• Tel: 858.663.9055
  • SeparatorEmail: info@nsjbio.com
  • Tel: 858.663.9055
  • Email: info@nsjbio.com
Home >> Antibodies >> MLEC Antibody / Malectin

MLEC Antibody / Malectin (RQ8406)

  Catalog No Formulation Size Price (USD)  
Image RQ8406 0.5mg/ml if reconstituted with 0.2ml sterile DI water 100 ug 449
Bulk quote request
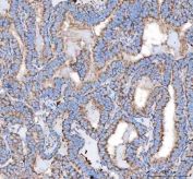
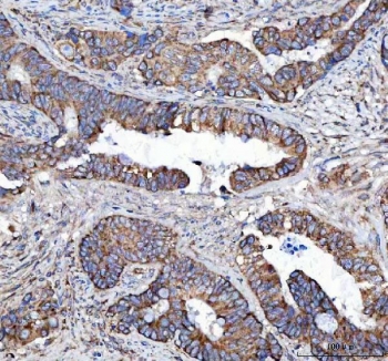
IHC staining of FFPE human colorectal adenocarcinoma tissue with MLEC antibody. HIER: boil tissue sections in pH8 EDTA for 20 min and allow to cool before testing.
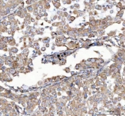
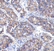
IHC staining of FFPE human liver cancer tissue with MLEC antibody. HIER: boil tissue sections in pH8 EDTA for 20 min and allow to cool before testing.
IHC staining of FFPE human lung cancer tissue with MLEC antibody. HIER: boil tissue sections in pH8 EDTA for 20 min and allow to cool before testing.
IHC staining of FFPE human thyroid cancer tissue with MLEC antibody. HIER: boil tissue sections in pH8 EDTA for 20 min and allow to cool before testing.
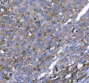
IHC staining of FFPE human spleen tissue with MLEC antibody. HIER: boil tissue sections in pH8 EDTA for 20 min and allow to cool before testing.
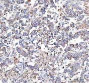
IHC staining of FFPE human testicular germ cell tumor tissue with MLEC antibody. HIER: boil tissue sections in pH8 EDTA for 20 min and allow to cool before testing.
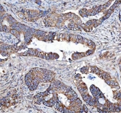
IHC staining of FFPE human bladder urothelial carcinoma tissue with MLEC antibody. HIER: boil tissue sections in pH8 EDTA for 20 min and allow to cool before testing.
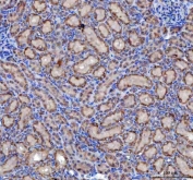
IHC staining of FFPE rat kidney tissue with MLEC antibody. HIER: boil tissue sections in pH8 EDTA for 20 min and allow to cool before testing.
Western blot testing of human 1) RT4, 2) ThP-1, 3) A549, 4) SiHa, 5) A431 and 6) MCF7 cell lysate with MLEC antibody. Predicted molecular weight ~32 kDa.
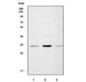
Western blot testing of 1) rat liver, 2) mouse kidney and 3) mouse NIH 3T3 cell lysate with MLEC antibody. Predicted molecular weight ~32 kDa.
Flow cytometry testing of fixed and permeabilized human SiHa cells with MLEC antibody at 1ug/million cells (blocked with goat sera); Red=cells alone, Green=isotype control, Blue= MLEC antibody.
Availability 1-3 business days
Species Reactivity Human, Mouse, Rat
Format Antigen affinity purified
Host Rabbit
Clonality Polyclonal (rabbit origin)
Isotype Rabbit IgG
Purity Antigen affinity purified
Buffer Lyophilized from 1X PBS with 2% Trehalose
UniProt Q14165
Localization Cytoplasm
Applications Western Blot : 0.5-1ug/ml
Immunohistochemistry (FFPE) : 2-5ug/ml
Flow Cytometry : 1-3ug/million cells
ELISA : 0.1-0.5ug/ml
Limitations This MLEC antibody is available for research use only.
Review this product on BioCompare and get a $20 Amazon gift card

Description

This gene encodes the carbohydrate-binding protein malectin which is a Type I membrane-anchored endoplasmic reticulum protein. This protein has an affinity for Glc2Man9GlcNAc2 (G2M9) N-glycans and is involved in regulating glycosylation in the endoplasmic reticulum. This protein has also been shown to interact with ribophorin I and may be involved in the directing the degradation of misfolded proteins. Alternate splicing results in multiple transcript variants.

Application Notes

Optimal dilution of the MLEC antibody should be determined by the researcher.

Immunogen

An E.coli-derived human recombinant protein (E57-A278) was used as the immunogen for the MLEC antibody.

Storage

After reconstitution, the MLEC antibody can be stored for up to one month at 4oC. For long-term, aliquot and store at -20oC. Avoid repeated freezing and thawing.

Cross
Bulk Quote Request Form
Name*:
Organization*:
Email*:
Phone Number*:
Catalog No.*:
Comments and Specifics(amount, formulation, etc.)*:
Validation code: Captchapackage Image


Can't read the image? click here to refresh.
    *required field

Your bulk quote request has been submitted successfully!

Please contact us if you have any questions.