as MMP2. The matrix metalloproteinases (MMP) are a family of peptidase enzymes responsible for the degradation of extracellular matrix components, including collagen, gelatin, Fibronectin, Laminin and proteoglycan. Transcription of MMP genes is differentially activated by phorbol ester, lipopolysaccharide (LPS) or staphylococcal enterotoxin B (SEB). MMP catalysis requires both calcium and zinc. MMP2 (also designated type IV collagenase) cleaves collagen types IV,V, VII and X and gelatin type I. Activation of MMP2 secretion requires the Ras signaling pathway.

Application Notes

The stated application concentrations are suggested starting amounts. Titration of the MMP2 antibody may be required due to differences in protocols and secondary/substrate sensitivity.

Immunogen

Amino acids 195-319 were used as the immunogen for the MMP2 antibody.

Storage

Store the MMP2 antibody at 2-8oC (with azide) or aliquot and store at -20oC or colder (without azide).

Cross
Bulk Quote Request Form
Name*:
Organization*:
Email*:
Phone Number*:
Catalog No.*:
Comments and Specifics(amount, formulation, etc.)*:
Validation code: Captchapackage Image


Can't read the image? click here to refresh.
    *required field

Your bulk quote request has been submitted successfully!

Please contact us if you have any questions.