• Tel: 858.663.9055
  • SeparatorEmail: info@nsjbio.com
  • Tel: 858.663.9055
  • Email: info@nsjbio.com
Home >> Antibodies >> MME/CD10 Antibody / Membrane metalloendopeptidase

MME/CD10 Antibody / Membrane metalloendopeptidase [clone MME/12957R] (V5948)

  Catalog No Formulation Size Price (USD)  
Image V5948-100UG 0.2 mg/ml in 1X PBS with 0.05% BSA, 0.05% sodium azide 100 ug 559
Image
V5948-20UG 0.2 mg/ml in 1X PBS with 0.05% BSA, 0.05% sodium azide 20 ug 259
Image
V5948SAF-100UG 1 mg/ml in 1X PBS; BSA free, sodium azide free 100 ug 559
Microvalidated Recrabbitmono
Bulk quote request
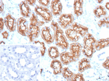
IHC staining of FFPE human kidney tissue with MME/CD10 antibody (clone MME/12957R). Membranous and luminal staining is observed in renal proximal tubular epithelial cells, consistent with known CD10 expression, while surrounding interstitial cells show minimal staining. Inset: PBS used instead of primary antibody as a negative control. Heat-induced epitope retrieval was performed by boiling sections in pH 9 10 mM Tris with 1 mM EDTA for 45 min at 95oC followed by cooling at RT for 20 min.
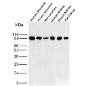
Western Blot Analysis of Human Intestine, Mouse Intestine, Rat Intestine, Human kidney, Mouse kidney and Rat kidney tissue lysates using recombinant MME/CD10 antibody (clone MME/12957R). Routinely observed at ~100 kDa.
Western Blot analysis of human kidney tissue lysate using recombinant MME/CD10 antibody (clone MME/12957R). Routinely observed at ~100 kDa.
SDS-PAGE Analysis of purified recombinant MME/CD10 antibody (clone MME/12925R). Confirmation of Purity and Integrity of Antibody.
Species Reactivity Human, Mouse, Rat
Format Purified
Host Rabbit
Clonality Recombinant Rabbit Monoclonal
Isotype Rabbit IgG, kappa
Clone Name MME/12957R
UniProt P08473
Localization Cell surface, Cytoplasm
Applications Immunohistochemistry (FFPE) : 1-2ug/ml
Western Blot : 2-4ug/ml
Limitations This recombinant MME/CD10 antibody is available for research use only.
Review this product on BioCompare and get a $20 Amazon gift card

Related Products

Description

MME/CD10 Antibody recognizes Membrane metalloendopeptidase, also known as CD10, Neprilysin, and neutral endopeptidase, a zinc-dependent cell surface metalloprotease encoded by the MME gene. MME/CD10 antibody targets a type II transmembrane glycoprotein that functions as an important regulator of bioactive peptide signaling in multiple tissues. CD10 was originally identified as the common acute lymphoblastic leukemia antigen (CALLA) and remains widely used as a diagnostic marker in hematopathology and surgical pathology.

Membrane metalloendopeptidase is localized predominantly to the plasma membrane, where it enzymatically cleaves and inactivates a variety of biologically active peptides, including enkephalins, natriuretic peptides, substance P, and bradykinin. Through this proteolytic activity, CD10 plays a key role in modulating inflammatory responses, blood pressure regulation, and neuropeptide signaling. In normal tissues, MME expression is observed in renal proximal tubular epithelium, certain lymphoid precursors, endometrial stromal cells, and subsets of epithelial cells in multiple organs.

In diagnostic pathology, MME/CD10 antibody is frequently used to characterize hematologic malignancies and epithelial tumors. CD10 expression is classically associated with precursor B-cell acute lymphoblastic leukemia and certain germinal center B-cell lymphomas. In solid tumors, CD10 is commonly expressed in renal cell carcinoma, endometrial stromal tumors, and subsets of prostate and breast carcinomas. Membranous staining is typically observed, reflecting the cell surface localization of the protein, although cytoplasmic accentuation may also be present depending on tissue context and fixation conditions.

At the molecular level, Membrane metalloendopeptidase belongs to the neprilysin family of metalloproteases and contains a large extracellular catalytic domain with a zinc-binding motif essential for enzymatic activity. Altered MME expression has been linked to tumor progression, stromal remodeling, and changes in peptide-mediated signaling pathways within the tumor microenvironment. Dysregulation of CD10 may influence cell proliferation, apoptosis, and local immune responses.

MME/CD10 Antibody provides a reliable tool for detecting CD10 expression in research and pathology applications. Clone MME/12957R is designed to identify membranous MME/CD10 expression patterns, supporting studies of hematologic neoplasms, renal pathology, and peptide regulatory mechanisms in normal and neoplastic tissues.

Application Notes

Optimal dilution of the recombinant MME/CD10 antibody should be determined by the researcher.

Immunogen

A recombinant fragment corresponding to human CD10 protein (exact sequence is proprietary) was used as the immunogen for the recombinant MME/CD10 antibody.

Storage

MME/CD10 antibody with sodium azide - store at 2 to 8oC; antibody without sodium azide - store at -20 to -80oC.

Cross
Bulk Quote Request Form
Name*:
Organization*:
Email*:
Phone Number*:
Catalog No.*:
Comments and Specifics(amount, formulation, etc.)*:
Validation code: Captchapackage Image


Can't read the image? click here to refresh.
    *required field

Your bulk quote request has been submitted successfully!

Please contact us if you have any questions.