• Tel: 858.663.9055
  • SeparatorEmail: info@nsjbio.com
  • Tel: 858.663.9055
  • Email: info@nsjbio.com
Home >> Antibodies >> Mitochondrial fission factor Antibody / MFF

Mitochondrial fission factor Antibody / MFF (RQ7186)

  Catalog No Formulation Size Price (USD)  
Image RQ7186 0.5mg/ml if reconstituted with 0.2ml sterile DI water 100 ug 449
Bulk quote request
Immunofluorescent staining of FFPE human lymphoma tissue with Mitochondrial fission factor antibody (red) and DAPI nuclear stain (blue). HIER: steam section in pH8 EDTA buffer for 20 min.
Immunofluorescent staining of FFPE human SiHa cells with Mitochondrial fission factor antibody (green) and DAPI nuclear stain (blue). HIER: steam section in pH6 citrate buffer for 20 min.
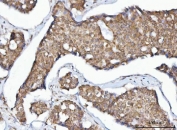
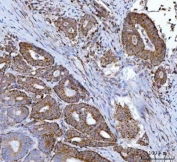
IHC staining of FFPE human breast cancer tissue with Mitochondrial fission factor antibody. HIER: boil tissue sections in pH8 EDTA for 20 min and allow to cool before testing.
IHC staining of FFPE human rectal cancer tissue with Mitochondrial fission factor antibody. HIER: boil tissue sections in pH8 EDTA for 20 min and allow to cool before testing.
IHC staining of FFPE human lymphoma tissue with Mitochondrial fission factor antibody. HIER: boil tissue sections in pH8 EDTA for 20 min and allow to cool before testing.
IHC staining of FFPE mouse brain tissue with Mitochondrial fission factor antibody. HIER: boil tissue sections in pH8 EDTA for 20 min and allow to cool before testing.
IHC staining of FFPE rat brain tissue with Mitochondrial fission factor antibody. HIER: boil tissue sections in pH8 EDTA for 20 min and allow to cool before testing.
Western blot testing of 1) human HeLa, 2) human HepG2, 3) human SiHa, 4) human MOLT-4, 5) human HEL, 6) rat brain and 7) mouse brain tissue lysate with Mitochondrial fission factor antibody. Predicted molecular weight: 25-38 kDa (multiple isoforms).
Flow cytometry testing of human SiHa cells with Mitochondrial fission factor antibody at 1ug/million cells (blocked with goat sera); Red=cells alone, Green=isotype control, Blue= Mitochondrial fission factor antibody.
Availability 1-3 business days
Species Reactivity Human, Mouse, Rat
Format Antigen affinity purified
Host Rabbit
Clonality Polyclonal (rabbit origin)
Isotype Rabbit IgG
Purity Antigen affinity purified
Buffer Lyophilized from 1X PBS with 2% Trehalose
UniProt Q9GZY8
Localization Cytoplasmic
Applications Western Blot : 0.5-1ug/ml
Immunohistochemistry (FFPE) : 2-5ug/ml
Immunofluorescence : 5ug/ml
Flow Cytometry : 1-3ug/million cells
Direct ELISA : 0.1-0.5ug/ml
Limitations This Mitochondrial fission factor antibody is available for research use only.
Review this product on BioCompare and get a $20 Amazon gift card

Description

Mitochondrial fission factor (Mff) is a protein that in humans is encoded by the MFF gene. This is a nuclear gene encoding a protein that functions in mitochondrial and peroxisomal fission. The encoded protein recruits dynamin-1-like protein (DNM1L) to mitochondria. There are multiple pseudogenes for this gene on chromosomes 1, 5, and X. Alternative splicing results in multiple transcript variants.

Application Notes

Optimal dilution of the Mitochondrial fission factor antibody should be determined by the researcher.

Immunogen

Recombinant human protein (amino acids M1-R342) was used as the immunogen for the Mitochondrial fission factor antibody.

Storage

After reconstitution, the Mitochondrial fission factor antibody can be stored for up to one month at 4oC. For long-term, aliquot and store at -20oC. Avoid repeated freezing and thawing.

Cross
Bulk Quote Request Form
Name*:
Organization*:
Email*:
Phone Number*:
Catalog No.*:
Comments and Specifics(amount, formulation, etc.)*:
Validation code: Captchapackage Image


Can't read the image? click here to refresh.
    *required field

Your bulk quote request has been submitted successfully!

Please contact us if you have any questions.