• Tel: 858.663.9055
  • SeparatorEmail: info@nsjbio.com
  • Tel: 858.663.9055
  • Email: info@nsjbio.com
Home >> Antibodies >> Mitofilin Antibody / IMMT / MIC60

Mitofilin Antibody / IMMT / MIC60 (RQ8546)

  Catalog No Formulation Size Price (USD)  
Image RQ8546 0.5mg/ml if reconstituted with 0.2ml sterile DI water 100 ug 449
Bulk quote request
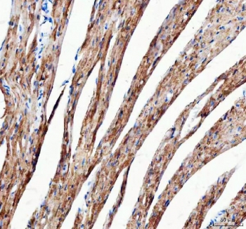
IHC staining of FFPE mouse heart tissue with Mitofilin antibody. HIER: boil tissue sections in pH8 EDTA for 20 min and allow to cool before testing.
IHC staining of FFPE rat heart tissue with Mitofilin antibody. HIER: boil tissue sections in pH8 EDTA for 20 min and allow to cool before testing.
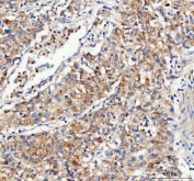
IHC staining of FFPE human esophageal squamous carcinoma tissue with Mitofilin antibody. HIER: boil tissue sections in pH8 EDTA for 20 min and allow to cool before testing.
IHC staining of FFPE human rectum adenocarcinoma tissue with Mitofilin antibody. HIER: boil tissue sections in pH8 EDTA for 20 min and allow to cool before testing.
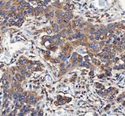
IHC staining of FFPE human lung cancer tissue with Mitofilin antibody. HIER: boil tissue sections in pH8 EDTA for 20 min and allow to cool before testing.
IHC staining of FFPE human testicular germ cell tumor tissue with Mitofilin antibody. HIER: boil tissue sections in pH8 EDTA for 20 min and allow to cool before testing.
Immunofluorescent staining of FFPE human HeLa cells with Mitofilin antibody (green) and DAPI nuclear stain (blue). HIER: steam section in pH6 citrate buffer for 20 min.
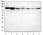
Western blot testing of 1) human COLO-320, 2) human HepG2, 3) rat NRK, 4) rat PC-12, 5) rat C6, 6) mouse HEPA1-6 and 7) mouse MFC cell lysate with Mitofilin antibody. Predicted molecular weight ~84 kDa.
Flow cytometry testing of fixed and permeabilized human HepG2 cells with Mitofilin antibody at 1ug/million cells (blocked with goat sera); Red=cells alone, Green=isotype control, Blue= Mitofilin antibody.
Availability 1-3 days
Species Reactivity Human, Mouse, Rat
Format Antigen affinity purified
Host Rabbit
Clonality Polyclonal (rabbit origin)
Isotype Rabbit IgG
Purity Antigen affinity purified
Buffer Lyophilized from 1X PBS with 2% Trehalose
UniProt Q16891
Localization Cytoplasm
Applications Western Blot : 0.5-1ug/ml
Immunohistochemistry (FFPE) : 2-5ug/ml
Immunofluorescence : 5ug/ml
Flow Cytometry : 1-3ug/million cells
ELISA : 0.1-0.5ug/ml
Limitations This Mitofilin antibody is available for research use only.
Review this product on BioCompare and get a $20 Amazon gift card

Related Products

Description

Mitochondrial inner membrane protein is a protein that in humans is encoded by the IMMT gene. IMMT (also known as mitofilin) is an inner mitochondrial membrane protein that is preferentially expressed in heart tissue and is commonly used as the marker for mitochondria. Mitofilin is known to be a critical organizer of mitochondrial cristae morphology and is indispensable for normal mitochondrial function. Three isoforms of mitofilin exist due to the alternative splicing. All three proteins of 87kD, 89kD and 80kD can be detected in immunoblot analysis with this antibody.

Application Notes

Optimal dilution of the Mitofilin antibody should be determined by the researcher.

Immunogen

An E.coli-derived human recombinant protein (amino acids D83-K714) was used as the immunogen for the Mitofilin antibody.

Storage

After reconstitution, the Mitofilin antibody can be stored for up to one month at 4oC. For long-term, aliquot and store at -20oC. Avoid repeated freezing and thawing.

Cross
Bulk Quote Request Form
Name*:
Organization*:
Email*:
Phone Number*:
Catalog No.*:
Comments and Specifics(amount, formulation, etc.)*:
Validation code: Captchapackage Image


Can't read the image? click here to refresh.
    *required field

Your bulk quote request has been submitted successfully!

Please contact us if you have any questions.