• Tel: 858.663.9055
  • SeparatorEmail: info@nsjbio.com
  • Tel: 858.663.9055
  • Email: info@nsjbio.com
Home >> Antibodies >> Mitoguardin 1 Antibody / MIGA1

Mitoguardin 1 Antibody / MIGA1 (RQ8460)

  Catalog No Formulation Size Price (USD)  
Image RQ8460 0.5mg/ml if reconstituted with 0.2ml sterile DI water 100 ug 449
Bulk quote request
Flow cytometry testing of fixed and permeabilized human U-251 cells with Mitoguardin 1 antibody at 1ug/million cells (blocked with goat sera); Red=cells alone, Green=isotype control, Blue= Mitoguardin 1 antibody.
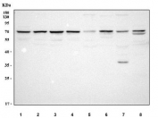
Western blot testing of 1) human U-251, 2) human A431, 3) human RT4, 4) human A549, 5) rat brain, 6) rat kidney, 7) mouse brain and 8) mouse kidney tissue lysate with Mitoguardin 1 antibody. Predicted molecular weight ~71 kDa.
Availability 1-3 business days
Species Reactivity Human, Mouse, Rat
Format Antigen affinity purified
Host Rabbit
Clonality Polyclonal (rabbit origin)
Isotype Rabbit IgG
Purity Antigen affinity purified
Buffer Lyophilized from 1X PBS with 2% Trehalose
UniProt Q8NAN2
Applications Western Blot : 0.5-1ug/ml
Flow Cytometry : 1-3ug/million cells
Direct ELISA : 0.1-0.5ug/ml
Limitations This Mitoguardin 1 antibody is available for research use only.
Review this product on BioCompare and get a $20 Amazon gift card

Description

Enables protein heterodimerization activity and protein homodimerization activity. Involved in mitochondrial fusion. Located in mitochondrion. Is integral component of plasma membrane.

Application Notes

Optimal dilution of the Mitoguardin 1 antibody should be determined by the researcher.

Immunogen

An E.coli-derived human recombinant protein (R316-Q562) was used as the immunogen for the Mitoguardin 1 antibody.

Storage

After reconstitution, the Mitoguardin 1 antibody can be stored for up to one month at 4oC. For long-term, aliquot and store at -20oC. Avoid repeated freezing and thawing.

Cross
Bulk Quote Request Form
Name*:
Organization*:
Email*:
Phone Number*:
Catalog No.*:
Comments and Specifics(amount, formulation, etc.)*:
Validation code: Captchapackage Image


Can't read the image? click here to refresh.
    *required field

Your bulk quote request has been submitted successfully!

Please contact us if you have any questions.