• Tel: 858.663.9055
  • SeparatorEmail: info@nsjbio.com
  • Tel: 858.663.9055
  • Email: info@nsjbio.com
Home >> Antibodies >> MME Antibody / Membrane metalloendopeptidase / CD10

MME Antibody / Membrane metalloendopeptidase / CD10 [clone MME/12800R] (V5947)

  Catalog No Formulation Size Price (USD)  
Image V5947-100UG 0.2 mg/ml in 1X PBS with 0.05% BSA, 0.05% sodium azide 100 ug 559
Image
V5947-20UG 0.2 mg/ml in 1X PBS with 0.05% BSA, 0.05% sodium azide 20 ug 259
Image
V5947SAF-100UG 1 mg/ml in 1X PBS; BSA free, sodium azide free 100 ug 559
Microvalidated Recrabbitmono
Bulk quote request
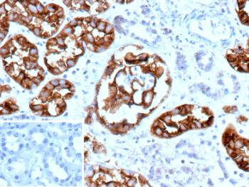
Immunohistochemistry of recombinant MME/Membrane metalloendopeptidase antibody (clone MME/12800R) in formalin-fixed, paraffin-embedded human kidney tissue shows strong membranous brown chromogenic staining in renal tubular epithelial cells, consistent with known CD10 expression in proximal tubules. Nuclei are counterstained blue. Inset: PBS used in place of primary antibody as a negative control shows no specific staining. Heat-induced epitope retrieval was performed by boiling tissue sections in 10mM Tris with 1mM EDTA, pH 9.0, for 45 minutes at 95oC followed by cooling at room temperature for 20 minutes.
Western Blot analysis of human kidney lysate using recombinant MME/Membrane metalloendopeptidase antibody (clone MME/12800R). Routinely observed at ~100 kDa.
Species Reactivity Human
Format Purified
Host Rabbit
Clonality Recombinant Rabbit Monoclonal
Isotype Rabbit IgG, kappa
Clone Name MME/12800R
UniProt P08473
Localization Cell surface, Cytoplasm
Applications Immunohistochemistry (FFPE) : 1-2ug/ml
Western Blot : 2-4ug/ml
Limitations This recombinant MME/Membrane metalloendopeptidase antibody is available for research use only.
Review this product on BioCompare and get a $20 Amazon gift card

Related Products

Description

MME Antibody recognizes Membrane metalloendopeptidase, also known as CD10, Neprilysin, Neutral endopeptidase, and Common acute lymphoblastic leukemia antigen. Membrane metalloendopeptidase is a zinc-dependent cell surface metalloprotease encoded by the MME gene and is widely expressed in epithelial tissues, certain lymphoid populations, and specialized stromal cells. MME antibody targets a type II transmembrane glycoprotein localized primarily to the plasma membrane, where it functions in the proteolytic processing of bioactive peptides.

Membrane metalloendopeptidase plays a critical role in degrading a broad range of regulatory peptides including enkephalins, substance P, atrial natriuretic peptide, bradykinin, and endothelin. Through this enzymatic activity, CD10 antibody is frequently used in studies of neuropeptide signaling, cardiovascular regulation, and inflammatory pathways. In the kidney, Membrane metalloendopeptidase is strongly expressed in proximal tubular epithelial cells, while in the intestine it localizes to the brush border of enterocytes. Expression is also observed in certain hematopoietic precursors and germinal center B cells.

MME antibody is widely applied in diagnostic pathology because CD10 expression serves as an important marker in hematologic and solid malignancies. In lymphoid neoplasms, CD10 antibody staining helps identify follicular lymphoma and subsets of diffuse large B-cell lymphoma. In solid tumors, Membrane metalloendopeptidase expression assists in the characterization of renal cell carcinoma, endometrial stromal tumors, and selected carcinomas of breast and prostate origin. The membranous staining pattern typically reflects its role as a cell surface enzyme.

At the molecular level, Membrane metalloendopeptidase contains an extracellular catalytic domain with zinc-binding motifs characteristic of the M13 family of metalloproteases. Dysregulation of MME expression has been associated with tumor progression, altered peptide signaling, and changes in the tumor microenvironment. Because of its defined membrane localization and established clinical relevance, MME antibody provides a reliable tool for assessing CD10 expression in normal tissues and neoplastic lesions. Clone MME/12800R is designed to detect Membrane metalloendopeptidase expression in research applications, supporting investigations in oncology, renal biology, immunology, and peptide metabolism.

Application Notes

Optimal dilution of the recombinant MME/Membrane metalloendopeptidase antibody should be determined by the researcher.

Immunogen

A recombinant fragment corresponding human CD10 protein (exact sequence is proprietary) was used as the immunogen for the recombinant MME/Membrane metalloendopeptidase antibody.

Storage

MME/Membrane metalloendopeptidase antibody with sodium azide - store at 2 to 8oC; antibody without sodium azide - store at -20 to -80oC.

Cross
Bulk Quote Request Form
Name*:
Organization*:
Email*:
Phone Number*:
Catalog No.*:
Comments and Specifics(amount, formulation, etc.)*:
Validation code: Captchapackage Image


Can't read the image? click here to refresh.
    *required field

Your bulk quote request has been submitted successfully!

Please contact us if you have any questions.