• Tel: 858.663.9055
  • SeparatorEmail: info@nsjbio.com
  • Tel: 858.663.9055
  • Email: info@nsjbio.com
Home >> Antibodies >> Minichromosome maintenance protein 5 Antibody / MCM5

Minichromosome maintenance protein 5 Antibody / MCM5 [clone rMCM5/13646] (V5944)

  Catalog No Formulation Size Price (USD)  
Image V5944-100UG 0.2 mg/ml in 1X PBS with 0.05% BSA, 0.05% sodium azide 100 ug 559
Image
V5944-20UG 0.2 mg/ml in 1X PBS with 0.05% BSA, 0.05% sodium azide 20 ug 259
Image
V5944SAF-100UG 1 mg/ml in 1X PBS; BSA free, sodium azide free 100 ug 559
Microvalidated Recmousemono
Bulk quote request
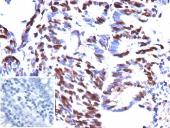
IHC analysis of formalin-fixed, paraffin-embedded human colon tissue using recombinant Minichromosome maintenance protein 5/MCM5 antibody (recombinant mouse monoclonal clone rMCM5/13646). Strong nuclear brown chromogenic staining is observed in proliferating colonic epithelial cells, consistent with nuclear localization of Minichromosome maintenance protein 5, while surrounding non-proliferative cells show reduced staining. Inset: PBS used in place of primary antibody as secondary-only negative control. Heat-induced epitope retrieval was performed by boiling tissue sections in 10mM Tris with 1mM EDTA, pH 9.0, for 45 minutes at 95oC followed by cooling at room temperature for 20 minutes.
Western Blot analysis of human A431 cell lysate using MCM5/MCM complex protein 5 antibody (clone rMCM5/13646). Expected molecular weight: 80~90 kDa.
SDS-PAGE Analysis of purified recombinant Minichromosome maintenance protein 5/MCM5 antibody (clone rMCM5/13646). Confirmation of Purity and Integrity of Antibody.
Species Reactivity Human
Format Purified
Host Mouse
Clonality Recombinant Mouse Monoclonal
Isotype Mouse IgG2b, kappa
Clone Name rMCM5/13646
Purity Protein A affinity
UniProt P33992
Localization Chromosome, Nucleus
Applications Immunohistochemistry (FFPE) : 1-2ug/ml
Western Blot : 2-4ug/ml
Limitations This recombinant Minichromosome maintenance protein 5/MCM5 antibody is available for research use only.
Review this product on BioCompare and get a $20 Amazon gift card

Related Products

Description

Minichromosome maintenance protein 5 Antibody recognizes MCM5, a nuclear DNA replication factor that functions as a core component of the MCM2-7 helicase complex. Minichromosome maintenance protein 5 antibody, also commonly referred to as MCM5 antibody in replication biology literature, targets a protein essential for origin licensing and replication fork progression. The MCM5 gene encodes one of six conserved subunits that assemble into the heterohexameric replicative helicase required for unwinding double-stranded DNA during S phase.

MCM5 plays a critical role during early G1 phase, when the pre-replication complex is established at replication origins through coordinated recruitment of ORC, CDC6, CDT1, and the MCM2-7 complex. Once activated by cyclin-dependent kinases and DDK, the helicase becomes competent for DNA unwinding, enabling replication fork formation. Because Minichromosome maintenance protein 5 remains associated with chromatin in cells that are replication-licensed, MCM5 antibody identifies cells with proliferative capacity rather than simply cells actively synthesizing DNA.

In normal tissues, MCM5 expression is confined to proliferative compartments such as basal epithelial layers, crypt bases in gastrointestinal mucosa, germinal centers of lymphoid tissue, and stem or progenitor cell populations. Differentiated cells that have exited the cell cycle show minimal nuclear staining. In neoplastic tissues, expanded nuclear expression of MCM5 correlates with increased proliferative fraction and dysregulated cell cycle control. Elevated Minichromosome maintenance protein 5 expression has been documented in colorectal carcinoma, breast carcinoma, lung carcinoma, prostate adenocarcinoma, and various hematologic malignancies, supporting its utility as a proliferation-associated marker in tumor biology research.

Structurally, MCM5 contains conserved ATPase domains characteristic of the AAA+ helicase family and participates directly in ATP-dependent DNA strand separation. Tight regulation of MCM5 activity is essential for preventing re-replication and maintaining genomic integrity. Dysregulation of replication licensing factors such as MCM5 contributes to replication stress and chromosomal instability, hallmarks of oncogenic transformation. Minichromosome maintenance protein 5 Antibody (clone rMCM5/13646) is designed to detect endogenous nuclear MCM5 in research applications, supporting investigation of DNA replication control, cell cycle progression, replication licensing dynamics, and proliferative signaling pathways in both normal and malignant tissues.

Application Notes

1. Optimal dilution of the recombinant Minichromosome maintenance protein 5/MCM5 antibody should be determined by the researcher.

2. This recombinant Minichromosome maintenance protein 5/MCM5 antibody is recombinantly produced by expression in CHO cells.

Immunogen

A recombinant fragment (around amino acids 500-734) of human MCM5 protein (exact sequence is proprietary) was used as the immunogen for the recombinant Minichromosome maintenance protein 5/MCM5 antibody.

Storage

Minichromosome maintenance protein 5/MCM5 antibody with sodium azide - store at 2 to 8oC; antibody without sodium azide - store at -20 to -80oC.

Cross
Bulk Quote Request Form
Name*:
Organization*:
Email*:
Phone Number*:
Catalog No.*:
Comments and Specifics(amount, formulation, etc.)*:
Validation code: Captchapackage Image


Can't read the image? click here to refresh.
    *required field

Your bulk quote request has been submitted successfully!

Please contact us if you have any questions.