- Tel: 858.663.9055
- 
									 Email: info@nsjbio.com Email: info@nsjbio.com
- Tel: 858.663.9055
- Email: info@nsjbio.com
 Email: info@nsjbio.com
Email: info@nsjbio.com
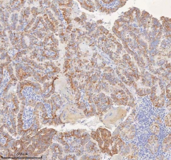
								MINDY lysine 48 deubiquitinase 4, also known as MINDY4, is a human gene located on human chromosome 7p14.3. The human MINDY4 gene encodes a 757 amino acids protein containing 84372 Da. The MINDY4 protein is broadly expressed in testis, lung and other tissues. The MINDY4 gene is conserved in chimpanzee, dog, cow, mouse, rat, chicken, zebrafish, and frog. MINDY4B is an important paralog of this MINDY4 gene.
Optimal dilution of the MINDY4 antibody should be determined by the researcher.
An E.coli-derived human recombinant protein (amino acids E414-Q685) was used as the immunogen for the MINDY4 antibody.
After reconstitution, the MINDY4 Antibody can be stored for up to one month at 4oC. For long-term, aliquot and store at -20oC. Avoid repeated freezing and thawing.
 
Your bulk quote request has been submitted successfully!
Please contact us if you have any questions.