• Tel: 858.663.9055
  • SeparatorEmail: info@nsjbio.com
  • Tel: 858.663.9055
  • Email: info@nsjbio.com
Home >> Antibodies >> MKRN1 Antibody

MKRN1 Antibody (R36342)

  Catalog No Formulation Size Price (USD)  
Image R36342-100UG 0.5 mg/ml in 1X TBS, pH7.3, with 0.5% BSA (US sourced) and 0.02% sodium azide 100 ug 475
Bulk quote request
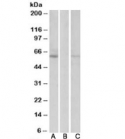
Western blot: transfected and FLAG tagged HEK293 lysate probed with Lane A: MKRN1 antibody [1ug/ml], Lane C: anti-FLAG [1/1000] and mock-transfected HEK293 probed with MKRN1 antibody [1ug/ml] in Lane B. Observed molecular weight: 50~60kDa.
Availability 1-3 business days
Species Reactivity Human
Predicted Reactivity Dog
Format Antigen affinity purified
Host Goat
Clonality Polyclonal (goat origin)
Isotype Goat Ig
Purity Antigen affinity
Gene ID 23608
Applications Western Blot : 1-3ug/ml
ELISA (peptide) LOD : 1:8000
Limitations This MKRN1 antibody is available for research use only.
Review this product on BioCompare and get a $20 Amazon gift card

Related Products

  • Applications : WB, IF/ICC, FACS, ELISA (peptide)
    Reactivity : Human

Description

Additional name(s) for this target protein: Makorin

Application Notes

Optimal dilution of the MKRN1 antibody should be determined by the researcher.

1. This MKRN1 antibody may cross react with MKRN4 (~53 kDa).

Immunogen

Amino acids VTKEESEKEQTAVET were used as the immunogen for this MKRN1 antibody.

Storage

Aliquot and store the MKRN1 antibody at -20oC.

Cross
Bulk Quote Request Form
Name*:
Organization*:
Email*:
Phone Number*:
Catalog No.*:
Comments and Specifics(amount, formulation, etc.)*:
Validation code: Captchapackage Image


Can't read the image? click here to refresh.
    *required field

Your bulk quote request has been submitted successfully!

Please contact us if you have any questions.