• Tel: 858.663.9055
  • SeparatorEmail: info@nsjbio.com
  • Tel: 858.663.9055
  • Email: info@nsjbio.com
Home >> Antibodies >> MINPP1 Antibody / Multiple inositol polyphosphate phosphatase 1

MINPP1 Antibody / Multiple inositol polyphosphate phosphatase 1 (FY12238)

  Catalog No Formulation Size Price (USD)  
Image FY12238 Adding 0.2 ml of distilled water will yield a concentration of 500 ug/ml 100 ug 449
Bulk quote request
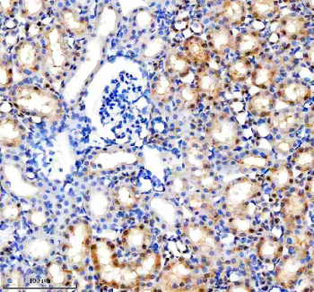
Immunohistochemical staining of MINPP1 using anti-MINPP1 antibody. MINPP1 was detected in a paraffin-embedded section of rat kidney tissue. Heat mediated antigen retrieval was performed in EDTA buffer (pH 8.0, epitope retrieval solution). The tissue section was blocked with 10% goat serum. The tissue section was then incubated with 2 ug/ml rabbit anti-MINPP1 antibody overnight at 4oC. Peroxidase Conjugated Goat Anti-rabbit IgG was used as secondary antibody and incubated for 30 minutes at 37oC. The tissue section was developed using an HRP secondary and DAB substrate.
Western blot analysis of MINPP1 using anti-MINPP1 antibody. Electrophoresis was performed on a 10% SDS-PAGE gel at 80V (Stacking gel) / 120V (Resolving gel) for 2 hours. Lane 1: human HepG2 whole cell lysates, Lane 2: human HEL whole cell lysates, Lane 3: human 293T whole cell lysates, Lane 4: human whole cell lysates, Lane 5: rat liver tissue lysates, Lane 6: mouse liver tissue lysates. After electrophoresis, proteins were transferred to a nitrocellulose membrane at 150 mA for 50-90 minutes. Blocked the membrane with 5% non-fat milk/TBS for 1.5 hour at RT. The membrane was incubated with rabbit anti-MINPP1 antibody at 0.5 ug/ml overnight at 4oC, then washed with TBS-0.1%Tween 3 times with 5 minutes each and probed with a goat anti-rabbit IgG-HRP secondary antibody at a dilution of 1:5000 for 1.5 hour at RT. The signal was developed using an ECL Plus Western Blotting Substrate. The predicted molecular weight for the multiple isoforms of MINPP1 is 31-55 kDa, which may be observed at higher molecular weights due to glycosylation.
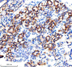
Immunohistochemical staining of MINPP1 using anti-MINPP1 antibody. MINPP1 was detected in a paraffin-embedded section of human thyroid cancer tissue. Heat mediated antigen retrieval was performed in EDTA buffer (pH 8.0, epitope retrieval solution). The tissue section was blocked with 10% goat serum. The tissue section was then incubated with 2 ug/ml rabbit anti-MINPP1 antibody overnight at 4oC. Peroxidase Conjugated Goat Anti-rabbit IgG was used as secondary antibody and incubated for 30 minutes at 37oC. The tissue section was developed using an HRP secondary and DAB substrate.
Flow Cytometry analysis of 293T cells using anti-MINPP1 antibody. Overlay histogram showing 293T cells stained with (Blue line). The cells were fixed with 4% paraformaldehyde and blocked with 10% normal goat serum. And then incubated with rabbit anti-MINPP1 antibody (1 ug/million cells) for 30 min at 20oC. DyLight 488 conjugated goat anti-rabbit IgG (5-10 ug/million cells) was used as secondary antibody for 30 minutes at 20oC. Isotype control antibody (Green line) was rabbit IgG (1 ug/million cells) used under the same conditions. Unlabelled sample without incubation with primary antibody and secondary antibody (Red line) was used as a blank control.
Availability 1-2 days
Species Reactivity Human, Mouse, Rat
Format Lyophilized
Host Rabbit
Clonality Polyclonal (rabbit origin)
Isotype Rabbit IgG
Purity Immunogen affinity purified
Buffer Each vial contains 4 mg Trehalose, 0.9 mg NaCl, 0.2 mg Na2HPO4.
UniProt Q9UNW1
Applications Western Blot : 0.25-0.5ug/ml
Immunohistochemistry : 2-5ug/ml
Flow Cytometry : 1-3ug/million cells
ELISA : 0.1-0.5ug/ml
Limitations This MINPP1 antibody is available for research use only.
Review this product on BioCompare and get a $20 Amazon gift card

Related Products

  • Applications : WB, FACS, IHC-P
    Reactivity : Human

Description

MINPP1 antibody detects Multiple inositol polyphosphate phosphatase 1, encoded by the MINPP1 gene on chromosome 10q23.31. MINPP1 antibody is used in studies of inositol phosphate metabolism, signaling, and cancer biology. MINPP1 is a phosphatase localized to the endoplasmic reticulum (ER) lumen that dephosphorylates higher-order inositol polyphosphates, including IP4, IP5, and IP6, generating lower-phosphate species. This activity regulates cell signaling pathways controlling proliferation, apoptosis, and stress responses.

Structurally, MINPP1 is a ~56 kDa protein with a phosphatase domain belonging to the histidine phosphatase superfamily. It contains a signal peptide for ER targeting and a catalytic domain with conserved histidine residues required for enzymatic activity. Isoforms generated by alternative splicing show distinct expression patterns in different tissues.

Functionally, MINPP1 regulates intracellular signaling by hydrolyzing inositol polyphosphates that act as secondary messengers. It influences calcium release, apoptosis, and metabolic signaling. In the ER, MINPP1 modulates cellular sensitivity to stress and nutrient availability. Knockout or loss of activity alters polyphosphate metabolism, impairing growth and survival. Researchers use MINPP1 antibody to study phosphoinositide metabolism, ER stress responses, and cancer pathways.

Clinically, MINPP1 mutations cause pontocerebellar hypoplasia type 14, a neurodevelopmental disorder with intellectual disability, seizures, and motor deficits. Altered expression has been linked to glioblastoma and prostate cancer, where MINPP1 influences proliferation and survival. As phosphoinositide signaling is a therapeutic target, MINPP1 is of interest in oncology and neurology. NSJ Bioreagents offers MINPP1 antibody to support research in metabolism, neurodevelopment, and cancer biology.

Experimentally, MINPP1 antibody is used in western blotting to detect the ~56 kDa protein, in immunohistochemistry to examine brain and tumor tissue, and in immunofluorescence microscopy to visualize ER localization. Enzyme activity assays combined with MINPP1 antibody allow correlation of expression with phosphatase activity.

Application Notes

Optimal dilution of the MINPP1 antibody should be determined by the researcher.

Immunogen

E.coli-derived human MINPP1 recombinant protein (Position: R155-H421) was used as the immunogen for the MINPP1 antibody.

Storage

After reconstitution, the MINPP1 antibody can be stored for up to one month at 4oC. For long-term, aliquot and store at -20oC. Avoid repeated freezing and thawing.

Cross
Bulk Quote Request Form
Name*:
Organization*:
Email*:
Phone Number*:
Catalog No.*:
Comments and Specifics(amount, formulation, etc.)*:
Validation code: Captchapackage Image


Can't read the image? click here to refresh.
    *required field

Your bulk quote request has been submitted successfully!

Please contact us if you have any questions.