• Tel: 858.663.9055
  • SeparatorEmail: info@nsjbio.com
  • Tel: 858.663.9055
  • Email: info@nsjbio.com
Home >> Antibodies >> MitoNEET Antibody / CISD1

MitoNEET Antibody / CISD1 (RQ5710)

  Catalog No Formulation Size Price (USD)  
Image RQ5710 0.5mg/ml if reconstituted with 0.2ml sterile DI water 100 ug 449
Bulk quote request
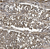
IHC staining of FFPE human gastric cancer with MitoNEET antibody. HIER: boil tissue sections in pH8 EDTA for 20 min and allow to cool before testing.
IHC staining of FFPE human gastric cancer with MitoNEET antibody. HIER: boil tissue sections in pH8 EDTA for 20 min and allow to cool before testing.
IHC staining of FFPE human gastric cancer with MitoNEET antibody. HIER: boil tissue sections in pH8 EDTA for 20 min and allow to cool before testing.
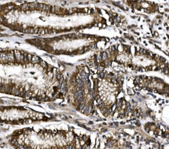
IHC staining of FFPE human rectal cancer with MitoNEET antibody. HIER: boil tissue sections in pH8 EDTA for 20 min and allow to cool before testing.
Western blot testing of 1) human SW620, 2) monkey heart, 3) rat heart, 4) rat kidney and 5) mouse heart lysate with MitoNEET antibody. Expected molecular weight: 12-15 kDa.
Flow cytometry testing of human PC-3 cells with MitoNEET antibody at 1ug/million cells (blocked with goat sera); Red=cells alone, Green=isotype control, Blue= MitoNEET antibody.
Availability 1-3 business days
Species Reactivity Human, Mouse, Rat
Format Antigen affinity purified
Host Rabbit
Clonality Polyclonal
Isotype Rabbit IgG
Purity Affinity purified
Buffer Lyophilized from 1X PBS with 2% Trehalose and 0.025% sodium azide
UniProt Q9NZ45
Localization Cytoplasmic
Applications Western Blot : 0.5-1ug/ml
Immunohistochemistry : 1-2ug/ml
Flow Cytometry : 1-3ug/million cells
Direct ELISA : 0.1-0.5ug/ml
Limitations This MitoNEET antibody is available for research use only.
Review this product on BioCompare and get a $20 Amazon gift card

Description

CISD1, also called MitoNEET, is a member of the CDGSH domain-containing family and may play a role in the regulation of mitochondrial oxidative capacity. This gene encodes a protein with a CDGSH iron-sulfur domain and has been shown to bind a redox-active [2Fe-2S] cluster. The encoded protein has been localized to the outer membrane of mitochondria. Genes encoding similar proteins are located on chromosomes 4 and 17, and a pseudogene of this gene is located on chromosome 2.

Application Notes

Optimal dilution of the MitoNEET antibody should be determined by the researcher.

Immunogen

Recombinant human protein (amino acids Y28-E93) was used as the immunogen for the MitoNEET antibody.

Storage

After reconstitution, the MitoNEET antibody can be stored for up to one month at 4oC. For long-term, aliquot and store at -20oC. Avoid repeated freezing and thawing.

Cross
Bulk Quote Request Form
Name*:
Organization*:
Email*:
Phone Number*:
Catalog No.*:
Comments and Specifics(amount, formulation, etc.)*:
Validation code: Captchapackage Image


Can't read the image? click here to refresh.
    *required field

Your bulk quote request has been submitted successfully!

Please contact us if you have any questions.