• Tel: 858.663.9055
  • SeparatorEmail: info@nsjbio.com
  • Tel: 858.663.9055
  • Email: info@nsjbio.com
Home >> Antibodies >> MIOX Antibody / Myo-inositol oxygenase

MIOX Antibody / Myo-inositol oxygenase (FY12081)

  Catalog No Formulation Size Price (USD)  
Image FY12081 Adding 0.2 ml of distilled water will yield a concentration of 500 ug/ml 100 ug 449
Bulk quote request
Western blot analysis of MIOX using anti-MIOX antibody. Lane 1: mouse kidney tissue lysates. After electrophoresis, proteins were transferred to a nitrocellulose membrane at 150 mA for 50-90 minutes. Blocked the membrane with 5% non-fat milk/TBS for 1.5 hour at RT. The membrane was incubated with rabbit anti-MIOX antibody at 0.5 ug/ml overnight at 4oC, then washed with TBS-0.1%Tween 3 times with 5 minutes each and probed with a goat anti-rabbit IgG-HRP secondary antibody at a dilution of 1:5000 for 1.5 hour at RT. The signal was developed using enhanced chemiluminescent. A specific band was detected for MIOX at approximately 36 kDa. The expected band size for MIOX is at 33 kDa.
Western blot analysis of MIOX using anti-MIOX antibody. Lane 1: human HepG2 whole cell lysates. After electrophoresis, proteins were transferred to a nitrocellulose membrane at 150 mA for 50-90 minutes. Blocked the membrane with 5% non-fat milk/TBS for 1.5 hour at RT. The membrane was incubated with rabbit anti-MIOX antibody at 0.5 ug/ml overnight at 4oC, then washed with TBS-0.1%Tween 3 times with 5 minutes each and probed with a goat anti-rabbit IgG-HRP secondary antibody at a dilution of 1:5000 for 1.5 hour at RT. The signal was developed using enhanced chemiluminescent. The expected band size for MIOX is at 33 kDa.
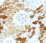
IHC analysis of MIOX using anti-MIOX antibody. MIOX was detected in a paraffin-embedded section of rat kidney tissue. Heat mediated antigen retrieval was performed in EDTA buffer (pH 8.0, epitope retrieval solution). The tissue section was blocked with 10% goat serum. The tissue section was then incubated with 2 ug/ml rabbit anti-MIOX antibody overnight at 4oC. Peroxidase Conjugated Goat Anti-rabbit IgG was used as secondary antibody and incubated for 30 minutes at 37oC. The tissue section was developed using an HRP secondary and DAB substrate.
IHC analysis of MIOX using anti-MIOX antibody. MIOX was detected in a paraffin-embedded section of rat kidney tissue. Heat mediated antigen retrieval was performed in EDTA buffer (pH 8.0, epitope retrieval solution). The tissue section was blocked with 10% goat serum. The tissue section was then incubated with 2 ug/ml rabbit anti-MIOX antibody overnight at 4oC. Peroxidase Conjugated Goat Anti-rabbit IgG was used as secondary antibody and incubated for 30 minutes at 37oC. The tissue section was developed using an HRP secondary and DAB substrate.
Flow Cytometry analysis of JK cells using anti-MIOX antibody. Overlay histogram showing JK cells stained with (Blue line). To facilitate intracellular staining, cells were fixed with 4% paraformaldehyde and permeabilized with permeabilization buffer. The cells were blocked with 10% normal goat serum. And then incubated with rabbit anti-MIOX antibody (1 ug/million cells) for 30 min at 20oC. DyLight 488 conjugated goat anti-rabbit IgG (5-10 ug/million cells) was used as secondary antibody for 30 minutes at 20oC. Isotype control antibody (Green line) was rabbit IgG (1 ug/million cells) used under the same conditions. Unlabelled sample (Red line) was also used as a control.
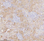
IHC analysis of MIOX using anti-MIOX antibody. MIOX was detected in a paraffin-embedded section of human kidney tissue. Heat mediated antigen retrieval was performed in EDTA buffer (pH 8.0, epitope retrieval solution). The tissue section was blocked with 10% goat serum. The tissue section was then incubated with 2 ug/ml rabbit anti-MIOX antibody overnight at 4oC. Peroxidase Conjugated Goat Anti-rabbit IgG was used as secondary antibody and incubated for 30 minutes at 37oC. The tissue section was developed using an HRP secondary and DAB substrate.
Availability 1-2 days
Species Reactivity Human, Mouse, Rat
Format Lyophilized
Host Rabbit
Clonality Polyclonal (rabbit origin)
Isotype Rabbit IgG
Purity Immunogen affinity purified
Buffer Each vial contains 4 mg Trehalose, 0.9 mg NaCl, 0.2 mg Na2HPO4.
UniProt Q9UGB7
Applications Western Blot : 0.25-0.5ug/ml
Immunohistochemistry : 2-5ug/ml
Flow Cytometry : 1-3ug/million cells
ELISA : 0.1-0.5ug/ml
Limitations This MIOX antibody is available for research use only.
Review this product on BioCompare and get a $20 Amazon gift card

Description

MIOX antibody detects Myo-inositol oxygenase, encoded by the MIOX gene. Myo-inositol oxygenase is an enzyme located in the renal cortex that catalyzes the first committed step in the myo-inositol catabolism pathway. MIOX antibody provides researchers with a specialized reagent for studying renal metabolism, inositol regulation, and diabetic kidney disease.

Myo-inositol oxygenase belongs to the sugar oxygenase family of non-heme iron enzymes. Research using MIOX antibody has shown that it catalyzes the conversion of myo-inositol to D-glucuronic acid, a pathway that links inositol metabolism to glucuronidation and detoxification. Its restricted expression in the kidney makes MIOX a tissue-specific metabolic regulator.

Studies with MIOX antibody have revealed that overexpression of MIOX occurs in diabetic nephropathy, where it contributes to oxidative stress and tubular injury. Elevated activity leads to increased generation of reactive oxygen species, impairing renal function. These findings highlight its role as both a metabolic enzyme and a contributor to disease progression in diabetes.

Dysregulation of Myo-inositol oxygenase has also been implicated in kidney injury, fibrosis, and metabolic disorders. Research using MIOX antibody has shown that suppression of MIOX protects against oxidative stress-induced renal injury, suggesting therapeutic potential in chronic kidney disease. Beyond renal biology, MIOX may contribute to systemic regulation of inositol levels and metabolic pathways.

MIOX antibody is widely applied in western blotting, immunohistochemistry, and enzymatic studies. Western blotting quantifies expression in renal tissue, immunohistochemistry highlights tubular expression in kidney cortex, and enzymatic assays confirm catalytic activity. These applications make MIOX antibody indispensable for renal metabolism research.

By supplying validated MIOX antibody reagents, NSJ Bioreagents supports studies into kidney metabolism, diabetes, and oxidative stress. Detection of Myo-inositol oxygenase provides researchers with insight into how inositol catabolism contributes to renal physiology and pathology.

Application Notes

Optimal dilution of the MIOX antibody should be determined by the researcher.

Immunogen

E.coli-derived human MIOX recombinant protein (Position: M1-K266) was used as the immunogen for the MIOX antibody.

Storage

After reconstitution, the MIOX antibody can be stored for up to one month at 4oC. For long-term, aliquot and store at -20oC. Avoid repeated freezing and thawing.

Cross
Bulk Quote Request Form
Name*:
Organization*:
Email*:
Phone Number*:
Catalog No.*:
Comments and Specifics(amount, formulation, etc.)*:
Validation code: Captchapackage Image


Can't read the image? click here to refresh.
    *required field

Your bulk quote request has been submitted successfully!

Please contact us if you have any questions.