- Tel: 858.663.9055
- 
									 Email: info@nsjbio.com Email: info@nsjbio.com
- Tel: 858.663.9055
- Email: info@nsjbio.com
 Email: info@nsjbio.com
Email: info@nsjbio.com
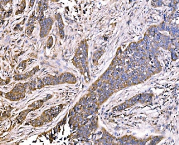
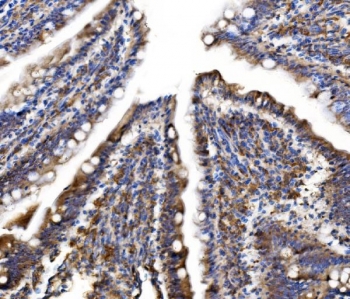
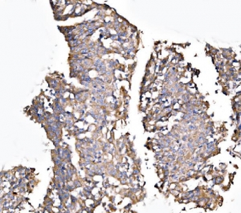
								This gene encodes a protein that functions as part of a heterodimer to activate transcription. The encoded protein forms a heterodimer with Max-like protein X (MLX) and is involved in the regulation of genes in response to cellular glucose levels.
Optimal dilution of the MLXIP antibody should be determined by the researcher.
Recombinant human protein (amino acids H88-P348) was used as the immunogen for the MLXIP antibody.
After reconstitution, the MLXIP antibody can be stored for up to one month at 4oC. For long-term, aliquot and store at -20oC. Avoid repeated freezing and thawing.
 
Your bulk quote request has been submitted successfully!
Please contact us if you have any questions.